电话:
+86 (0512) 65829739
传真:
+86 (010) 6788 5057
电子邮件:
orders@antibodies-online.cn

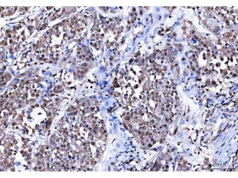
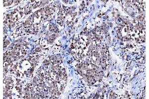
BAT3 抗体

The 兔 多克隆 anti-BAT3 antibody (ABIN6719601) specifically detects BAT3 in WB, ELISA, IHC, IF, ICC 和 FACS. The antibody is reactive with 人, 小鼠 和 大鼠 samples.
产品编号 ABIN6719601
发货至: 中国
Contact our Customer Service for availability and price in your country. Contact Info

Our Local Distributor

中国
北京 101111
No. 88 KeChuang 6th Street
Beijing Economic Technological Development Area
Room 801-803
4A Biotech Co.,Ltd.
Tel +86 (0512) 65829739 传真 +86 (010) 6788 5057

Quick Overview for BAT3 抗体 (ABIN6719601)

抗原

See all BAT3 抗体
BAT3 (Large Proline-Rich Protein BAT3 (BAT3))

适用

  • 52
  • 19
  • 16
  • 3
  • 3
  • 3
  • 3
  • 2
  • 2
  • 2
  • 1
人, 小鼠, 大鼠

宿主

  • 50
  • 3
  • 1
  • 1

克隆类型

  • 39
  • 16
多克隆

标记

  • 33
  • 3
  • 2
  • 2
  • 2
  • 2
  • 2
  • 2
  • 2
  • 1
  • 1
  • 1
  • 1
  • 1
This BAT3 antibody is un-conjugated

应用范围

  • 44
  • 17
  • 17
  • 15
  • 14
  • 11
  • 5
  • 2
  • 2
  • 2
  • 1
  • 1
Western Blotting (WB), ELISA, Immunohistochemistry (IHC), Immunofluorescence (IF), Immunocytochemistry (ICC), Flow Cytometry (FACS)
  • 原理

    Anti-BAT3/BAG6 Antibody

    交叉反应 (详细)

    No cross-reactivity with other proteins.

    产品特性

    Anti-BAT3/BAG6 Antibody (ABIN6719601). Tested in ELISA, Flow Cytometry, IF, IHC, ICC, WB applications. This antibody reacts with Human, Mouse, Rat. This is a premium antibody that guarantees superior quality, high affinity, and strong signals with minimal background in Western blot applications.

    纯化方法

    Immunogen affinity purified.

    免疫原

    E. coli-derived human BAT3/BAG6 recombinant protein (D15-A88).

    亚型

    IgG
  • 应用备注

    Western blot, 0.1-0.5 μg/mL
    Immunohistochemistry (Paraffin-embedded Section), 2-5 μg/mL
    Immunocytochemistry/Immunofluorescence, 5 μg/mL
    Flow Cytometry(Fixed), 1-3 μg/1x106 cells
    ELISA, 0.1-0.5 μg/mL

    说明

    Tested Species: In-house tested species with positive results. By Heat: Boiling the paraffin sections in 10mM citrate buffer, pH6.0, for 20mins is required for the staining of formalin/paraffin sections. Other applications have not been tested. Optimal dilutions should be determined by end users.

    限制

    仅限研究用
  • 状态

    Lyophilized

    溶解方式

    Adding 0.2 mL of distilled water will yield a concentration of 500 μg/mL.

    浓度

    500 μg/mL

    缓冲液

    Each vial contains 4 mg Trehalose, 0.9 mg NaCl, 0.2 mg Na2HPO4, 0.05 mg NaN3.

    储存液

    Sodium azide

    注意事项

    This product contains Sodium azide: a POISONOUS AND HAZARDOUS SUBSTANCE which should be handled by trained staff only.

    储存条件

    4 °C,-20 °C

    储存方法

    Store at -20°C for one year from date of receipt. After reconstitution, at 4°C for one month.
    It can also be aliquotted and stored frozen at -20°C for six months. Avoid repeated freeze-thaw cycles.
  • 抗原

    BAT3 (Large Proline-Rich Protein BAT3 (BAT3))

    别名

    BAG6

    背景

    Synonyms: Large proline-rich protein BAG6, BAG family molecular chaperone regulator 6, BCL2-associated athanogene 6, BAG-6, HLA-B-associated transcript 3, Protein G3, Protein Scythe, BAG6, BAT3

    Tissue Specificity: Expressed by immature dendritic cells.

    Background: Large proline-rich protein BAT3 is a protein that in humans is encoded by the BAT3 gene. It is mapped to 6p21.33. This gene was first characterized as part of a cluster of genes located within the human major histocompatibility complex class III region. This gene encodes a nuclear protein that is cleaved by caspase 3 and is implicated in the control of apoptosis. In addition, the protein forms a complex with E1A binding protein p300 and is required for the acetylation of p53 in response to DNA damage. Multiple transcript variants encoding different isoforms have been found for this gene.

    分子量

    150 kDa

    基因ID

    7917

    UniProt

    P46379
You are here: