电话:
+86 (0512) 65829739
传真:
+86 (010) 6788 5057
电子邮件:
orders@antibodies-online.cn

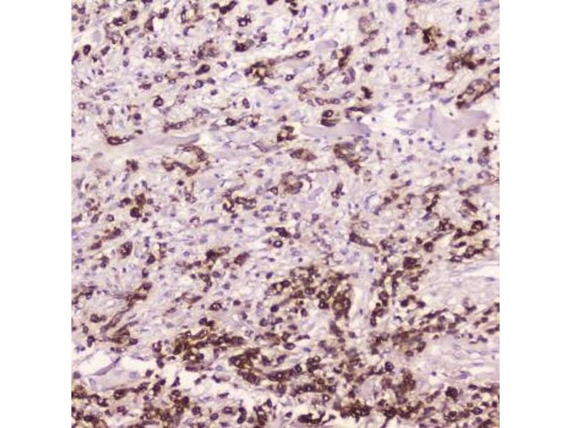
Cathepsin E 抗体 (AA 150-393)

This 兔 多克隆 antibody specifically detects Cathepsin E in WB, ELISA 和 IHC (p). It exhibits reactivity toward 人, 小鼠 和 大鼠.
产品编号 ABIN6654030
发货至: 中国
Contact our Customer Service for availability and price in your country. Contact Info

Our Local Distributor

中国
北京 101111
No. 88 KeChuang 6th Street
Beijing Economic Technological Development Area
Room 801-803
4A Biotech Co.,Ltd.
Tel +86 (0512) 65829739 传真 +86 (010) 6788 5057

Quick Overview for Cathepsin E 抗体 (AA 150-393) (ABIN6654030)

抗原

See all Cathepsin E (CTSE) 抗体
Cathepsin E (CTSE)

适用

  • 41
  • 19
  • 8
  • 3
  • 2
  • 1
人, 小鼠, 大鼠

宿主

  • 36
  • 5
  • 1

克隆类型

  • 38
  • 4
多克隆

标记

  • 26
  • 3
  • 3
  • 1
  • 1
  • 1
  • 1
  • 1
  • 1
  • 1
  • 1
  • 1
  • 1
This Cathepsin E antibody is un-conjugated

应用范围

  • 23
  • 14
  • 9
  • 6
  • 6
  • 6
  • 3
  • 3
  • 3
  • 2
  • 1
Western Blotting (WB), ELISA, Immunohistochemistry (Paraffin-embedded Sections) (IHC (p))
  • 抗原表位

    • 6
    • 5
    • 3
    • 3
    • 2
    • 1
    • 1
    • 1
    • 1
    • 1
    • 1
    • 1
    • 1
    • 1
    • 1
    • 1
    AA 150-393

    纯化方法

    Antigen affinity purified

    免疫原

    Human Cathepsin E recombinant protein (amino acids A150-R393) was used as the immunogen for the Cathepsin E antibody.

    亚型

    IgG
  • 应用备注

    Optimal dilution of the Cathepsin E antibody should be determined by the researcher.\. Western blot: 0.5-1 μg/mL,Immunohistochemistry (FFPE): 1-2 μg/mL,ELISA (capture): 1-5 μg/mL

    限制

    仅限研究用
  • 缓冲液

    0.5 mg/mL if reconstituted with 0.2 mL sterile DI water

    储存条件

    -20 °C

    储存方法

    After reconstitution, the Cathepsin E antibody can be stored for up to one month at 4°C. For long-term, aliquot and store at -20°C. Avoid repeated freezing and thawing.
  • 抗原

    Cathepsin E (CTSE)

    别名

    Cathepsin E / CTSE

    背景

    Cathepsin E is an enzyme that in humans is encoded by the CTSE gene. This gene encodes a member of the A1 family of peptidases. Alternative splicing of this gene results in multiple transcript variants. At least one of these variants encodes a preproprotein that is proteolytically processed to generate the mature enzyme. This enzyme, an aspartic endopeptidase, may be involved in antigen processing and the maturation of secretory proteins. Elevated expression of this gene has been observed in neurodegeneration.

    UniProt

    P14091
You are here: