GC-Rich Promoter Binding Protein 1 (GPBP1) (AA 67-116) 抗体
Our Local Distributor
北京 101111
Quick Overview for GC-Rich Promoter Binding Protein 1 (GPBP1) (AA 67-116) 抗体 (ABIN6736275)
抗原
See all GC-Rich Promoter Binding Protein 1 (GPBP1) 抗体适用
宿主
克隆类型
标记
应用范围
-
-
抗原表位
- AA 67-116
-
特异性
- Human GPBP1
-
预测反应
- Percent identity by BLAST analysis: Human (100%) Orangutan, Monkey, Mouse, Rat, Dog, Bovine (92%).
-
纯化方法
- Immunoaffinity purified
-
免疫原
-
Synthetic peptide located between aa67-116 of human GPBP1 (Q86WP2, NP_075064). Percent identity by BLAST analysis: Human, Chimpanzee, Gorilla (100%), Orangutan, Gibbon, Monkey, Galago, Marmoset, Mouse, Rat, Elephant, Dog, Bovine, Horse, Guinea pig (92%), Rabbit, Pig, Opossum (85%).
Type of Immunogen: Synthetic peptide -
亚型
- IgG
-
-
-
-
应用备注
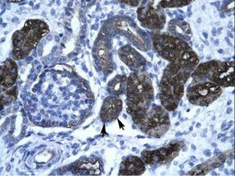
- Approved: IHC, WB (0.2 - 1 μg/mL)
-
说明
-
Target Species of Antibody: Human
-
限制
- 仅限研究用
-
-
-
状态
- Lyophilized
-
溶解方式
- After adding water, will consist of PBS buffer with 2 % sucrose
-
浓度
- Lot specific
-
缓冲液
- Lyophilized from PBS with 2 % sucrose
-
注意事项
- Avoid repeat freeze-thaw cycles.
-
储存条件
- 4 °C,-20 °C
-
储存方法
-
Long term: -20°C, the use of 50% glycerol is recommended if storing aliquots in -20°C for long term use (up to 1 year)
Short term (less than 1 week): 4°C. Avoid freeze-thaw cycles.
-
-
-