电话:
+86 (0512) 65829739
传真:
+86 (010) 6788 5057
电子邮件:
orders@antibodies-online.cn

EMG1 抗体 (AA 51-100)

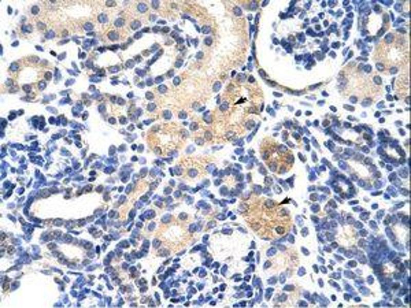
The 兔 多克隆 anti-EMG1 antibody (ABIN6736233) specifically detects EMG1 in WB, IHC 和 IHC (p). The antibody is reactive with 人 samples.
产品编号 ABIN6736233
发货至: 中国
Contact our Customer Service for availability and price in your country. Contact Info

Our Local Distributor

中国
北京 101111
No. 88 KeChuang 6th Street
Beijing Economic Technological Development Area
Room 801-803
4A Biotech Co.,Ltd.
Tel +86 (0512) 65829739 传真 +86 (010) 6788 5057

Quick Overview for EMG1 抗体 (AA 51-100) (ABIN6736233)

抗原

See all EMG1 抗体
EMG1 (EMG1 Nucleolar Protein Homolog (EMG1))

适用

  • 19
  • 5
  • 5
  • 3
  • 3
  • 3
  • 3
  • 2
  • 2
  • 2
  • 1

宿主

  • 16
  • 3

克隆类型

  • 18
  • 1
多克隆

标记

  • 14
  • 1
  • 1
  • 1
  • 1
  • 1
This EMG1 antibody is un-conjugated

应用范围

  • 19
  • 10
  • 9
  • 4
  • 2
  • 1
Western Blotting (WB), Immunohistochemistry (IHC), Immunohistochemistry (Paraffin-embedded Sections) (IHC (p))
  • 抗原表位

    • 7
    • 2
    • 2
    • 2
    • 1
    • 1
    • 1
    • 1
    AA 51-100

    特异性

    Human EMG1

    预测反应

    Percent identity by BLAST analysis: Human (100%) Mouse, Rat, Dog, Bovine (92%) Chicken (91%).

    纯化方法

    Immunoaffinity purified

    免疫原

    Synthetic peptide located between aa51-100 of human EMG1 (Q92979, NP_006322). Percent identity by BLAST analysis: Human (100%), Gibbon, Monkey, Marmoset, Mouse, Rat, Hamster, Elephant, Panda, Dog, Bovine, Rabbit, Horse, Opossum, Guinea pig (92%), Chicken (91%), Gorilla, Xenopus (85%).

    Type of Immunogen: Synthetic peptide

    亚型

    IgG
  • 应用备注

    Approved: IHC, IHC-P, WB (0.2 - 1 μg/mL)

    说明

    Target Species of Antibody: Human

    限制

    仅限研究用
  • 状态

    Lyophilized

    溶解方式

    After adding water, will consist of PBS buffer with 2 % sucrose

    浓度

    Lot specific

    缓冲液

    Lyophilized from PBS with 2 % sucrose

    注意事项

    Avoid repeat freeze-thaw cycles.

    储存条件

    4 °C,-20 °C

    储存方法

    Long term: -20°C, the use of 50% glycerol is recommended if storing aliquots in -20°C for long term use (up to 1 year)
    Short term (less than 1 week): 4°C. Avoid freeze-thaw cycles.
  • 抗原

    EMG1 (EMG1 Nucleolar Protein Homolog (EMG1))

    别名

    EMG1 / NEP1

    背景

    Name/Gene ID: EMG1

    Synonyms: EMG1, C2F, BWCNS, Grcc2f, Essential for mitotic growth 1, NEP1, Protein C2f, Nucleolar protein EMG1 homolog

    基因ID

    10436

    NCBI登录号

    NP_006322
You are here: