电话:
+86 (0512) 65829739
传真:
+86 (010) 6788 5057
电子邮件:
orders@antibodies-online.cn

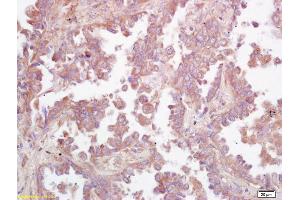
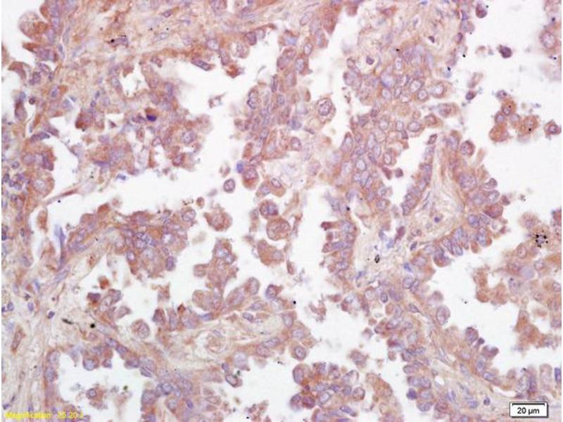
UGCG 抗体 (AA 21-120)

Cited in 1 publication. The 兔 多克隆 anti-UGCG antibody (ABIN672096) specifically detects UGCG in WB, ELISA, IF (cc), IF (p), IHC (fro), IHC (p) 和 FACS. The antibody is reactive with 人, 小鼠 和 大鼠 samples.
产品编号 ABIN672096
发货至: 中国
Contact our Customer Service for availability and price in your country. Contact Info

Our Local Distributor

中国
北京 101111
No. 88 KeChuang 6th Street
Beijing Economic Technological Development Area
Room 801-803
4A Biotech Co.,Ltd.
Tel +86 (0512) 65829739 传真 +86 (010) 6788 5057

Quick Overview for UGCG 抗体 (AA 21-120) (ABIN672096)

抗原

See all UGCG 抗体
UGCG (UDP-Glucose Ceramide Glucosyltransferase (UGCG))

适用

  • 46
  • 29
  • 14
  • 3
  • 2
  • 2
  • 2
  • 2
  • 2
  • 2
  • 1
  • 1
  • 1
  • 1
  • 1
  • 1
人, 小鼠, 大鼠

宿主

  • 42
  • 5

克隆类型

  • 43
  • 4
多克隆

标记

  • 16
  • 3
  • 2
  • 2
  • 2
  • 2
  • 2
  • 2
  • 2
  • 1
  • 1
  • 1
  • 1
  • 1
  • 1
  • 1
  • 1
  • 1
  • 1
  • 1
  • 1
  • 1
  • 1
This UGCG antibody is un-conjugated

应用范围

  • 33
  • 13
  • 13
  • 10
  • 5
  • 4
  • 4
  • 4
  • 3
  • 3
  • 3
  • 1
Western Blotting (WB), ELISA, Immunofluorescence (Cultured Cells) (IF (cc)), Immunofluorescence (Paraffin-embedded Sections) (IF (p)), Immunohistochemistry (Frozen Sections) (IHC (fro)), Immunohistochemistry (Paraffin-embedded Sections) (IHC (p)), Flow Cytometry (FACS)
  • 抗原表位

    • 15
    • 5
    • 4
    • 4
    • 1
    • 1
    • 1
    AA 21-120

    交叉反应

    人, 小鼠, 大鼠

    预测反应

    Cow

    纯化方法

    Purified by Protein A.

    免疫原

    KLH conjugated synthetic peptide derived from human GCS

    亚型

    IgG
  • 应用备注

    WB 1:300-5000
    ELISA 1:500-1000
    FCM 1:20-100
    IHC-P 1:200-400
    IHC-F 1:100-500
    IF(IHC-P) 1:50-200
    IF(IHC-F) 1:50-200
    IF(ICC) 1:50-200

    限制

    仅限研究用
  • 状态

    Liquid

    浓度

    1 μg/μL

    缓冲液

    0.01M TBS( pH 7.4) with 1 % BSA, 0.02 % Proclin300 and 50 % Glycerol.

    储存液

    ProClin

    注意事项

    This product contains ProClin: a POISONOUS AND HAZARDOUS SUBSTANCE, which should be handled by trained staff only.

    储存条件

    4 °C,-20 °C

    储存方法

    Shipped at 4°C. Store at -20°C for one year. Avoid repeated freeze/thaw cycles.

    有效期

    12 months
  • Chen, Yin, Cheng, Ding, Gao, Sun, Zhao, Wang, Bao, Xia, Gao, Wang: "Effect of D, L-threo-1-phenyl-2-decanoylamino-3-morpholino-1-propanol and tetrandrine on the reversion of multidrug resistance in K562/A02 cells." in: Hematology (Amsterdam, Netherlands), Vol. 16, Issue 1, pp. 24-30, (2011) (PubMed).

  • 抗原

    UGCG (UDP-Glucose Ceramide Glucosyltransferase (UGCG))

    别名

    Ceramide glucosyltransferase

    背景

    Synonyms: GCS, GLCT1, Ceramide glucosyltransferase, GLCT-1, Glucosylceramide synthase, UDP-glucose ceramide glucosyltransferase, UDP-glucose:N-acylsphingosine D-glucosyltransferase, UGCG

    Background: Catalyzes the first glycosylation step in glycosphingolipid biosynthesis, the transfer of glucose to ceramide. May also serve as a "flippase".

    基因ID

    7357

    UniProt

    Q16739
You are here: