电话:
+86 (0512) 65829739
传真:
+86 (010) 6788 5057
电子邮件:
orders@antibodies-online.cn

TGFB2 抗体

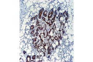
The 小鼠 单克隆 anti-TGFB2 antibody (Clone 220ct16-4-3-1) (ABIN659106) specifically detects TGFB2 in WB, IHC (p) 和 IF. The antibody is reactive with 人 samples.
产品编号 ABIN659106
发货至: 中国
Contact our Customer Service for availability and price in your country. Contact Info

Our Local Distributor

中国
北京 101111
No. 88 KeChuang 6th Street
Beijing Economic Technological Development Area
Room 801-803
4A Biotech Co.,Ltd.
Tel +86 (0512) 65829739 传真 +86 (010) 6788 5057

Quick Overview for TGFB2 抗体 (ABIN659106)

抗原

See all TGFB2 抗体
TGFB2 (Transforming Growth Factor, beta 2 (TGFB2))

适用

  • 75
  • 31
  • 15
  • 6
  • 5
  • 3
  • 2
  • 2
  • 2
  • 2
  • 1
  • 1
  • 1
  • 1

宿主

  • 62
  • 24
  • 1
  • 1
小鼠

克隆类型

  • 63
  • 24
单克隆

标记

  • 53
  • 6
  • 3
  • 3
  • 3
  • 2
  • 1
  • 1
  • 1
  • 1
  • 1
  • 1
  • 1
  • 1
  • 1
  • 1
  • 1
  • 1
  • 1
  • 1
  • 1
  • 1
  • 1
  • 1
This TGFB2 antibody is un-conjugated

应用范围

  • 71
  • 42
  • 30
  • 17
  • 14
  • 13
  • 13
  • 7
  • 6
  • 4
  • 4
  • 2
  • 1
  • 1
Western Blotting (WB), Immunohistochemistry (Paraffin-embedded Sections) (IHC (p)), Immunofluorescence (IF)

克隆位点

220ct16-4-3-1
  • 纯化方法

    This antibody is purified through a protein G column, followed by dialysis against PBS.

    免疫原

    This TGFB2 monoclonal antibody is generated from mouse immunized with TGFB2 recombinant protein.

    亚型

    IgG1 kappa
  • 应用备注

    IF: 1:10~50. WB: 1:100~1000. WB: 1:500-1:1000. IHC-P: 1:10~50. IHC-P: 1:10~50. IHC: 1:50

    限制

    仅限研究用
  • 状态

    Liquid

    缓冲液

    Purified monoclonal antibody supplied in PBS with 0.09 % (W/V) sodium azide.

    储存液

    Sodium azide

    注意事项

    This product contains Sodium azide: a POISONOUS AND HAZARDOUS SUBSTANCE which should be handled by trained staff only.

    储存条件

    4 °C,-20 °C

    储存方法

    Maintain refrigerated at 2-8 °C for up to 6 months. For long term storage store at -20 °C in small aliquots to prevent freeze-thaw cycles.

    有效期

    6 months
  • 抗原

    TGFB2 (Transforming Growth Factor, beta 2 (TGFB2))

    别名

    TGFB2

    背景

    This gene encodes a member of the transforming growth factor beta (TGFB) family of cytokines, which are multifunctional peptides that regulate proliferation, differentiation, adhesion, migration, and other functions in many cell types by transducing their signal through combinations of transmembrane type I and type II receptors (TGFBR1 and TGFBR2) and their downstream effectors, the SMAD proteins. Disruption of the TGFB/SMAD pathway has been implicated in a variety of human cancers. The encoded protein is secreted and has suppressive effects of interleukin-2 dependent T-cell growth. Translocation t(1,7)(q41,p21) between this gene and HDAC9 is associated with Peters' anomaly, a congenital defect of the anterior chamber of the eye. The knockout mice lacking this gene show perinatal mortality and a wide range of developmental, including cardiac, defects. Alternatively spliced transcript variants encoding different isoforms have been identified.

    分子量

    47748

    基因ID

    7042

    NCBI登录号

    NP_001129071, NP_003229

    UniProt

    P61812

    途径

    Cell-Cell Junction Organization, Production of Molecular Mediator of Immune Response, Protein targeting to Nucleus
You are here: