F2RL3 抗体 (AA 320-343)
Our Local Distributor
北京 101111
Quick Overview for F2RL3 抗体 (AA 320-343) (ABIN673224)
抗原
See all F2RL3 抗体适用
宿主
克隆类型
标记
应用范围
-
-
抗原表位
- AA 320-343
-
交叉反应
- 人, 小鼠, 大鼠
-
纯化方法
- Purified by Protein A.
-
免疫原
- KLH conjugated synthetic peptide derived from human PAR4
-
亚型
- IgG
-
-
-
-
应用备注
-
WB 1:100-1000
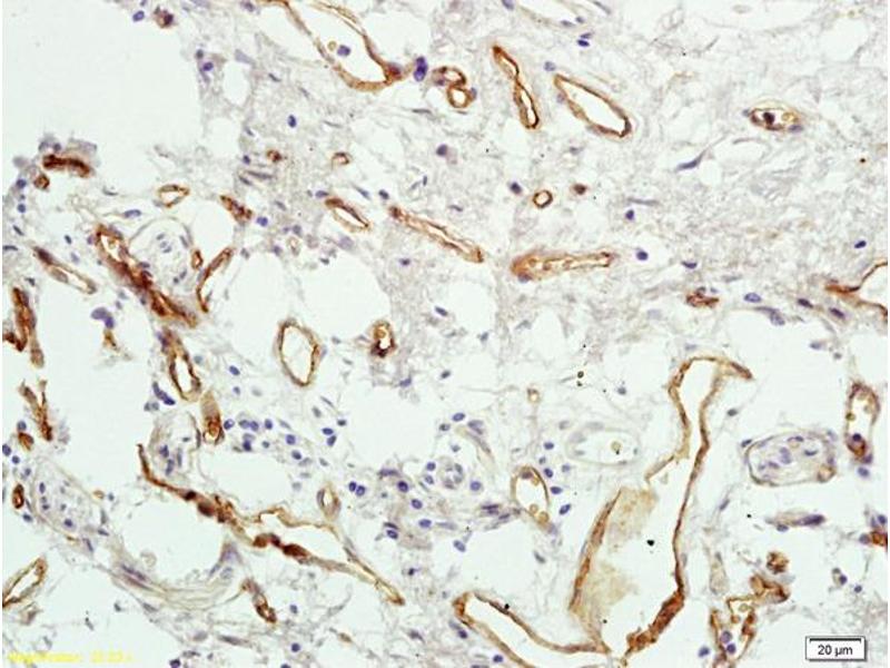
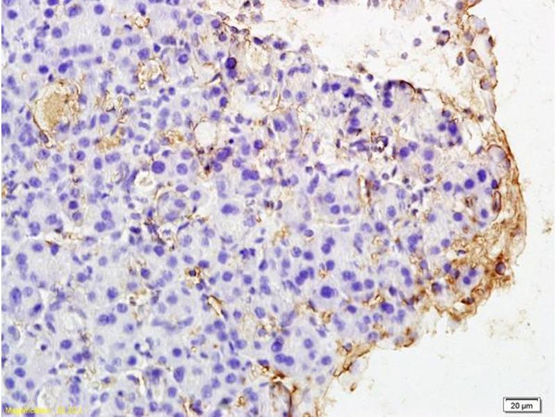
IHC-P 1:100-500
IF(IHC-P) 1:50-200 -
限制
- 仅限研究用
-
-
-
状态
- Liquid
-
浓度
- 1 μg/μL
-
缓冲液
- Aqueous buffered solution containing 1 % BSA, 50 % glycerol and 0.09 % sodium azide.
-
储存液
- Sodium azide
-
注意事项
- This product contains Sodium azide: a POISONOUS AND HAZARDOUS SUBSTANCE, which should be handled by trained staff only.
-
储存条件
- -20 °C
-
储存方法
- Store at -20°C for 12 months.
-
有效期
- 12 months
-
-
-
: "Proteomic Analysis of Cerebrospinal Fluid in Alzheimer's Disease: Wanted Dead or Alive." in: Journal of Alzheimer's disease : JAD, (2014) (PubMed).
-
: "Proteomic Analysis of Cerebrospinal Fluid in Alzheimer's Disease: Wanted Dead or Alive." in: Journal of Alzheimer's disease : JAD, (2014) (PubMed).
-
- F2RL3 (Coagulation Factor II (Thrombin) Receptor-Like 3 (F2RL3))
-
别名
- Par4
-
背景
-
Synonyms: PAR4, Proteinase-activated receptor 4, PAR-4, Coagulation factor II receptor-like 3, Thrombin receptor-like 3, F2RL3
Background: Receptor for activated thrombin or trypsin coupled to G proteins that stimulate phosphoinositide hydrolysis. May play a role in platelets activation.
-
基因ID
- 9002
-
UniProt
- Q96RI0
-
途径
- Carbohydrate Homeostasis, Regulation of Carbohydrate Metabolic Process
抗原
-