电话:
+86 (0512) 65829739
传真:
+86 (010) 6788 5057
电子邮件:
orders@antibodies-online.cn

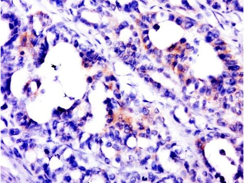
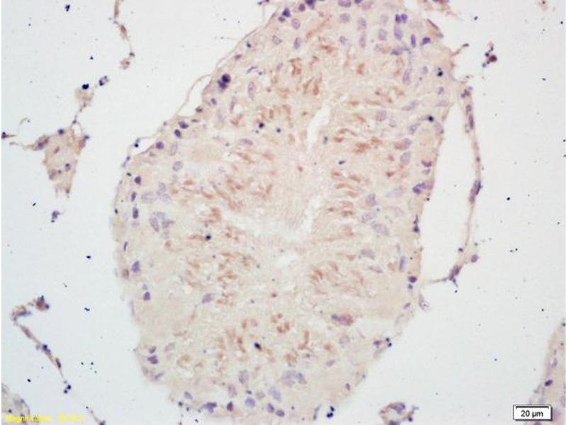
PSCA 抗体 (AA 24-123)

Cited in 1 publication. The 兔 多克隆 anti-PSCA antibody (ABIN671676) specifically detects PSCA in WB, ELISA, IF (cc), IF (p), IHC (p) 和 IHC (fro). The antibody is reactive with 人 和 大鼠 samples.
产品编号 ABIN671676
发货至: 中国
Contact our Customer Service for availability and price in your country. Contact Info

Our Local Distributor

中国
北京 101111
No. 88 KeChuang 6th Street
Beijing Economic Technological Development Area
Room 801-803
4A Biotech Co.,Ltd.
Tel +86 (0512) 65829739 传真 +86 (010) 6788 5057

Quick Overview for PSCA 抗体 (AA 24-123) (ABIN671676)

抗原

See all PSCA 抗体
PSCA (Prostate Stem Cell Antigen (PSCA))

适用

  • 76
  • 18
  • 15
  • 2
  • 2
  • 2
人, 大鼠

宿主

  • 51
  • 25
  • 4
  • 1

克隆类型

  • 53
  • 28
多克隆

标记

  • 44
  • 6
  • 5
  • 3
  • 3
  • 2
  • 1
  • 1
  • 1
  • 1
  • 1
  • 1
  • 1
  • 1
  • 1
  • 1
  • 1
  • 1
  • 1
  • 1
  • 1
  • 1
  • 1
  • 1
This PSCA antibody is un-conjugated

应用范围

  • 47
  • 19
  • 12
  • 12
  • 12
  • 6
  • 5
  • 5
  • 3
  • 3
  • 2
  • 2
  • 1
  • 1
  • 1
  • 1
  • 1
Western Blotting (WB), ELISA, Immunofluorescence (Cultured Cells) (IF (cc)), Immunofluorescence (Paraffin-embedded Sections) (IF (p)), Immunohistochemistry (Paraffin-embedded Sections) (IHC (p)), Immunohistochemistry (Frozen Sections) (IHC (fro))
  • 抗原表位

    • 14
    • 5
    • 4
    • 3
    • 3
    • 2
    • 2
    • 2
    • 2
    • 2
    • 2
    • 2
    • 2
    • 1
    • 1
    • 1
    • 1
    • 1
    AA 24-123

    交叉反应

    人, 大鼠

    纯化方法

    Purified by Protein A.

    免疫原

    KLH conjugated synthetic peptide derived from human PSCA

    亚型

    IgG
  • 应用备注

    WB 1:300-5000
    ELISA 1:500-1000
    IHC-P 1:200-400
    IHC-F 1:100-500
    IF(IHC-P) 1:50-200
    IF(IHC-F) 1:50-200
    IF(ICC) 1:50-200

    限制

    仅限研究用
  • 状态

    Liquid

    浓度

    1 μg/μL

    缓冲液

    0.01M TBS( pH 7.4) with 1 % BSA, 0.02 % Proclin300 and 50 % Glycerol.

    储存液

    ProClin

    注意事项

    This product contains ProClin: a POISONOUS AND HAZARDOUS SUBSTANCE, which should be handled by trained staff only.

    储存条件

    4 °C,-20 °C

    储存方法

    Shipped at 4°C. Store at -20°C for one year. Avoid repeated freeze/thaw cycles.

    有效期

    12 months
  • Liu, Jiang, Zhang: "Expression of PSCA, PIWIL1 and TBX2 and its correlation with HPV16 infection in formalin-fixed, paraffin-embedded cervical squamous cell carcinoma specimens." in: Archives of virology, Vol. 155, Issue 5, pp. 657-63, (2010) (PubMed).

  • 抗原

    PSCA (Prostate Stem Cell Antigen (PSCA))

    别名

    PSCA

    背景

    Synonyms: PRO232, Prostate stem cell antigen, PSCA, UNQ26/PRO232

    Background: May be involved in the regulation of cell proliferation. Has a cell-proliferation inhibition activity in vitro.

    基因ID

    8000

    UniProt

    O43653
You are here: