电话:
+86 (0512) 65829739
传真:
+86 (010) 6788 5057
电子邮件:
orders@antibodies-online.cn

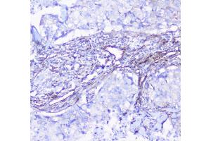
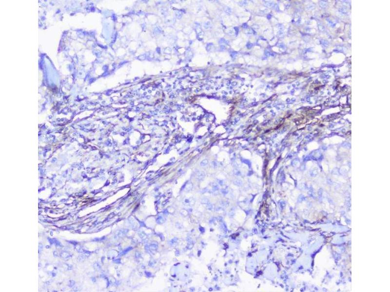
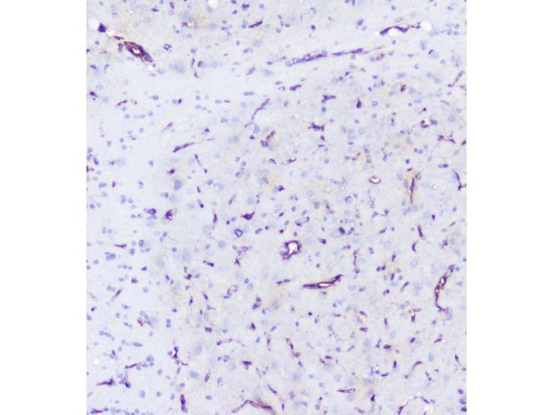
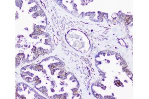
INPPL1 抗体 (AA 1172-1258)

The 兔 多克隆 anti-INPPL1 antibody is suitable to detect INPPL1 in samples from 人, 小鼠 和 大鼠. It has been validated for WB, ELISA, IHC, IF, FACS 和 ICC.
产品编号 ABIN6719492
发货至: 中国
Contact our Customer Service for availability and price in your country. Contact Info

Our Local Distributor

中国
北京 101111
No. 88 KeChuang 6th Street
Beijing Economic Technological Development Area
Room 801-803
4A Biotech Co.,Ltd.
Tel +86 (0512) 65829739 传真 +86 (010) 6788 5057

Quick Overview for INPPL1 抗体 (AA 1172-1258) (ABIN6719492)

抗原

See all INPPL1 抗体
INPPL1 (Inositol Polyphosphate Phosphatase-Like 1 (INPPL1))

适用

  • 49
  • 45
  • 28
  • 1
  • 1
  • 1
  • 1
  • 1
  • 1
  • 1
人, 小鼠, 大鼠

宿主

  • 62
  • 2
  • 1

克隆类型

  • 62
  • 3
多克隆

标记

  • 17
  • 3
  • 3
  • 3
  • 3
  • 3
  • 3
  • 3
  • 3
  • 3
  • 3
  • 3
  • 3
  • 3
  • 3
  • 1
  • 1
  • 1
  • 1
  • 1
  • 1
This INPPL1 antibody is un-conjugated

应用范围

  • 39
  • 39
  • 27
  • 12
  • 12
  • 9
  • 5
  • 4
  • 2
  • 2
  • 2
  • 1
Western Blotting (WB), ELISA, Immunohistochemistry (IHC), Immunofluorescence (IF), Flow Cytometry (FACS), Immunocytochemistry (ICC)
  • 抗原表位

    • 15
    • 15
    • 15
    • 15
    • 3
    • 1
    • 1
    • 1
    • 1
    • 1
    • 1
    • 1
    • 1
    • 1
    AA 1172-1258

    原理

    Anti-INPPL1 Antibody

    交叉反应 (详细)

    No cross-reactivity with other proteins.

    产品特性

    Anti-INPPL1 Antibody (ABIN6719492). Tested in ELISA, Flow Cytometry, IF, IHC, ICC, WB applications. This antibody reacts with Human, Mouse, Rat. This is a premium antibody that guarantees superior quality, high affinity, and strong signals with minimal background in Western blot applications.

    纯化方法

    Immunogen affinity purified.

    免疫原

    E. coli-derived human INPPL1 recombinant protein (Position: R1172-K1258).

    亚型

    IgG
  • 应用备注

    Western blot, 0.1-0.5 μg/mL
    Immunohistochemistry (Paraffin-embedded Section), 0.5-1 μg/mL
    Immunocytochemistry/Immunofluorescence, 2 μg/mL, Human
    Flow Cytometry (Fixed), 1-3 μg/1x106 cells, Human
    ELISA, 0.1-0.5 μg/mL

    说明

    Tested Species: In-house tested species with positive results. By Heat: Boiling the paraffin sections in 10mM citrate buffer, pH6.0, for 20mins is required for the staining of formalin/paraffin sections. Other applications have not been tested. Optimal dilutions should be determined by end users.

    限制

    仅限研究用
  • 状态

    Lyophilized

    溶解方式

    Add 0.2 mL of distilled water will yield a concentration of 500 μg/mL.

    浓度

    500 μg/mL

    缓冲液

    Each vial contains 4 mg Trehalose, 0.9 mg NaCl, 0.2 mg Na2HPO4, 0.05 mg NaN3.

    储存液

    Sodium azide

    注意事项

    This product contains Sodium azide: a POISONOUS AND HAZARDOUS SUBSTANCE which should be handled by trained staff only.

    储存条件

    4 °C,-20 °C

    储存方法

    Store at -20°C for one year from date of receipt. After reconstitution, at 4°C for one month.
    It can also be aliquotted and stored frozen at -20°C for six months. Avoid repeated freeze-thaw cycles.
  • 抗原

    INPPL1 (Inositol Polyphosphate Phosphatase-Like 1 (INPPL1))

    别名

    INPPL1

    背景

    Synonyms: Phosphatidylinositol 3,4,5-trisphosphate 5-phosphatase 2, Inositol polyphosphate phosphatase-like protein 1, INPPL-1, Protein 51C, SH2 domain-containing inositol 5'-phosphatase 2, SH2 domain-containing inositol phosphatase 2, SHIP-2, INPPL1, SHIP2

    Tissue Specificity: Widely expressed, most prominently in skeletal muscle, heart and brain. Present in platelets. Expressed in transformed myeloid cells and in primary macrophages, but not in peripheral blood monocytes.

    Background: SH2-domain containing Phosphatidylinositol-3,4,5-trisphosphate 5-phosphatase 2 is an enzyme that in humans is encoded by the INPPL1 gene. The protein encoded by this gene is an SH2-containing 5'-inositol phosphatase that is involved in the regulation of insulin function. The encoded protein also plays a role in the regulation of epidermal growth factor receptor turnover and actin remodelling. Additionally, this gene supports metastatic growth in breast cancer and is a valuable biomarker for breast cancer.

    分子量

    150 kDa

    基因ID

    3636

    UniProt

    O15357

    途径

    Platelet-derived growth Factor Receptor Signaling
You are here: