RGS6 抗体 (AA 398-447)
Our Local Distributor
北京 101111
Quick Overview for RGS6 抗体 (AA 398-447) (ABIN6735894)
抗原
See all RGS6 抗体适用
宿主
克隆类型
标记
应用范围
-
-
抗原表位
- AA 398-447
-
特异性
- Human RGS6
-
预测反应
- Percent identity by BLAST analysis: Human, Mouse, Rat, Dog, Bovine, Horse, Guinea pig (100%) Rabbit, Chicken (92%) Xenopus, Zebrafish (85%).
-
纯化方法
- Immunoaffinity purified
-
免疫原
-
Synthetic peptide located between aa398-447 of human RGS6 (P49758-4, NP_004287). Percent identity by BLAST analysis: Human, Chimpanzee, Gorilla, Orangutan, Gibbon, Monkey, Galago, Marmoset, Mouse, Rat, Elephant, Panda, Dog, Bovine, Bat, Horse, Guinea pig (100%), Rabbit, Opossum, Turkey, Chicken, Platypus (92%), Xenopus, Zebrafish (85%).
Type of Immunogen: Synthetic peptide -
亚型
- IgG
-
-
-
-
应用备注
-
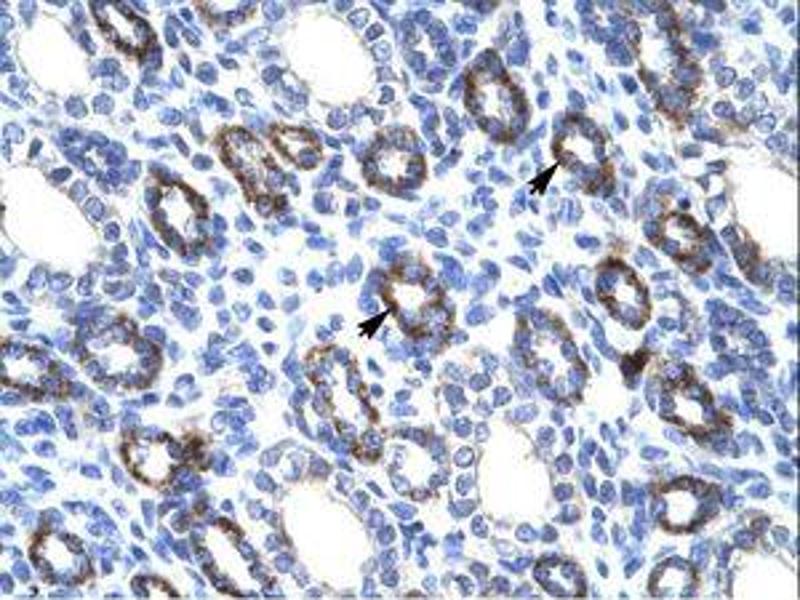
Approved: IHC, WB (0.2 - 1 μg/mL)
Not recommended for: IHC-P -
说明
-
Target Species of Antibody: Human
-
限制
- 仅限研究用
-
-
-
状态
- Lyophilized
-
溶解方式
- After adding water, will consist of PBS buffer with 2 % sucrose
-
浓度
- Lot specific
-
缓冲液
- Lyophilized from PBS with 2 % sucrose
-
注意事项
- Avoid repeat freeze-thaw cycles.
-
储存条件
- 4 °C,-20 °C
-
储存方法
-
Long term: -20°C, the use of 50% glycerol is recommended if storing aliquots in -20°C for long term use (up to 1 year)
Short term (less than 1 week): 4°C. Avoid freeze-thaw cycles.
-
-
- RGS6 (Regulator of G-Protein Signaling 6 (RGS6))
-
别名
- RGS6
-
背景
-
Name/Gene ID: RGS6
Family: Regulator of G-protein signalling
Synonyms: RGS6, GAP, GTPase activating protein, S914, H_DJ1108A12.1, WUGSC:H_DJ0283M22.1, WUGSC:H_DJ1108A12.1 -
基因ID
- 9628
-
NCBI登录号
- NP_004287
-
UniProt
- P49758
-
途径
- Myometrial Relaxation and Contraction, Regulation of G-Protein Coupled Receptor Protein Signaling
抗原
-