电话:
+86 (0512) 65829739
传真:
+86 (010) 6788 5057
电子邮件:
orders@antibodies-online.cn

SMN1 / SMN2 抗体

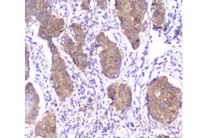
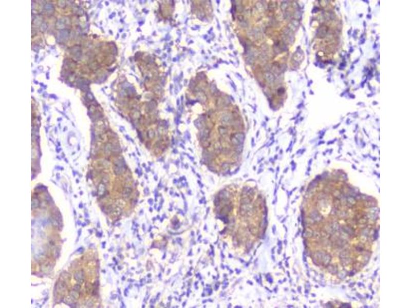
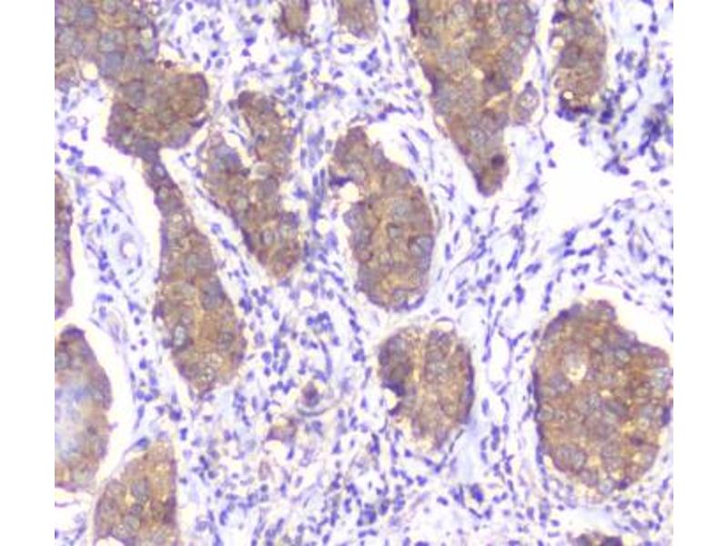
The 小鼠 单克隆 anti-SMN1 / SMN2 antibody (Clone 2B10) (ABIN6654200) specifically detects SMN1 / SMN2 in WB, ICC 和 IHC (p). The antibody is reactive with 人 samples.
产品编号 ABIN6654200
发货至: 中国
Contact our Customer Service for availability and price in your country. Contact Info

Our Local Distributor

中国
北京 101111
No. 88 KeChuang 6th Street
Beijing Economic Technological Development Area
Room 801-803
4A Biotech Co.,Ltd.
Tel +86 (0512) 65829739 传真 +86 (010) 6788 5057

Quick Overview for SMN1 / SMN2 抗体 (ABIN6654200)

抗原

SMN1 / SMN2

适用

宿主

  • 3
  • 1
  • 1
小鼠

克隆类型

  • 3
  • 2
单克隆

标记

  • 5
非结合性

应用范围

  • 5
  • 1
  • 1
  • 1
  • 1
Western Blotting (WB), Immunocytochemistry (ICC), Immunohistochemistry (Paraffin-embedded Sections) (IHC (p))

克隆位点

2B10
  • 纯化方法

    Protein G affinity

    免疫原

    Amino acids RRGTGQSDDSDIWDDTALIKAYDKAVASFKH were used as the immunogen for the SMN1/2 antibody.

    亚型

    IgG1
  • 应用备注

    Optimal dilution of the SMN1/2 antibody should be determined by the researcher.\. Western blot: 0.5-1 μg/mL,IHC (FFPE): 0.5-1 μg/mL,ICC: 0.5-1 μg/mL

    限制

    仅限研究用
  • 缓冲液

    0.5 mg/mL if reconstituted with 0.2 mL sterile DI water

    储存条件

    -20 °C

    储存方法

    After reconstitution, the SMN1/2 antibody can be stored for up to one month at 4°C. For long-term, aliquot and store at -20°C. Avoid repeated freezing and thawing.
  • 抗原

    SMN1 / SMN2

    别名

    SMN1/2

    背景

    This gene is part of a 500 kb inverted duplication on chromosome 5q13. This duplicated region contains at least four genes and repetitive elements which make it prone to rearrangements and deletions. The repetitiveness and complexity of the sequence have also caused difficulty in determining the organization of this genomic region. The telomeric and centromeric copies of this gene are nearly identical and encode the same protein. However, mutations in this gene, the telomeric copy, are associated with spinal muscular atrophy, mutations in the centromeric copy do not lead to disease. The centromeric copy may be a modifier of disease caused by mutation in the telomeric copy. The critical sequence difference between the two genes is a single nucleotide in exon 7, which is thought to be an exon splice enhancer. Note that the nine exons of both the telomeric and centromeric copies are designated historically as exon 1, 2a, 2b, and 3-8. It is thought that gene conversion events may involve the two genes, leading to varying copy numbers of each gene. The protein encoded by this gene localizes to both the cytoplasm and the nucleus. Within the nucleus, the protein localizes to subnuclear bodies called gems which are found near coiled bodies containing high concentrations of small ribonucleoproteins (snRNPs). This protein forms heteromeric complexes with proteins such as SIP1 and GEMIN4, and also interacts with several proteins known to be involved in the biogenesis of snRNPs, such as hnRNP U protein and the small nucleolar RNA binding protein. Multiple transcript variants encoding distinct isoforms have been described.

    UniProt

    Q16637
You are here: