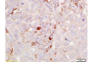
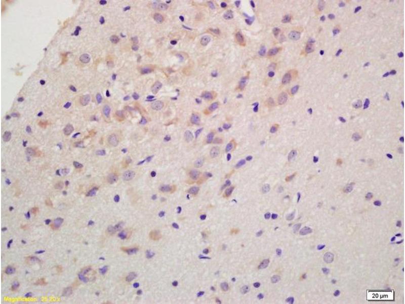
RGS2 抗体 (AA 116-211)
Our Local Distributor
北京 101111
Quick Overview for RGS2 抗体 (AA 116-211) (ABIN669291)
抗原
See all RGS2 抗体适用
宿主
克隆类型
标记
应用范围
-
-
抗原表位
- AA 116-211
-
交叉反应
- 人, 大鼠
-
预测反应
- Mouse,Cow,Sheep,Pig,Horse,Chicken
-
纯化方法
- Purified by Protein A.
-
免疫原
- KLH conjugated synthetic peptide derived from human RGS2
-
亚型
- IgG
-
-
-
-
应用备注
-
ELISA 1:500-1000
IHC-P 1:200-400
IHC-F 1:100-500
IF(IHC-P) 1:50-200
IF(IHC-F) 1:50-200
IF(ICC) 1:50-200 -
限制
- 仅限研究用
-
-
-
状态
- Liquid
-
浓度
- 1 μg/μL
-
缓冲液
- 0.01M TBS( pH 7.4) with 1 % BSA, 0.02 % Proclin300 and 50 % Glycerol.
-
储存液
- ProClin
-
注意事项
- This product contains ProClin: a POISONOUS AND HAZARDOUS SUBSTANCE, which should be handled by trained staff only.
-
储存条件
- 4 °C,-20 °C
-
储存方法
- Shipped at 4°C. Store at -20°C for one year. Avoid repeated freeze/thaw cycles.
-
有效期
- 12 months
-
-
- RGS2 (Regulator of G-Protein Signaling 2 (RGS2))
-
别名
- RGS2
-
背景
-
Synonyms: GS8, Regulator of G-protein signaling 2, RGS2, Cell growth-inhibiting gene 31 protein, G/G1 switch regulatory protein 8, GIG31
Background: Inhibits signal transduction by increasing the GTPase activity of G protein alpha subunits thereby driving them into their inactive GDP-bound form. May play a role in leukemogenesis. Plays a role in negative feedback control pathway for adenylyl cyclase signaling. Binds EIF2B5 and blocks its activity, thereby inhibiting the translation of mRNA into protein.
-
基因ID
- 5997
-
UniProt
- P41220
-
途径
- Myometrial Relaxation and Contraction, Regulation of G-Protein Coupled Receptor Protein Signaling, Brown Fat Cell Differentiation
抗原
-