电话:
+86 (0512) 65829739
传真:
+86 (010) 6788 5057
电子邮件:
orders@antibodies-online.cn

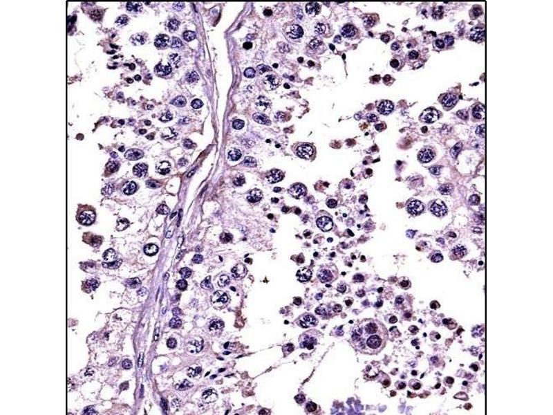
RLN1,RLN2 抗体 (C-Term)

The 兔 多克隆 anti-RLN1,RLN2 antibody is suitable to detect RLN1,RLN2 in samples from 人. It has been validated for WB 和 IHC (p).
产品编号 ABIN657785
发货至: 中国
Contact our Customer Service for availability and price in your country. Contact Info

Our Local Distributor

中国
北京 101111
No. 88 KeChuang 6th Street
Beijing Economic Technological Development Area
Room 801-803
4A Biotech Co.,Ltd.
Tel +86 (0512) 65829739 传真 +86 (010) 6788 5057

Quick Overview for RLN1,RLN2 抗体 (C-Term) (ABIN657785)

抗原

RLN1,RLN2

适用

宿主

  • 9
  • 2

克隆类型

  • 9
  • 2
多克隆

标记

  • 5
  • 2
  • 1
  • 1
  • 1
  • 1
This RLN1,RLN2 antibody is un-conjugated

应用范围

  • 10
  • 9
  • 9
  • 1
  • 1
Western Blotting (WB), Immunohistochemistry (Paraffin-embedded Sections) (IHC (p))

克隆位点

RB33916
  • 抗原表位

    • 7
    • 2
    • 2
    AA 136-165, C-Term

    纯化方法

    This antibody is purified through a protein A column, followed by peptide affinity purification.

    免疫原

    This RLN1/RLN2 antibody is generated from rabbits immunized with a KLH conjugated synthetic peptide between 136-165 amino acids from the C-terminal region of human RLN1/RLN2.

    亚型

    Ig Fraction
  • 应用备注

    WB: 1:1000. IHC-P: 1:10~50

    限制

    仅限研究用
  • 状态

    Liquid

    缓冲液

    Purified polyclonal antibody supplied in PBS with 0.09 % (W/V) sodium azide.

    储存液

    Sodium azide

    注意事项

    This product contains Sodium azide: a POISONOUS AND HAZARDOUS SUBSTANCE which should be handled by trained staff only.

    储存条件

    4 °C,-20 °C

    储存方法

    RLN1/RLN2 Antibody (C-term) can be refrigerated at 2-8 °C for up to 6 months. For long term storage, place the at -20 °C.

    有效期

    6 months
  • 抗原

    RLN1,RLN2

    别名

    RLN1/RLN2

    背景

    Relaxins are known endocrine and autocrine/paracrine hormones, belonging to the insulin gene superfamily. In the human there are three non-allelic relaxin genes, RLN1, RLN2 and RLN3. RLN1 and RLN2 share high sequence homology. This encoded protein is synthesized as a single-chain polypeptide but the active form consists of an A chain and a B chain linked by disulfide bonds, however, their exact cleavage sites have not been described. Relaxin is produced by the ovary, and targets the mammalian reproductive system to ripen the cervix, elongate the pubic symphysis and inhibit uterine contraction. It may have additional roles in enhancing sperm motility, regulating blood pressure, controlling heart rate and releasing oxytocin and vasopressin. This gene has multiple polyadenylation sites. There are multiple alternatively spliced transcript variants described for this gene but their full length nature is not known yet. [provided by RefSeq].

    分子量

    21146

    基因ID

    6013

    NCBI登录号

    NP_008842

    UniProt

    P04808
You are here: