电话:
+86 (0512) 65829739
传真:
+86 (010) 6788 5057
电子邮件:
orders@antibodies-online.cn

ITGA3 抗体

This 兔 多克隆 antibody specifically detects ITGA3 in WB, IHC, FACS, IF, ICC 和 IHC (fro). It exhibits reactivity toward 人, 小鼠 和 大鼠.
产品编号 ABIN6719410
发货至: 中国
Contact our Customer Service for availability and price in your country. Contact Info

Our Local Distributor

中国
北京 101111
No. 88 KeChuang 6th Street
Beijing Economic Technological Development Area
Room 801-803
4A Biotech Co.,Ltd.
Tel +86 (0512) 65829739 传真 +86 (010) 6788 5057

Quick Overview for ITGA3 抗体 (ABIN6719410)

抗原

See all ITGA3 抗体
ITGA3 (Integrin, alpha 3 (ITGA3))

适用

  • 60
  • 35
  • 17
  • 8
  • 2
  • 2
  • 1
  • 1
  • 1
  • 1
人, 小鼠, 大鼠

宿主

  • 47
  • 25
  • 3
  • 1
  • 1

克隆类型

  • 51
  • 28
多克隆

标记

  • 40
  • 7
  • 6
  • 3
  • 2
  • 2
  • 1
  • 1
  • 1
  • 1
  • 1
  • 1
  • 1
  • 1
  • 1
  • 1
  • 1
  • 1
  • 1
  • 1
  • 1
  • 1
  • 1
  • 1
  • 1
This ITGA3 antibody is un-conjugated

应用范围

  • 46
  • 35
  • 23
  • 13
  • 10
  • 7
  • 7
  • 7
  • 6
  • 2
  • 1
  • 1
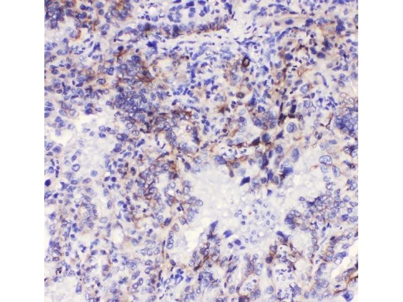
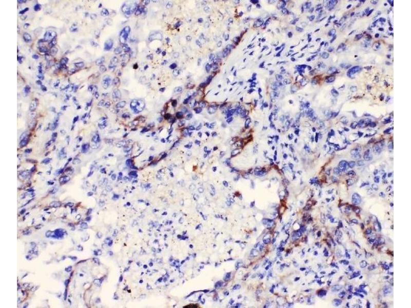
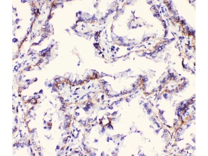
Western Blotting (WB), Immunohistochemistry (IHC), Flow Cytometry (FACS), Immunofluorescence (IF), Immunocytochemistry (ICC), Immunohistochemistry (Frozen Sections) (IHC (fro))
  • 原理

    Anti-Integrin alpha 3/ITGA3 Antibody

    序列

    YSVALHRQTE RQQRYLLLAG APRELAVPDG YTNR

    交叉反应 (详细)

    No cross-reactivity with other proteins.

    产品特性

    Anti-Integrin alpha 3/ITGA3 Antibody (ABIN6719410). Tested in Flow Cytometry, IF, IHC, IHC-F, ICC, WB applications. This antibody reacts with Human, Mouse, Rat. This is a premium antibody that guarantees superior quality, high affinity, and strong signals with minimal background in Western blot applications.

    纯化方法

    Immunogen affinity purified.

    免疫原

    A synthetic peptide corresponding to a sequence at the N-terminus of human Integrin alpha 3, which shares 91.2% amino acid (aa) sequence identity with both mouse and rat Integrin alpha 3.

    亚型

    IgG
  • 应用备注

    Western blot, 0.1-0.5 μg/mL
    Immunohistochemistry (Paraffin-embedded Section), 0.5-1 μg/mL
    Immunohistochemistry (Frozen Section), 0.5-1 μg/mL
    Immunocytochemistry/Immunofluorescence, 2 μg/mL
    Flow Cytometry (Fixed), 1-3 μg/1x106 cells

    说明

    Tested Species: In-house tested species with positive results. By Heat: Boiling the paraffin sections in 10mM citrate buffer, pH6.0, for 20mins is required for the staining of formalin/paraffin sections. Other applications have not been tested. Optimal dilutions should be determined by end users.

    限制

    仅限研究用
  • 状态

    Lyophilized

    溶解方式

    Add 0.2 mL of distilled water will yield a concentration of 500 μg/mL.

    浓度

    500 μg/mL

    缓冲液

    Each vial contains 4 mg Trehalose, 0.9 mg NaCl, 0.2 mg Na2HPO4, 0.05 mg NaN3.

    储存液

    Sodium azide

    注意事项

    This product contains Sodium azide: a POISONOUS AND HAZARDOUS SUBSTANCE which should be handled by trained staff only.

    储存条件

    4 °C,-20 °C

    储存方法

    Store at -20°C for one year from date of receipt. After reconstitution, at 4°C for one month.
    It can also be aliquotted and stored frozen at -20°C for six months. Avoid repeated freeze-thaw cycles.
  • 抗原

    ITGA3 (Integrin, alpha 3 (ITGA3))

    别名

    ITGA3

    背景

    Synonyms: Integrin alpha-3; CD49 antigen-like family member C; FRP-2; Galactoprotein B3; GAPB3; VLA-3 subunit alpha; CD49c; Integrin alpha-3 heavy chain; Integrin alpha-3 light chain; ITGA3; MSK18

    Tissue Specificity: Isoform 1 is widely expressed. Isoform 2 is expressed in brain and heart. In brain, both isoforms are exclusively expressed on vascular smooth muscle cells, whereas in heart isoform 1 is strongly expressed on vascular smooth muscle cells, isoform 2 is detected only on endothelial vein cells.

    Background: ITGA3 (INTEGRIN, ALPHA-3), also called CD49C, VLA3 or GAPB3, is a protein that in humans is encoded by the ITGA3 gene. It is an integrin alpha subunit which is also a member of the family of cell surface adhesion molecules. This gene is mapped to chromosome 17 and its exact cytogenetic location is 17q21.33. ITGA3 makes up half of the α3β1 integrin duplex that plays a role in neural migration and corticogenesis together with beta-1 subunit.A functional link between DAB1 phosphorylation and ITGA3 signaling drives the timely detachment of migrating neurons from radial glial fibers. Expression of human ITGA3 increased the infectivity of virus for Chinese hamster ovary cells. ITGA3 also contains 13 potential N-glycosylation sites, 2 potential cleavage sites, and the 7 N-terminal repeating units characteristic of ITGAs. Recombinant ITGA3 is expressed as a 150-kD protein as the same size as the native protein by the western blot analysis.

    分子量

    130 kDa

    基因ID

    3675

    UniProt

    P26006

    途径

    CXCR4-mediated Signaling Events, Integrin Complex
You are here: