电话:
+86 (0512) 65829739
传真:
+86 (010) 6788 5057
电子邮件:
orders@antibodies-online.cn

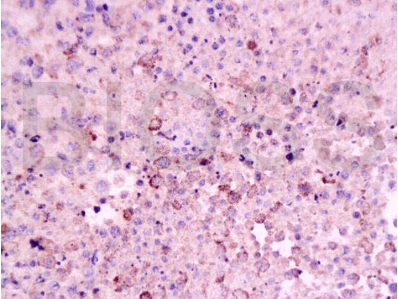
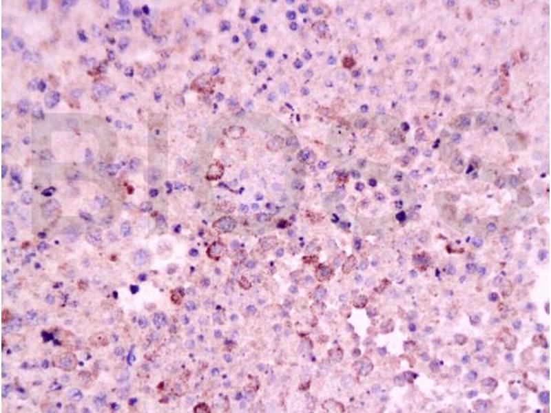
CD8 抗体 (AA 51-150)

Cited in 26+ publications. The 兔 多克隆 anti-CD8 antibody (ABIN671391) specifically detects CD8 in FACS, IHC (fro), WB, ELISA, IHC (p), IF (p) 和 IF (cc). The antibody is reactive with 人, 小鼠 和 大鼠 samples.
产品编号 ABIN671391
发货至: 中国
Contact our Customer Service for availability and price in your country. Contact Info

Our Local Distributor

中国
北京 101111
No. 88 KeChuang 6th Street
Beijing Economic Technological Development Area
Room 801-803
4A Biotech Co.,Ltd.
Tel +86 (0512) 65829739 传真 +86 (010) 6788 5057

Quick Overview for CD8 抗体 (AA 51-150) (ABIN671391)

Key Features

  • High quality CD8 Primary Antibody for the detection of CD8.
  • Reliable product with high standard validation data

抗原

See all CD8 抗体
CD8

适用

  • 199
  • 62
  • 25
  • 13
  • 12
  • 12
  • 12
  • 9
  • 9
  • 8
  • 6
  • 6
  • 5
  • 5
  • 5
  • 4
  • 4
  • 4
  • 3
人, 小鼠, 大鼠

宿主

  • 225
  • 47
  • 40
  • 4

克隆类型

  • 283
  • 27
  • 2
多克隆

标记

  • 99
  • 47
  • 35
  • 21
  • 14
  • 6
  • 6
  • 5
  • 5
  • 5
  • 4
  • 3
  • 3
  • 3
  • 2
  • 2
  • 2
  • 2
  • 2
  • 2
  • 2
  • 2
  • 2
  • 2
  • 2
  • 2
  • 1
  • 1
  • 1
  • 1
  • 1
  • 1
  • 1
  • 1
  • 1
  • 1
  • 1
  • 1
  • 1
  • 1
  • 1
  • 1
  • 1
  • 1
  • 1
  • 1
  • 1
  • 1
  • 1
  • 1
  • 1
This CD8 antibody is un-conjugated

应用范围

  • 273
  • 63
  • 58
  • 54
  • 54
  • 49
  • 22
  • 21
  • 17
  • 17
  • 15
  • 13
  • 7
  • 5
  • 5
  • 4
  • 3
  • 3
  • 2
  • 1
  • 1
  • 1
  • 1
Flow Cytometry (FACS), Immunohistochemistry (Frozen Sections) (IHC (fro)), Western Blotting (WB), ELISA, Immunohistochemistry (Paraffin-embedded Sections) (IHC (p)), Immunofluorescence (Paraffin-embedded Sections) (IF (p)), Immunofluorescence (Cultured Cells) (IF (cc))
  • 抗原表位

    • 23
    • 21
    • 16
    • 4
    • 2
    • 2
    • 1
    • 1
    • 1
    • 1
    • 1
    AA 51-150

    交叉反应

    人, 小鼠, 大鼠

    纯化方法

    Purified by Protein A.

    免疫原

    KLH conjugated synthetic peptide derived from mouse CD8

    亚型

    IgG

    Product Specific Information

    What can the CD8 Antibody ABIN671391 be used for?
    This polyclonal CD8 Antibody detects CD8. The CD8 Antibody has been validated for various applications and can be used for the detection of CD8 and derivatives by Flow Cytometry, Immunohistochemistry (Frozen Sections), Western Blotting, ELISA, Immunohistochemistry (Paraffin-embedded Sections), Immunofluorescence (Paraffin-embedded Sections), Immunofluorescence (Cultured Cells).
    What validation data is available for this CD8 Antibody?
    The Primary Antibody is referenced in 23 publications and is characterized by a proven, very high reliability. It has currently 7 product images that show its performance in a variety of applications. CD8 Antibody for the detection of CD8 and derivatives.
    What is the function of CD8?
    The CD8 antigen is a cell surface glycoprotein found on most cytotoxic T lymphocytes that mediates efficient cell-cell interactions within the immune system. The CD8 antigen acts as a coreceptor with the T-cell receptor on the T lymphocyte to recognize antigens displayed by an antigen presenting cell in the context of class I MHC molecules. The coreceptor functions as either a homodimer composed of two alpha chains or as a heterodimer composed of one alpha and one beta chain. Both alpha and beta chains share significant homology to immunoglobulin variable light chains. This gene encodes the CD8 alpha chain. Multiple transcript variants encoding different isoforms have been found for this gene. [provided by RefSeq, Nov 2011].
  • 应用备注

    WB 1:300-5000
    ELISA 1:500-1000
    FCM 1:20-100
    IHC-P 1:200-400
    IHC-F 1:100-500
    IF(IHC-P) 1:50-200
    IF(IHC-F) 1:50-200
    IF(ICC) 1:50-200

    限制

    仅限研究用
  • 状态

    Liquid

    浓度

    1 μg/μL

    缓冲液

    0.01M TBS( pH 7.4) with 1 % BSA, 0.02 % Proclin300 and 50 % Glycerol.

    储存液

    ProClin

    注意事项

    This product contains ProClin: a POISONOUS AND HAZARDOUS SUBSTANCE, which should be handled by trained staff only.

    储存条件

    4 °C,-20 °C

    储存方法

    Shipped at 4°C. Store at -20°C for one year. Avoid repeated freeze/thaw cycles.

    有效期

    12 months
  • Kovtun, Bergdolt, Hägele, Matthes, Lambris, Huber-Lang, Ignatius: "Complement receptors C5aR1 and C5aR2 act differentially during the early immune response after bone fracture but are similarly involved in bone repair." in: Scientific reports, Vol. 7, Issue 1, pp. 14061, (2019) (PubMed).

    Wang, Sun, Zhang, Hu, Sun, Sheng, Fu: "Black tea and D. candidum extracts play estrogenic activity via estrogen receptor α-dependent signaling pathway." in: American journal of translational research, Vol. 10, Issue 1, pp. 114-125, (2018) (PubMed).

    Rapp, Hachemi, Kemmler, Koenen, Tuckermann, Ignatius: "Induced global deletion of glucocorticoid receptor impairs fracture healing." in: FASEB journal : official publication of the Federation of American Societies for Experimental Biology, Vol. 32, Issue 4, pp. 2235-2245, (2018) (PubMed).

    Schmid, Bouazzaoui, Schmid, Birner, Schach, Maier, Holler, Endemann: "Acute Renal Graft-Versus-Host Disease in a Murine Model of Allogeneic Bone Marrow Transplantation." in: Cell transplantation, Vol. 26, Issue 8, pp. 1428-1440, (2018) (PubMed).

    Chuang, Jan, Chang, Lu: "The Chinese medicine JC-001 enhances the chemosensitivity of Lewis lung tumors to cisplatin by modulating the immune response." in: BMC complementary and alternative medicine, Vol. 17, Issue 1, pp. 210, (2017) (PubMed).

    Wang, Johnson, He, Rong, Wong, Nigam, Behfar, Xu, Christman: "Humanized mouse model for assessing the human immune response to xenogeneic and allogeneic decellularized biomaterials." in: Biomaterials, Vol. 129, pp. 98-110, (2017) (PubMed).

    Willett, Liu, Berke, Giannini, Schmid, Jia, Wang, Wang, Samson, Yu, Wang, Nawshad, Reinhardt: "Standardized Rat Model Testing Effects of Inflammation and Grafting on Extraction Healing." in: Journal of periodontology, Vol. 88, Issue 8, pp. 799-807, (2017) (PubMed).

    Haffner-Luntzer, Fischer, Prystaz, Liedert, Ignatius: "The inflammatory phase of fracture healing is influenced by oestrogen status in mice." in: European journal of medical research, Vol. 22, Issue 1, pp. 23, (2017) (PubMed).

    Kroner, Kovtun, Kemmler, Messmann, Strauss, Seitz, Schinke, Amling, Kotrba, Froebel, Dudeck, Dudeck, Ignatius: "Mast Cells Are Critical Regulators of Bone Fracture-Induced Inflammation and Osteoclast Formation and Activity." in: Journal of bone and mineral research : the official journal of the American Society for Bone and Mineral Research, Vol. 32, Issue 12, pp. 2431-2444, (2017) (PubMed).

    Tanaka, Goshima, Esaki, Sato, Murata, Nishiyama, Watanabe, Kimura: "The efficacy of combination therapy with oncolytic herpes simplex virus HF10 and dacarbazine in a mouse melanoma model." in: American journal of cancer research, Vol. 7, Issue 8, pp. 1693-1703, (2017) (PubMed).

    Prystaz, Kaiser, Kovtun, Haffner-Luntzer, Fischer, Rapp, Liedert, Strauss, Waetzig, Rose-John, Ignatius: "Distinct Effects of IL-6 Classic and Trans-Signaling in Bone Fracture Healing." in: The American journal of pathology, Vol. 188, Issue 2, pp. 474-490, (2017) (PubMed).

    Jaime-Ramirez, Yu, Caserta, Yoo, Zhang, Lee, Hofmeister, Lee, Kumar, Pan, Kumar, Baiocchi, Teknos, Pichiorri, Kaur, Old: "Reolysin and Histone Deacetylase Inhibition in the Treatment of Head and Neck Squamous Cell Carcinoma." in: Molecular therapy oncolytics, Vol. 5, pp. 87-96, (2017) (PubMed).

    Ashraf, Schwelberger, Brendel, Feurle, Andrassy, Kotsch, Regele, Pratschke, Maier, Aigner: "Exogenous Lipocalin 2 Ameliorates Acute Rejection in a Mouse Model of Renal Transplantation." in: American journal of transplantation : official journal of the American Society of Transplantation and the American Society of Transplant Surgeons, Vol. 16, Issue 3, pp. 808-20, (2016) (PubMed).

    Kovtun, Bergdolt, Wiegner, Radermacher, Huber-Lang, Ignatius: "The crucial role of neutrophil granulocytes in bone fracture healing." in: European cells & materials, Vol. 32, pp. 152-62, (2016) (PubMed).

    Li, Kobayashi, Mona, Satomi, Okano, Inoue, Tani, Takahashi: "Immunogenic FEAT protein circulates in the bloodstream of cancer patients." in: Journal of translational medicine, Vol. 14, Issue 1, pp. 275, (2016) (PubMed).

    Ju, Xing, Yang, Zheng, Jia, Zhang, Ren: "An effective cytokine adjuvant vaccine induces autologous T-cell response against colon cancer in an animal model." in: BMC immunology, Vol. 17, Issue 1, pp. 31, (2016) (PubMed).

    Wang, Quan, Yan, Morales, Wetsel: "Targeted Disruption of the β2-Microglobulin Gene Minimizes the Immunogenicity of Human Embryonic Stem Cells." in: Stem cells translational medicine, Vol. 4, Issue 10, pp. 1234-45, (2015) (PubMed).

  • 抗原

    CD8

    别名

    CD8

    背景

    Synonyms: Ly-2, Ly-B, Ly-35, Lyt-2, BB154331, T-cell surface glycoprotein CD8 alpha chain, T-cell surface glycoprotein Lyt-2, CD8a, Lyt2

    Background: Identifies cytotoxic/suppressor T-cells that interact with MHC class I bearing targets. CD8 is thought to play a role in the process of T-cell mediated killing. CD8 alpha chains binds to class I MHC molecules alpha-3 domains.

    基因ID

    12525

    UniProt

    P01731
You are here: