电话:
+86 (0512) 65829739
传真:
+86 (010) 6788 5057
电子邮件:
orders@antibodies-online.cn

Pyrophosphatase (Inorganic) 1 (PPA1) (AA 7-236) 抗体

This 兔 多克隆 antibody specifically detects Pyrophosphatase (Inorganic) 1 in WB, ELISA 和 IHC. It exhibits reactivity toward 人, 大鼠 和 小鼠.
产品编号 ABIN6719527
发货至: 中国
Contact our Customer Service for availability and price in your country. Contact Info

Our Local Distributor

中国
北京 101111
No. 88 KeChuang 6th Street
Beijing Economic Technological Development Area
Room 801-803
4A Biotech Co.,Ltd.
Tel +86 (0512) 65829739 传真 +86 (010) 6788 5057

Quick Overview for Pyrophosphatase (Inorganic) 1 (PPA1) (AA 7-236) 抗体 (ABIN6719527)

抗原

See all Pyrophosphatase (Inorganic) 1 (PPA1) 抗体
Pyrophosphatase (Inorganic) 1 (PPA1)

适用

  • 49
  • 21
  • 21
  • 7
  • 2
  • 2
  • 2
  • 2
  • 2
  • 2
  • 2
  • 1
  • 1
  • 1
  • 1
  • 1
  • 1
人, 大鼠, 小鼠

宿主

  • 48
  • 8
  • 1

克隆类型

  • 37
  • 20
多克隆

标记

  • 29
  • 7
  • 3
  • 2
  • 2
  • 2
  • 2
  • 2
  • 2
  • 1
  • 1
  • 1
  • 1
  • 1
  • 1
非结合性

应用范围

  • 39
  • 19
  • 15
  • 13
  • 13
  • 8
  • 8
  • 4
  • 4
  • 2
  • 2
  • 2
  • 1
  • 1
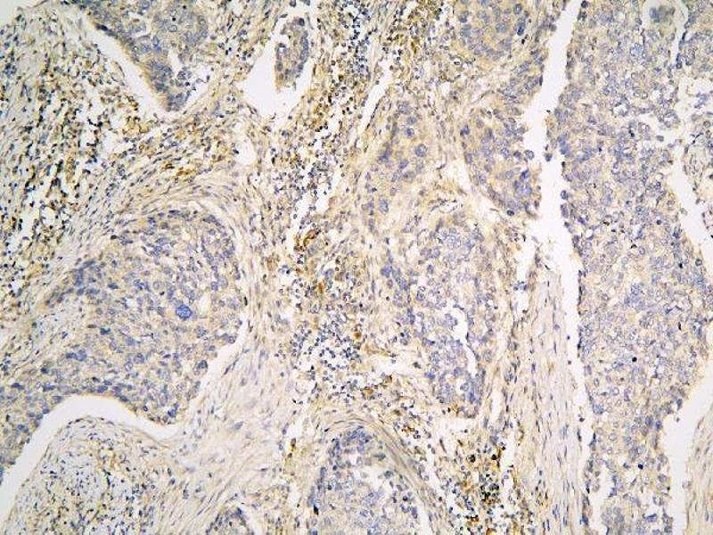
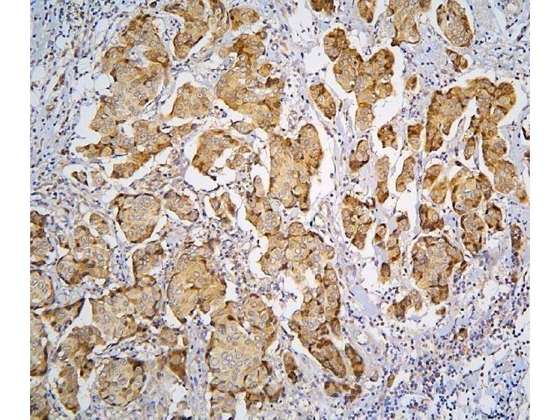
Western Blotting (WB), ELISA, Immunohistochemistry (IHC)
  • 抗原表位

    • 13
    • 5
    • 3
    • 1
    • 1
    • 1
    • 1
    • 1
    • 1
    • 1
    AA 7-236

    原理

    Anti-Pyrophosphatase 1/PPA1 Antibody

    交叉反应 (详细)

    No cross-reactivity with other proteins.

    产品特性

    Anti-Pyrophosphatase 1/PPA1 Antibody (ABIN6719527). Tested in ELISA, IHC, WB applications. This antibody reacts with Human, Mouse, Rat. This is a premium antibody that guarantees superior quality, high affinity, and strong signals with minimal background in Western blot applications.

    纯化方法

    Immunogen affinity purified.

    免疫原

    E.coli-derived human Pyrophosphatase 1/PPA1 recombinant protein (Position: E7-N236).

    亚型

    IgG
  • 应用备注

    Western blot, 0.1-0.5 μg/mL
    Immunohistochemistry (Paraffin-embedded Section), 0.5-1 μg/mL
    ELISA, 0.1-0.5 μg/mL

    说明

    Tested Species: In-house tested species with positive results. By Heat: Boiling the paraffin sections in 10mM citrate buffer, pH6.0, for 20mins is required for the staining of formalin/paraffin sections. Other applications have not been tested. Optimal dilutions should be determined by end users.

    限制

    仅限研究用
  • 状态

    Lyophilized

    溶解方式

    Add 0.2 mL of distilled water will yield a concentration of 500 μg/mL.

    浓度

    500 μg/mL

    缓冲液

    Each vial contains 4 mg Trehalose, 0.9 mg NaCl, 0.2 mg Na2HPO4, 0.05 mg Sodium azide.

    储存液

    Sodium azide

    注意事项

    This product contains Sodium azide: a POISONOUS AND HAZARDOUS SUBSTANCE which should be handled by trained staff only.

    储存条件

    4 °C,-20 °C

    储存方法

    Store at -20°C for one year from date of receipt. After reconstitution, at 4°C for one month.
    It can also be aliquotted and stored frozen at -20°C for six months. Avoid repeated freeze-thaw cycles.
  • 抗原

    Pyrophosphatase (Inorganic) 1 (PPA1)

    别名

    PPA1

    背景

    Synonyms: Inorganic pyrophosphatase, Pyrophosphate phospho-hydrolase, Ppase, PPA1, IOPPP, PP

    Tissue Specificity: Expressed ubiquitously.

    Background: PPA1 is a member of the inorganic pyrophosphatase (PPase) family. PPases catalyze the hydrolysis of pyrophosphate to inorganic phosphate, which is important for the phosphate metabolism of cells. Studies of a similar protein in bovine suggested a cytoplasmic localization of this enzyme. By radiation hybrid analysis, the PPA1 gene is mapped to chromosome 10q21.3.

    分子量

    33 kDa

    基因ID

    5464

    UniProt

    Q15181
You are here: