电话:
+86 (0512) 65829739
传真:
+86 (010) 6788 5057
电子邮件:
orders@antibodies-online.cn

MMP19 抗体 (AA 56-105)

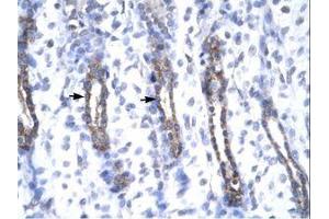
The 兔 多克隆 anti-MMP19 antibody (ABIN6735807) specifically detects MMP19 in WB 和 IHC. The antibody is reactive with 人, 小鼠, 大鼠 和 犬 samples.
产品编号 ABIN6735807
发货至: 中国
Contact our Customer Service for availability and price in your country. Contact Info

Our Local Distributor

中国
北京 101111
No. 88 KeChuang 6th Street
Beijing Economic Technological Development Area
Room 801-803
4A Biotech Co.,Ltd.
Tel +86 (0512) 65829739 传真 +86 (010) 6788 5057

Quick Overview for MMP19 抗体 (AA 56-105) (ABIN6735807)

抗原

See all MMP19 抗体
MMP19 (Matrix Metallopeptidase 19 (MMP19))

适用

  • 62
  • 26
  • 6
  • 4
  • 2
  • 2
  • 2
  • 1
  • 1
  • 1
  • 1
人, 小鼠, 大鼠, 犬

宿主

  • 62
  • 3
  • 1
  • 1

克隆类型

  • 66
  • 1
多克隆

标记

  • 37
  • 3
  • 3
  • 3
  • 2
  • 2
  • 1
  • 1
  • 1
  • 1
  • 1
  • 1
  • 1
  • 1
  • 1
  • 1
  • 1
  • 1
  • 1
  • 1
  • 1
  • 1
  • 1
This MMP19 antibody is un-conjugated

应用范围

  • 59
  • 30
  • 27
  • 13
  • 13
  • 10
  • 8
  • 6
  • 4
  • 4
  • 2
  • 1
  • 1
Western Blotting (WB), Immunohistochemistry (IHC)
  • 抗原表位

    • 15
    • 8
    • 8
    • 7
    • 4
    • 2
    • 2
    • 2
    • 1
    • 1
    • 1
    • 1
    • 1
    • 1
    AA 56-105

    特异性

    Human MMP19

    预测反应

    Percent identity by BLAST analysis: Human, Dog (100%) Bovine, Rabbit, Horse, Pig (92%) Mouse, Rat (85%).

    纯化方法

    Immunoaffinity purified

    免疫原

    Synthetic peptide located between aa56-105 of human MMP19 (Q99542, NP_002420). Percent identity by BLAST analysis: Human, Chimpanzee, Gorilla, Gibbon, Marmoset, Elephant, Dog (100%), Monkey, Galago, Bovine, Rabbit, Horse, Pig (92%), Mouse, Rat, Hamster, Bat (85%).

    Type of Immunogen: Synthetic peptide

    亚型

    IgG
  • 应用备注

    Approved: IHC, WB (0.2 - 1 μg/mL)

    说明

    Target Species of Antibody: Human

    限制

    仅限研究用
  • 状态

    Lyophilized

    溶解方式

    After adding water, will consist of PBS buffer with 2 % sucrose

    浓度

    Lot specific

    缓冲液

    Lyophilized from PBS with 2 % sucrose

    注意事项

    Avoid repeat freeze-thaw cycles.

    储存条件

    4 °C,-20 °C

    储存方法

    Long term: -20°C, the use of 50% glycerol is recommended if storing aliquots in -20°C for long term use (up to 1 year)
    Short term (less than 1 week): 4°C. Avoid freeze-thaw cycles.
  • 抗原

    MMP19 (Matrix Metallopeptidase 19 (MMP19))

    别名

    MMP19 / MMP-19

    背景

    Name/Gene ID: MMP19
    Subfamily: Metallopeptidase M10A
    Family: Protease

    Synonyms: MMP19, Matrix metalloproteinase 19, Matrix metalloproteinase RASI, MMP-19, MMP-18, RASI, Matrix metallopeptidase 19, Matrix metalloproteinase-18, RASI-1, Matrix metalloproteinase 18, Matrix metalloproteinase-19, MMP18

    基因ID

    4327

    NCBI登录号

    NP_002420

    UniProt

    Q99542
You are here: