电话:
+86 (0512) 65829739
传真:
+86 (010) 6788 5057
电子邮件:
orders@antibodies-online.cn

CIDEB 抗体 (AA 118-219)

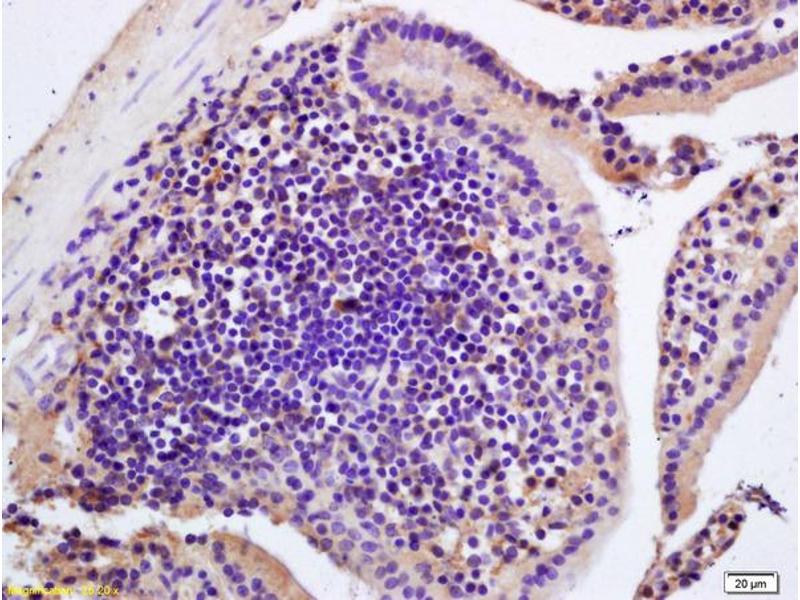
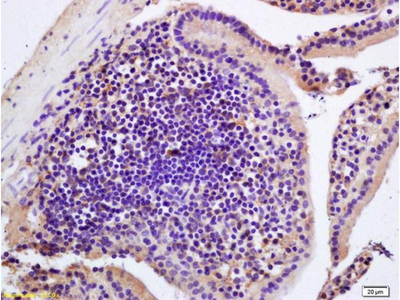
The 兔 多克隆 anti-CIDEB antibody (ABIN672246) specifically detects CIDEB in ELISA, IF (cc), IF (p) 和 IHC (fro). The antibody is reactive with 小鼠 samples.
产品编号 ABIN672246
发货至: 中国
Contact our Customer Service for availability and price in your country. Contact Info

Our Local Distributor

中国
北京 101111
No. 88 KeChuang 6th Street
Beijing Economic Technological Development Area
Room 801-803
4A Biotech Co.,Ltd.
Tel +86 (0512) 65829739 传真 +86 (010) 6788 5057

Quick Overview for CIDEB 抗体 (AA 118-219) (ABIN672246)

抗原

See all CIDEB 抗体
CIDEB (Cell Death-Inducing DFFA-Like Effector B (CIDEB))

适用

  • 26
  • 12
  • 4
  • 3
小鼠

宿主

  • 23
  • 7

克隆类型

  • 23
  • 6
多克隆

标记

  • 23
  • 3
  • 1
  • 1
  • 1
  • 1
This CIDEB antibody is un-conjugated

应用范围

  • 23
  • 16
  • 9
  • 7
  • 5
  • 3
  • 2
  • 1
ELISA, Immunofluorescence (Cultured Cells) (IF (cc)), Immunofluorescence (Paraffin-embedded Sections) (IF (p)), Immunohistochemistry (Frozen Sections) (IHC (fro))
You are here: