电话:
+86 (0512) 65829739
传真:
+86 (010) 6788 5057
电子邮件:
orders@antibodies-online.cn

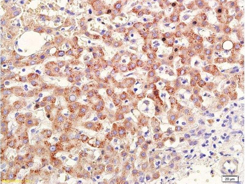
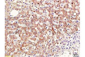
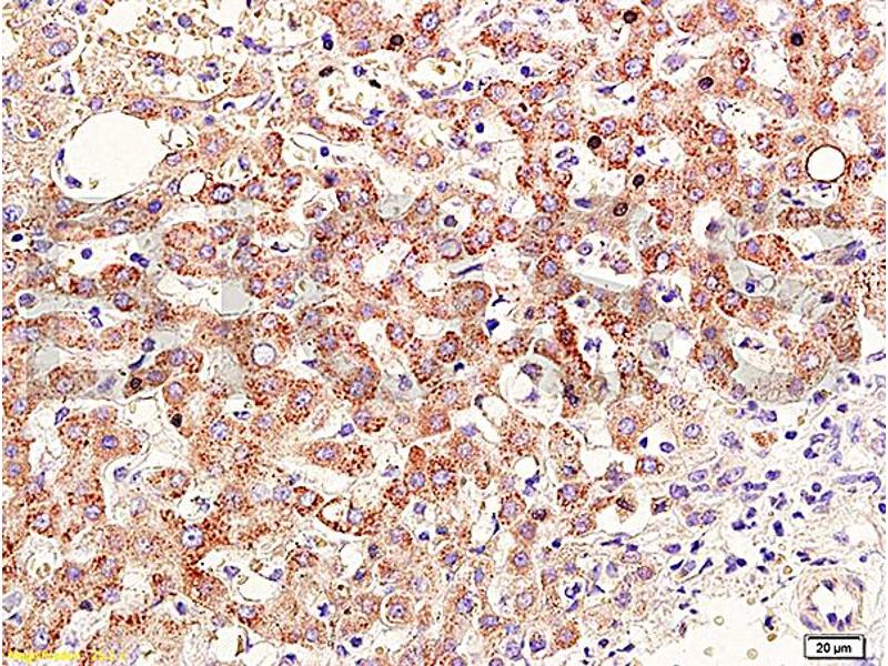
Retinoic Acid Receptor beta 抗体 (AA 155-250)

The 兔 多克隆 anti-Retinoic Acid Receptor beta antibody (ABIN669516) specifically detects Retinoic Acid Receptor beta in WB, ELISA, IHC (p), IF (cc), IF (p) 和 IHC (fro). The antibody is reactive with 人 和 小鼠 samples.
产品编号 ABIN669516
发货至: 中国
Contact our Customer Service for availability and price in your country. Contact Info

Our Local Distributor

中国
北京 101111
No. 88 KeChuang 6th Street
Beijing Economic Technological Development Area
Room 801-803
4A Biotech Co.,Ltd.
Tel +86 (0512) 65829739 传真 +86 (010) 6788 5057

Quick Overview for Retinoic Acid Receptor beta 抗体 (AA 155-250) (ABIN669516)

抗原

See all Retinoic Acid Receptor beta (RARB) 抗体
Retinoic Acid Receptor beta (RARB) (Retinoic Acid Receptor, beta (RARB))

适用

  • 84
  • 40
  • 7
  • 6
  • 5
  • 5
  • 4
  • 3
  • 3
  • 3
  • 2
人, 小鼠

宿主

  • 75
  • 9

克隆类型

  • 65
  • 19
多克隆

标记

  • 41
  • 5
  • 5
  • 4
  • 2
  • 2
  • 2
  • 2
  • 2
  • 2
  • 2
  • 2
  • 1
  • 1
  • 1
  • 1
  • 1
  • 1
  • 1
  • 1
  • 1
  • 1
  • 1
  • 1
  • 1
This Retinoic Acid Receptor beta antibody is un-conjugated

应用范围

  • 70
  • 30
  • 25
  • 20
  • 16
  • 12
  • 12
  • 8
  • 3
  • 2
  • 1
  • 1
  • 1
Western Blotting (WB), ELISA, Immunohistochemistry (Paraffin-embedded Sections) (IHC (p)), Immunofluorescence (Cultured Cells) (IF (cc)), Immunofluorescence (Paraffin-embedded Sections) (IF (p)), Immunohistochemistry (Frozen Sections) (IHC (fro))
  • 抗原表位

    • 14
    • 8
    • 8
    • 7
    • 6
    • 5
    • 4
    • 2
    • 2
    • 1
    • 1
    • 1
    • 1
    • 1
    • 1
    • 1
    • 1
    • 1
    • 1
    AA 155-250

    交叉反应

    人, 小鼠

    预测反应

    Rat,Dog,Cow,Pig,Chicken

    纯化方法

    Purified by Protein A.

    免疫原

    KLH conjugated synthetic peptide derived from mouse RAR Beta

    亚型

    IgG
  • 应用备注

    WB 1:300-5000
    ELISA 1:500-1000
    IHC-P 1:200-400
    IHC-F 1:100-500
    IF(IHC-P) 1:50-200
    IF(IHC-F) 1:50-200
    IF(ICC) 1:50-200

    限制

    仅限研究用
  • 状态

    Liquid

    浓度

    1 μg/μL

    缓冲液

    0.01M TBS( pH 7.4) with 1 % BSA, 0.02 % Proclin300 and 50 % Glycerol.

    储存液

    ProClin

    注意事项

    This product contains ProClin: a POISONOUS AND HAZARDOUS SUBSTANCE, which should be handled by trained staff only.

    储存条件

    4 °C,-20 °C

    储存方法

    Shipped at 4°C. Store at -20°C for one year. Avoid repeated freeze/thaw cycles.

    有效期

    12 months
  • 抗原

    Retinoic Acid Receptor beta (RARB) (Retinoic Acid Receptor, beta (RARB))

    别名

    RAR Beta

    背景

    Synonyms: HAP, RRB2, NR1B2, MCOPS12, Retinoic acid receptor beta, RAR-beta, HBV-activated protein, Nuclear receptor subfamily 1 group B member 2, RAR-epsilon, RARB

    Background: Receptor for retinoic acid. Retinoic acid receptors bind as heterodimers to their target response elements in response to their ligands, all-trans or 9-cis retinoic acid, and regulate gene expression in various biological processes. The RXR/RAR heterodimers bind to the retinoic acid response elements (RARE) composed of tandem 5'-AGGTCA-3' sites known as DR1-DR5. In the absence or presence of hormone ligand, acts mainly as an activator of gene expression due to weak binding to corepressors. In concert with RARG, required for skeletal growth, matrix homeostasis and growth plate function.

    基因ID

    5915

    UniProt

    P10826

    途径

    Nuclear Receptor Transcription Pathway, Retinoic Acid Receptor Signaling Pathway, Steroid Hormone Mediated Signaling Pathway
You are here: