电话:
+86 (0512) 65829739
传真:
+86 (010) 6788 5057
电子邮件:
orders@antibodies-online.cn

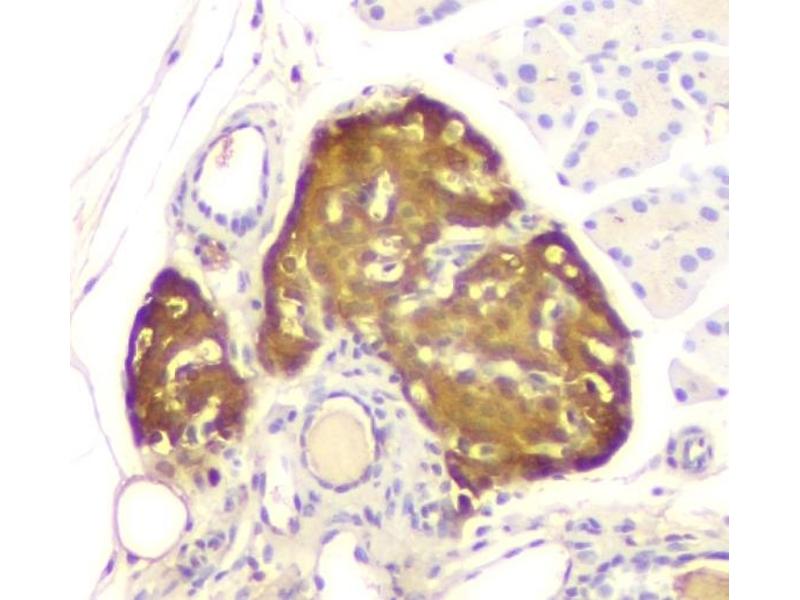
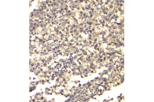
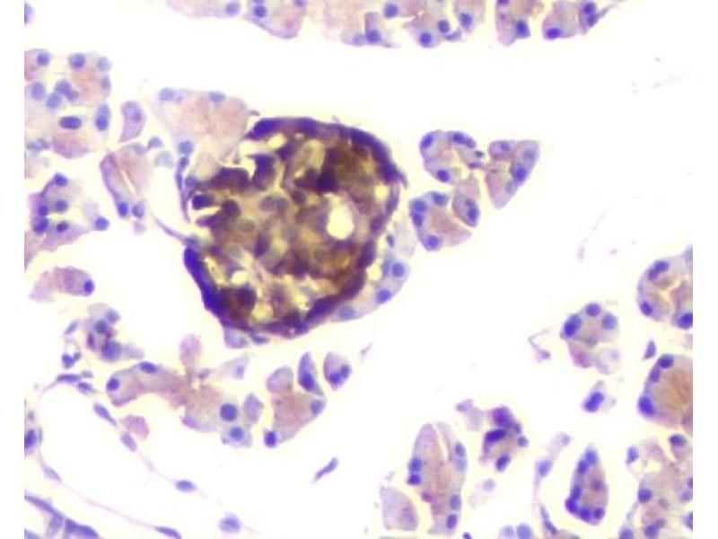
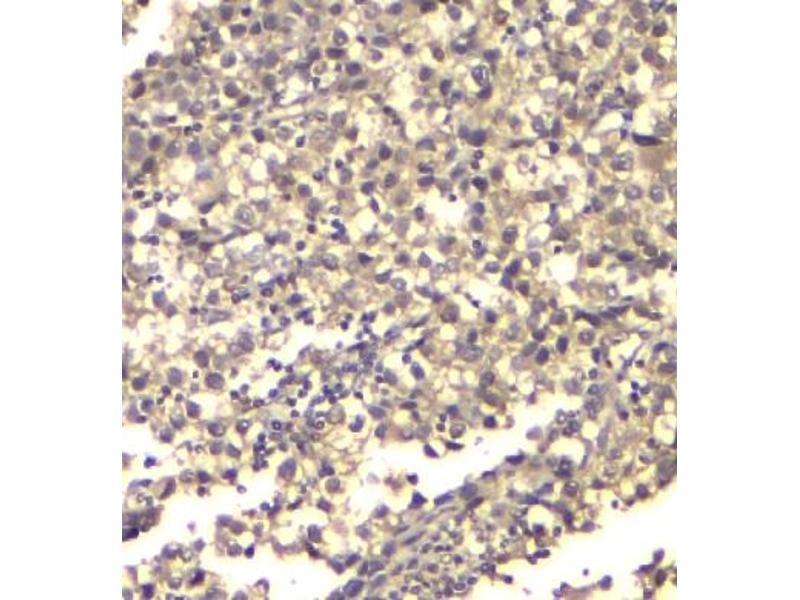
ACLY 抗体 (AA 1-180)

The 小鼠 单克隆 anti-ACLY antibody (Clone 5I2) (ABIN6719406) specifically detects ACLY in WB, IHC, IF, FACS 和 ICC. The antibody is reactive with 人, 小鼠 和 大鼠 samples.
产品编号 ABIN6719406
发货至: 中国
Contact our Customer Service for availability and price in your country. Contact Info

Our Local Distributor

中国
北京 101111
No. 88 KeChuang 6th Street
Beijing Economic Technological Development Area
Room 801-803
4A Biotech Co.,Ltd.
Tel +86 (0512) 65829739 传真 +86 (010) 6788 5057

Quick Overview for ACLY 抗体 (AA 1-180) (ABIN6719406)

抗原

See all ACLY 抗体
ACLY (ATP Citrate Lyase (ACLY))

适用

  • 109
  • 46
  • 43
  • 11
  • 6
  • 6
  • 5
  • 3
  • 3
  • 3
  • 3
  • 2
  • 2
  • 2
  • 1
  • 1
人, 小鼠, 大鼠

宿主

  • 97
  • 15
小鼠

克隆类型

  • 72
  • 40
单克隆

标记

  • 57
  • 6
  • 4
  • 3
  • 3
  • 3
  • 3
  • 3
  • 3
  • 3
  • 2
  • 2
  • 2
  • 2
  • 2
  • 2
  • 2
  • 2
  • 2
  • 2
  • 2
  • 1
  • 1
This ACLY antibody is un-conjugated

应用范围

  • 93
  • 35
  • 29
  • 28
  • 27
  • 26
  • 20
  • 19
  • 11
  • 6
  • 6
  • 3
  • 2
  • 2
Western Blotting (WB), Immunohistochemistry (IHC), Immunofluorescence (IF), Flow Cytometry (FACS), Immunocytochemistry (ICC)

克隆位点

5I2
  • 抗原表位

    • 19
    • 15
    • 7
    • 5
    • 2
    • 2
    • 2
    • 2
    • 2
    • 1
    • 1
    • 1
    • 1
    • 1
    • 1
    • 1
    • 1
    • 1
    • 1
    • 1
    • 1
    • 1
    • 1
    • 1
    AA 1-180

    原理

    Anti-ATP citrate lyase ACLY Antibody (monoclonal, 5I2)

    交叉反应 (详细)

    No cross-reactivity with other proteins.

    产品特性

    Anti-ATP citrate lyase ACLY Antibody (monoclonal, 5I2) (ABIN6719406). Tested in Flow Cytometry, IF, IHC, ICC, WB applications. This antibody reacts with Human, Mouse, Rat. This is a premium antibody that guarantees superior quality, high affinity, and strong signals with minimal background in Western blot applications.

    纯化方法

    Immunogen affinity purified.

    免疫原

    E. coli-derived human ATP citrate lyase recombinant protein (Position: M1-I180). Human ATP citrate lyase shares 95% amino acid (aa) sequence identity with both mouse and rat ATP citrate lyase.

    亚型

    IgG2b
  • 应用备注

    Western blot, 0.1-0.5 μg/mL
    Immunohistochemistry (Paraffin-embedded Section), 0.5-1 μg/mL
    Immunocytochemistry/Immunofluorescence, 2 μg/mL, Human
    Flow Cytometry (Fixed), 1-3 μg/1x106 cells

    说明

    Tested Species: In-house tested species with positive results. By Heat: Boiling the paraffin sections in 10mM citrate buffer, pH6.0, for 20mins is required for the staining of formalin/paraffin sections. Other applications have not been tested. Optimal dilutions should be determined by end users.

    限制

    仅限研究用
  • 状态

    Lyophilized

    溶解方式

    Add 0.2 mL of distilled water will yield a concentration of 500 μg/mL.

    浓度

    500 μg/mL

    缓冲液

    Each vial contains 4 mg Trehalose, 0.9 mg NaCl, 0.2 mg Na2HPO4, 0.05 mg Sodium azide.

    储存液

    Sodium azide

    注意事项

    This product contains Sodium azide: a POISONOUS AND HAZARDOUS SUBSTANCE which should be handled by trained staff only.

    储存条件

    4 °C,-20 °C

    储存方法

    Store at -20°C for one year from date of receipt. After reconstitution, at 4°C for one month.
    It can also be aliquotted and stored frozen at -20°C for six months. Avoid repeated freeze-thaw cycles.
  • 抗原

    ACLY (ATP Citrate Lyase (ACLY))

    别名

    ACLY

    背景

    Synonyms: ATP-citrate synthase, ATP-citrate (pro-S-)-lyase, ACL, Citrate cleavage enzyme, ACLY

    Tissue Specificity: Widely expressed. Highest level in placenta, liver, muscle and kidney.

    Background: ATP citrate lyase, aslo known as ACLY, is an enzyme that in animals represents an important step in fatty acid biosynthesis. ATP citrate lyase is the primary enzyme responsible for the synthesis of cytosolic acetyl-CoA in many tissues. The enzyme is a tetramer of apparently identical subunits. The product, acetyl-CoA, in animals serves several important biosynthetic pathways, including lipogenesis and cholesterogenesis. It is activated by insulin. In nervous tissue, ATP citrate-lyase may be involved in the biosynthesis of acetylcholine.In plants, ATP citrate lyase generates the acetyl-CoA for cytosolically-synthesized metabolites.

    分子量

    121 kDa

    基因ID

    47

    UniProt

    P53396

    途径

    Warburg Effect
You are here: