电话:
+86 (0512) 65829739
传真:
+86 (010) 6788 5057
电子邮件:
orders@antibodies-online.cn

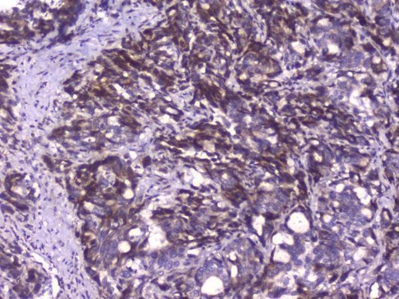
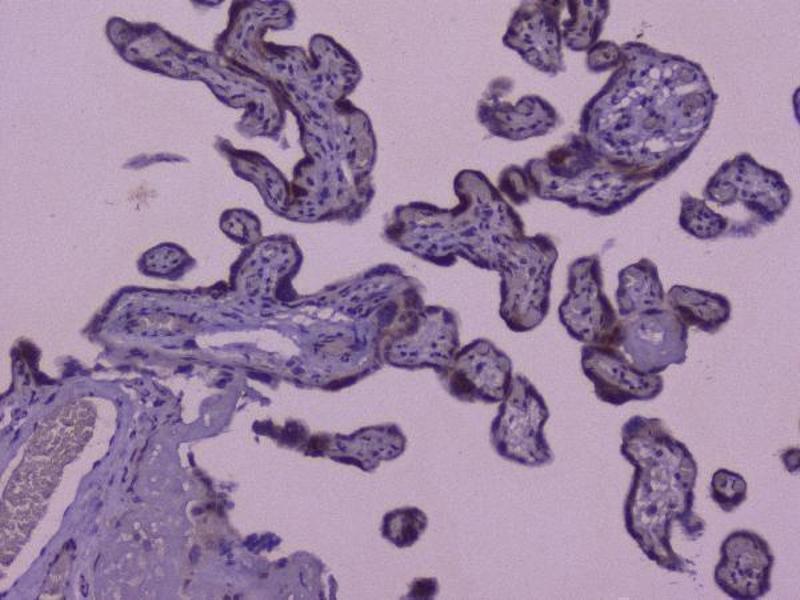
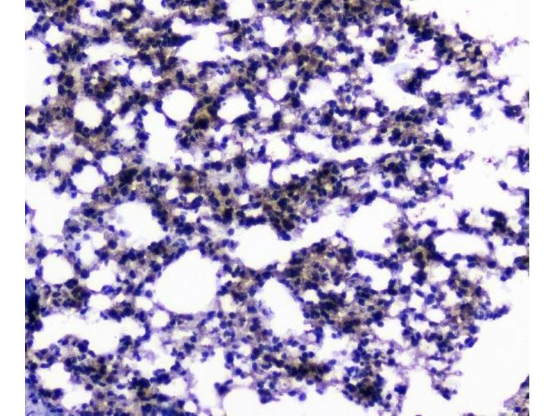
CIC 抗体 (AA 1433-1527)

This 兔 多克隆 antibody specifically detects CIC in ELISA 和 IHC. It exhibits reactivity toward 小鼠, 人 和 大鼠.
产品编号 ABIN6719536
发货至: 中国
Contact our Customer Service for availability and price in your country. Contact Info

Our Local Distributor

中国
北京 101111
No. 88 KeChuang 6th Street
Beijing Economic Technological Development Area
Room 801-803
4A Biotech Co.,Ltd.
Tel +86 (0512) 65829739 传真 +86 (010) 6788 5057

Quick Overview for CIC 抗体 (AA 1433-1527) (ABIN6719536)

抗原

See all CIC 抗体
CIC (Capicua Homolog (CIC))

适用

  • 27
  • 15
  • 3
  • 1
  • 1
  • 1
  • 1
  • 1
小鼠, 人, 大鼠

宿主

  • 30

克隆类型

  • 30
多克隆

标记

  • 13
  • 2
  • 1
  • 1
  • 1
  • 1
  • 1
  • 1
  • 1
  • 1
  • 1
  • 1
  • 1
  • 1
  • 1
  • 1
  • 1
This CIC antibody is un-conjugated

应用范围

  • 13
  • 13
  • 13
  • 13
  • 8
  • 6
  • 3
  • 1
  • 1
  • 1
ELISA, Immunohistochemistry (IHC)
  • 抗原表位

    • 15
    • 6
    • 5
    • 2
    • 2
    • 1
    AA 1433-1527

    原理

    Anti-CIC Antibody

    交叉反应 (详细)

    No cross-reactivity with other proteins.

    产品特性

    Anti-CIC Antibody (ABIN6719536). Tested in ELISA, IHC applications. This antibody reacts with Human, Mouse, Rat.

    纯化方法

    Immunogen affinity purified.

    免疫原

    E. coli-derived human CIC recombinant protein (Position: E1433-Q1527).

    亚型

    IgG
  • 应用备注

    Immunohistochemistry (Paraffin-embedded Section), 0.5-1 μg/mL
    ELISA, 0.1-0.5 μg/mL

    说明

    Tested Species: In-house tested species with positive results. By Heat: Boiling the paraffin sections in 10mM citrate buffer, pH6.0, for 20mins is required for the staining of formalin/paraffin sections. Other applications have not been tested. Optimal dilutions should be determined by end users.

    限制

    仅限研究用
  • 状态

    Lyophilized

    溶解方式

    Add 0.2 mL of distilled water will yield a concentration of 500 μg/mL.

    浓度

    500 μg/mL

    缓冲液

    Each vial contains 4 mg Trehalose, 0.9 mg NaCl, 0.2 mg Na2HPO4, 0.05 mg NaN3.

    储存液

    Sodium azide

    注意事项

    This product contains Sodium azide: a POISONOUS AND HAZARDOUS SUBSTANCE which should be handled by trained staff only.

    储存条件

    4 °C,-20 °C

    储存方法

    Store at -20°C for one year from date of receipt. After reconstitution, at 4°C for one month.
    It can also be aliquotted and stored frozen at -20°C for six months. Avoid repeated freeze-thaw cycles.
  • 抗原

    CIC (Capicua Homolog (CIC))

    别名

    CIC

    背景

    Synonyms: Protein capicua homolog, CIC, KIAA0306

    Tissue Specificity: Expressed in fetal brain.

    Background: Protein capicua homolog is a protein that in humans is encoded by the CIC gene. The protein encoded by this gene is an ortholog of the Drosophila melanogaster capicua gene, and is a member of the high mobility group (HMG)-box superfamily of transcriptional repressors. This protein contains a conserved HMG domain that is involved in DNA binding and nuclear localization, and a conserved C-terminus. Studies suggest that the N-terminal region of this protein interacts with Atxn1 (GeneID:6310), to form a transcription repressor complex, and in vitro studies suggest that polyglutamine-expansion of ATXN1 may alter the repressor activity of this complex. Mutations in this gene have been associated with olidogdendrogliomas (PMID:21817013). In addition, translocation events resulting in gene fusions of this gene with both DUX4 (GeneID:100288687) and FOXO4 (GeneID:4303) have been associated with round cell sarcomas. This gene is mapped to 19q13.2. Alternative splicing results in multiple transcript variants encoding different isoforms.

    分子量

    55 kDa

    基因ID

    23152
You are here: