电话:
+86 (0512) 65829739
传真:
+86 (010) 6788 5057
电子邮件:
orders@antibodies-online.cn

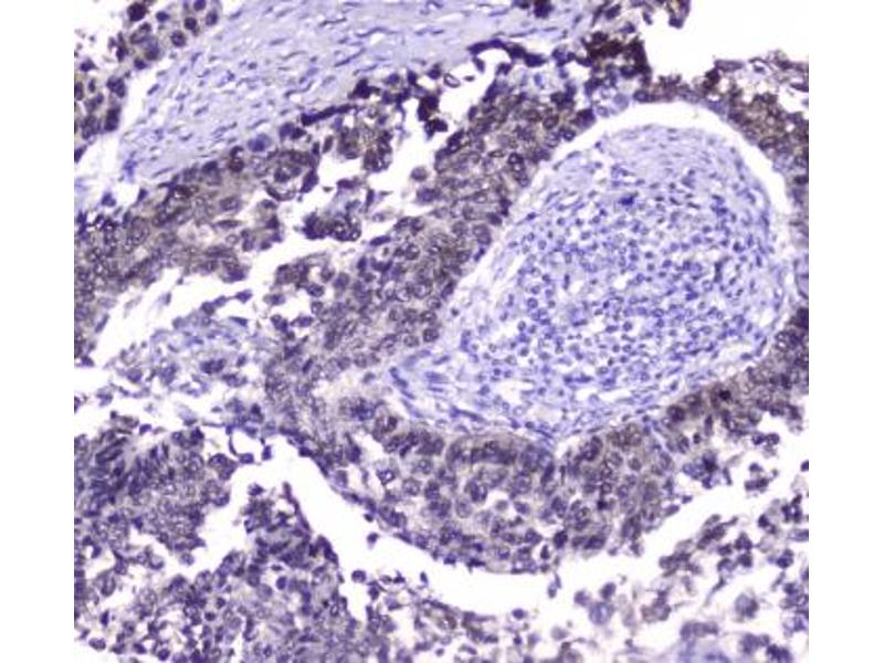
HSP70 1A/ 1B 抗体

The 小鼠 单克隆 anti-HSP70 1A/ 1B antibody is suitable to detect HSP70 1A/ 1B in samples from 人. It has been validated for WB, FACS 和 IHC (p).
产品编号 ABIN6654061
发货至: 中国
Contact our Customer Service for availability and price in your country. Contact Info

Our Local Distributor

中国
北京 101111
No. 88 KeChuang 6th Street
Beijing Economic Technological Development Area
Room 801-803
4A Biotech Co.,Ltd.
Tel +86 (0512) 65829739 传真 +86 (010) 6788 5057

Quick Overview for HSP70 1A/ 1B 抗体 (ABIN6654061)

抗原

HSP70 1A/ 1B

适用

  • 17
  • 16
  • 16
  • 16
  • 16

宿主

  • 17
小鼠

克隆类型

  • 17
单克隆

标记

  • 2
  • 1
  • 1
  • 1
  • 1
  • 1
  • 1
  • 1
  • 1
  • 1
  • 1
  • 1
  • 1
  • 1
  • 1
  • 1
非结合性

应用范围

  • 17
  • 14
  • 3
  • 3
Western Blotting (WB), Flow Cytometry (FACS), Immunohistochemistry (Paraffin-embedded Sections) (IHC (p))

克隆位点

3H5
  • 纯化方法

    Protein G affinity

    免疫原

    Amino acids KGKISEADKKKVLDKCQEVISWLDANTLAEKDEFEHKR were used as the immunogen for the HSP70 antibody. This sequence is common to HSPA1A and HSPA1B.

    亚型

    IgG1
  • 应用备注

    Optimal dilution of the HSP70 antibody should be determined by the researcher.\. Western blot: 0.5-1 μg/mL,Immunohistochemistry (FFPE): 1-2 μg/mL,Flow Cytometry: 1-3 μg/10^6 cells

    限制

    仅限研究用
  • 缓冲液

    0.5 mg/mL if reconstituted with 0.2 mL sterile DI water

    储存条件

    -20 °C

    储存方法

    After reconstitution, the HSP70 antibody can be stored for up to one month at 4°C. For long-term, aliquot and store at -20°C. Avoid repeated freezing and thawing.
  • 抗原

    HSP70 1A/ 1B

    别名

    HSP70 / HSPA1A / HSPA1B

    背景

    HSPA1 (Heat Shock 70 kDa Protein 1A) also known as HSP70-1, HSPA1A, HSP70-1A, HSP72 or HSP70I, is a protein that in humans is encoded by the HSPA1A gene. This intronless gene encodes a 70 kDa heat shock protein which is a member of the heat shock protein 70 family. The HSPA1A gene encodes a predicted 641-amino acid protein. The HSPA1 gene is mapped on 6p21.33. Shimizu et al. (1999) found that peripheral blood mononuclear cells of 18 major depression patients expressed a short HSPA1A transcript that utilized exon 1 rather than exon 2, which is found in the more common HSPA1A transcript. No protein was associated with expression of this short HSPA1A mRNA, possibly due to lack of a TATA box or loss of internal ribosome binding sites. Treatment with BGP-15, a pharmacologic inducer of Hsp72 that can protect against obesity-induced insulin resistance, improved muscular architecture, strength, and contractile function in severely affected diaphragm muscles in mdx dystrophic mice.

    UniProt

    P0DMV8
You are here: