电话:
+86 (0512) 65829739
传真:
+86 (010) 6788 5057
电子邮件:
orders@antibodies-online.cn

PAX5 抗体 (AA 64-113)

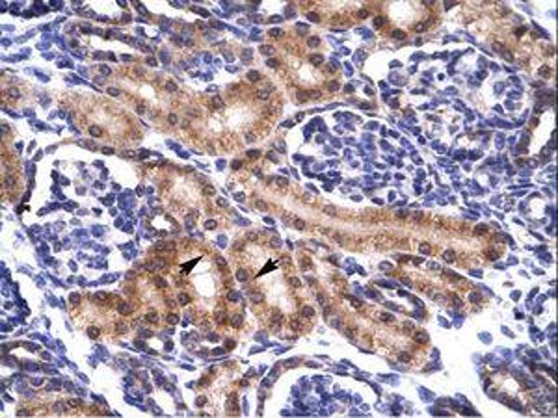
This 兔 多克隆 antibody specifically detects PAX5 in WB, IHC 和 IHC (p). It exhibits reactivity toward 人, 小鼠, 大鼠, 犬, 兔, Cow, 豚鼠, 马, 斑马鱼, 猴, Bat, 小鸡, Pig 和 非洲爪蟾.
产品编号 ABIN6735893
发货至: 中国
Contact our Customer Service for availability and price in your country. Contact Info

Our Local Distributor

中国
北京 101111
No. 88 KeChuang 6th Street
Beijing Economic Technological Development Area
Room 801-803
4A Biotech Co.,Ltd.
Tel +86 (0512) 65829739 传真 +86 (010) 6788 5057

Quick Overview for PAX5 抗体 (AA 64-113) (ABIN6735893)

抗原

See all PAX5 抗体
PAX5 (Paired Box 5 (PAX5))

适用

人, 小鼠, 大鼠, 犬, 兔, Cow, 豚鼠, 马, 斑马鱼, 猴, Bat, 小鸡, Pig, 非洲爪蟾

宿主

  • 93
  • 38
  • 4
  • 1

克隆类型

  • 71
  • 65
多克隆

标记

  • 67
  • 9
  • 7
  • 4
  • 3
  • 3
  • 3
  • 3
  • 3
  • 3
  • 3
  • 2
  • 2
  • 2
  • 2
  • 2
  • 2
  • 2
  • 1
  • 1
  • 1
  • 1
  • 1
  • 1
  • 1
  • 1
  • 1
  • 1
  • 1
  • 1
  • 1
  • 1
This PAX5 antibody is un-conjugated

应用范围

  • 91
  • 47
  • 45
  • 24
  • 18
  • 17
  • 14
  • 13
  • 12
  • 10
  • 4
  • 4
  • 3
  • 3
  • 2
  • 2
  • 1
  • 1
  • 1
  • 1
Western Blotting (WB), Immunohistochemistry (IHC), Immunohistochemistry (Paraffin-embedded Sections) (IHC (p))
  • 抗原表位

    • 16
    • 15
    • 9
    • 8
    • 7
    • 5
    • 3
    • 3
    • 2
    • 2
    • 2
    • 2
    • 2
    • 2
    • 2
    • 1
    • 1
    • 1
    • 1
    • 1
    • 1
    • 1
    • 1
    • 1
    • 1
    AA 64-113

    特异性

    Human PAX5

    预测反应

    Percent identity by BLAST analysis: Human, Mouse, Dog, Rabbit, Horse, Pig, Guinea pig, Chicken (100%) Xenopus, Zebrafish (92%).

    纯化方法

    Immunoaffinity purified

    免疫原

    Synthetic peptide located between aa64-113 of human PAX5 (Q02548, NP_057953). Percent identity by BLAST analysis: Human, Chimpanzee, Gorilla, Orangutan, Gibbon, Monkey, Galago, Marmoset, Mouse, Rat, Dolphin, Elephant, Dog, Bovine, Bat, Rabbit, Horse, Pig, Opossum, Guinea pig, Zebra finch, Chicken, Platypus, Xenopus, Seabass, Medaka, Zebrafish (100%), Panda, Stickleback, Pufferfish (92%).

    Type of Immunogen: Synthetic peptide

    亚型

    IgG
  • 应用备注

    Approved: IHC, IHC-P, WB (0.2 - 1 μg/mL)

    说明

    Target Species of Antibody: Human

    限制

    仅限研究用
  • 状态

    Lyophilized

    溶解方式

    After adding water, will consist of PBS buffer with 2 % sucrose

    浓度

    Lot specific

    缓冲液

    Lyophilized from PBS with 2 % sucrose

    注意事项

    Avoid repeat freeze-thaw cycles.

    储存条件

    4 °C,-20 °C

    储存方法

    Long term: -20°C, the use of 50% glycerol is recommended if storing aliquots in -20°C for long term use (up to 1 year)
    Short term (less than 1 week): 4°C. Avoid freeze-thaw cycles.
  • 抗原

    PAX5 (Paired Box 5 (PAX5))

    别名

    PAX5

    背景

    Name/Gene ID: PAX5

    Synonyms: PAX5, BSAP, Paired box 5, Paired box protein Pax-5, Transcription factor PAX 5, Paired box homeotic gene 5

    基因ID

    5079

    NCBI登录号

    NP_057953

    UniProt

    Q02548
You are here: