CEACAM8 抗体 (AA 51-150)
Our Local Distributor
北京 101111
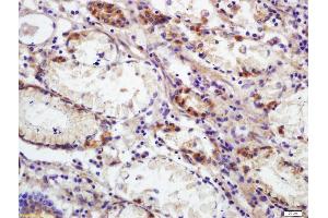
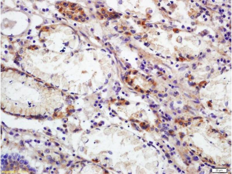
Quick Overview for CEACAM8 抗体 (AA 51-150) (ABIN672651)
抗原
See all CEACAM8 抗体适用
宿主
克隆类型
标记
应用范围
-
-
抗原表位
- AA 51-150
-
交叉反应
- 人
-
纯化方法
- Purified by Protein A.
-
免疫原
- KLH conjugated synthetic peptide derived from human CEAcam8
-
亚型
- IgG
-
-
-
-
应用备注
-
WB 1:300-5000
ELISA 1:500-1000
IHC-P 1:200-400
IHC-F 1:100-500
IF(IHC-P) 1:50-200
IF(IHC-F) 1:50-200
IF(ICC) 1:50-200 -
限制
- 仅限研究用
-
-
-
状态
- Liquid
-
浓度
- 1 μg/μL
-
缓冲液
- 0.01M TBS( pH 7.4) with 1 % BSA, 0.02 % Proclin300 and 50 % Glycerol.
-
储存液
- ProClin
-
注意事项
- This product contains ProClin: a POISONOUS AND HAZARDOUS SUBSTANCE, which should be handled by trained staff only.
-
储存条件
- 4 °C,-20 °C
-
储存方法
- Shipped at 4°C. Store at -20°C for one year. Avoid repeated freeze/thaw cycles.
-
有效期
- 12 months
-
-
-
: "Optimization of optical excitation of upconversion nanoparticles for rapid microscopy and deeper tissue imaging with higher quantum yield." in: Theranostics, Vol. 3, Issue 5, pp. 306-16, (2013) (PubMed).
-
-
- CEACAM8 (Carcinoembryonic Antigen-Related Cell Adhesion Molecule 8 (CEACAM8))
-
别名
- CEACAM8
-
背景
-
Synonyms: CD67, CGM6, CD66b, NCA-95, Carcinoembryonic antigen-related cell adhesion molecule 8, CD67 antigen, Carcinoembryonic antigen CGM6, Non-specific cross-reacting antigen NCA-95, CEACAM8
Background: Carcinoembryonic antigen-related cell adhesion molecule 8 (CEACAM8) is a highly glycosylated protein expressed only in neutrophils and eosinophils in humans. The precise function of CEACAM8 remains unclear. As a member of the family of carcinoembryonic antigen (CEA), it may play a role in the interaction between granulocytes or between granulocytes and epithelial cells. Expressed in leukocytes of chronic myeloid Leukemia patients and bone marrow.
-
基因ID
- 1088
-
UniProt
- P31997
抗原
-