电话:
+86 (0512) 65829739
传真:
+86 (010) 6788 5057
电子邮件:
orders@antibodies-online.cn

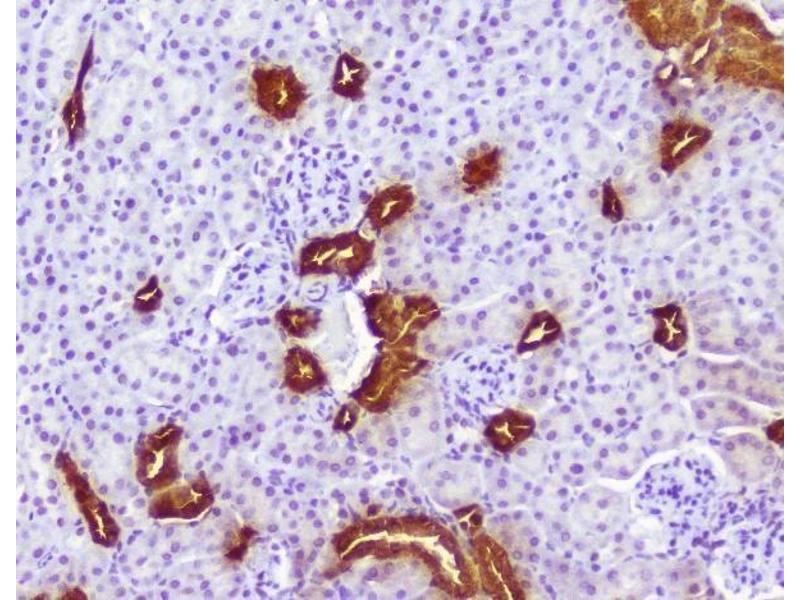
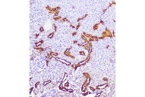
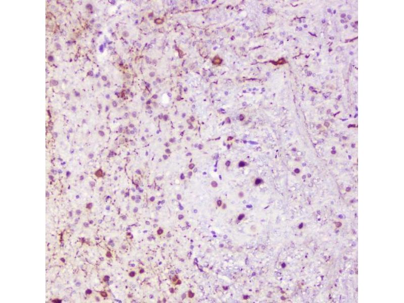
CALB1 抗体 (AA 2-261)

The 兔 多克隆 anti-CALB1 antibody (ABIN6719541) specifically detects CALB1 in IHC, WB, ELISA, IF 和 FACS. The antibody is reactive with 人, 大鼠 和 小鼠 samples.
产品编号 ABIN6719541
发货至: 中国
Contact our Customer Service for availability and price in your country. Contact Info

Our Local Distributor

中国
北京 101111
No. 88 KeChuang 6th Street
Beijing Economic Technological Development Area
Room 801-803
4A Biotech Co.,Ltd.
Tel +86 (0512) 65829739 传真 +86 (010) 6788 5057

Quick Overview for CALB1 抗体 (AA 2-261) (ABIN6719541)

抗原

See all CALB1 抗体
CALB1 (Calbindin (CALB1))

适用

  • 111
  • 61
  • 56
  • 10
  • 4
  • 3
  • 3
  • 3
  • 3
  • 2
  • 2
  • 2
  • 1
  • 1
  • 1
人, 大鼠, 小鼠

宿主

  • 81
  • 45
  • 1

克隆类型

  • 75
  • 52
多克隆

标记

  • 60
  • 11
  • 4
  • 4
  • 4
  • 4
  • 4
  • 4
  • 2
  • 2
  • 2
  • 2
  • 2
  • 2
  • 2
  • 2
  • 2
  • 2
  • 2
  • 1
  • 1
  • 1
  • 1
  • 1
  • 1
  • 1
  • 1
  • 1
  • 1
This CALB1 antibody is un-conjugated

应用范围

  • 72
  • 71
  • 27
  • 25
  • 22
  • 19
  • 12
  • 10
  • 5
  • 4
  • 2
  • 2
  • 2
  • 2
  • 1
  • 1
  • 1
  • 1
Immunohistochemistry (IHC), Western Blotting (WB), ELISA, Immunofluorescence (IF), Flow Cytometry (FACS)
  • 抗原表位

    • 23
    • 18
    • 7
    • 6
    • 3
    • 3
    • 3
    • 1
    • 1
    • 1
    • 1
    • 1
    • 1
    • 1
    • 1
    AA 2-261

    原理

    Anti-Calbindin/CALB1 Antibody

    交叉反应 (详细)

    No cross-reactivity with other proteins.

    产品特性

    Anti-Calbindin/CALB1 Antibody (ABIN6719541). Tested in ELISA, Flow Cytometry, IF, IHC, WB applications. This antibody reacts with Human, Mouse, Rat. This is a premium antibody that guarantees superior quality, high affinity, and strong signals with minimal background in Western blot applications.

    纯化方法

    Immunogen affinity purified.

    免疫原

    E. coli-derived human Calbindin recombinant protein (Position: A2-N261).

    亚型

    IgG
  • 应用备注

    Western blot, 0.1-0.5 μg/mL, Mouse, Rat
    Immunohistochemistry (Paraffin-embedded Section), 0.5-1 μg/mL, Human, Mouse, Rat
    Immunofluorescence, 5 μg/mL, Rat
    Flow Cytometry (Fixed), 1-3 μg/1x106 cells, Human
    ELISA, 0.1-0.5 μg/mL, -

    说明

    Tested Species: In-house tested species with positive results. By Heat: Boiling the paraffin sections in 10mM citrate buffer, pH6.0, for 20mins is required for the staining of formalin/paraffin sections. Other applications have not been tested. Optimal dilutions should be determined by end users.

    限制

    仅限研究用
  • 状态

    Lyophilized

    溶解方式

    Add 0.2 mL of distilled water will yield a concentration of 500 μg/mL.

    浓度

    500 μg/mL

    缓冲液

    Each vial contains 4 mg Trehalose, 0.9 mg NaCl, 0.2 mg Na2HPO4, 0.05 mg NaN3.

    储存液

    Sodium azide

    注意事项

    This product contains Sodium azide: a POISONOUS AND HAZARDOUS SUBSTANCE which should be handled by trained staff only.

    储存条件

    4 °C,-20 °C

    储存方法

    Store at -20°C for one year from date of receipt. After reconstitution, at 4°C for one month.
    It can also be aliquotted and stored frozen at -20°C for six months. Avoid repeated freeze-thaw cycles.
  • 抗原

    CALB1 (Calbindin (CALB1))

    别名

    CALB1

    背景

    Synonyms: Calbindin, Calbindin D28, D-28K, Vitamin D-dependent calcium-binding protein, avian-type, CALB1, CAB27

    Tissue Specificity: Detected in skin. In the cornea, it is detected in the epithelial basement membrane, the epithelial cells, and at a lower level in stromal cells. Stratified squamous epithelia. Found in hemidesmosomes. Expressed in cornea, oral mucosa, esophagus, intestine, kidney collecting ducts, ureter, bladder, urethra and thymus but is absent in lung, blood vessels, skeletal muscle and nerves.

    Background: Calbindin is a calcium-binding protein belonging to the troponin C superfamily. And it mapped to 8q21.3. Calretinin is expressed in central and peripheral nervous system and in many normal and pathological tissues. The rat and human calretinin exhibit 98 % sequence homology and 91 % homology to many other species. Two calcium binding proteins, calbindin and calretinin, have been reported to be expressed in abundance in Purkinje cells and other cell types in the cerebellum.

    分子量

    28 kDa

    UniProt

    P05937
You are here: