电话:
+86 (0512) 65829739
传真:
+86 (010) 6788 5057
电子邮件:
orders@antibodies-online.cn

RHBDF2 抗体 (N-Term)

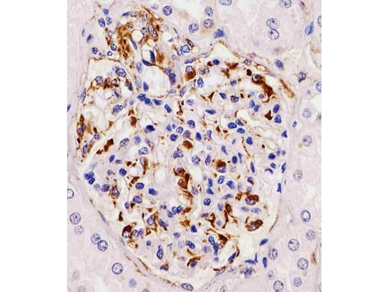
This independently validated 兔 多克隆 antibody specifically detects RHBDF2 in WB 和 IHC (p). It exhibits reactivity toward 人 和 小鼠.
产品编号 ABIN657511
发货至: 中国
Contact our Customer Service for availability and price in your country. Contact Info

Our Local Distributor

中国
北京 101111
No. 88 KeChuang 6th Street
Beijing Economic Technological Development Area
Room 801-803
4A Biotech Co.,Ltd.
Tel +86 (0512) 65829739 传真 +86 (010) 6788 5057

Quick Overview for RHBDF2 抗体 (N-Term) (ABIN657511)

抗原

See all RHBDF2 抗体
RHBDF2 (Rhomboid 5 Homolog 2 (RHBDF2))

适用

人, 小鼠

宿主

  • 18

克隆类型

  • 18
多克隆

标记

  • 9
  • 3
  • 2
  • 2
  • 1
  • 1
This RHBDF2 antibody is un-conjugated

应用范围

  • 13
  • 13
  • 12
  • 1
  • 1
  • 1
  • 1
Western Blotting (WB), Immunohistochemistry (Paraffin-embedded Sections) (IHC (p))

克隆位点

RB32834
  • 抗原表位

    • 8
    • 5
    • 5
    • 2
    • 2
    • 1
    AA 80-109, N-Term

    纯化方法

    This antibody is purified through a protein A column, followed by peptide affinity purification.

    免疫原

    This RHBDF2 antibody is generated from rabbits immunized with a KLH conjugated synthetic peptide between 80-109 amino acids from the N-terminal region of human RHBDF2.

    亚型

    IgG
  • 应用备注

    WB: 1:2000. WB: 1:2000. WB: 1:1000. IHC-P: 1:25. IHC-P: 1:25

    限制

    仅限研究用
  • 生效 #104634 (Western Blotting)
    '独立验证'标志
    by
    Prof. Ludwig
    No.
    #104634
    日期
    2026.01.19
    抗原
    RHBDF2
    Lot Number
    SA180724YE
    Method validated
    Western Blotting
    Positive Control

    Overexpressed human and murine iRhom2.

    Negative Control

    HEK293 iRhom1/iRhom2 double knockout.

    Notes

    The iRhom2 antibody ABIN2846535 works in WB at a 1:1000 dilution to detect overexpressed human iRhom2. Non-specific bands are also detected.

    '独立验证'标志
    Validation Images
    Full Methods
    Primary Antibody
    ABIN2846535
    Secondary Antibody
    Full Protocol
    • Lyse HEK293 cells with lysis buffer (50 mM Tris, 137 mM NaCl, 2 mM EDTA, and 10 mM 1,10-Phenanthroline, adjusted to pH 7.5 and supplemented with 1% Triton X-100 (Sigma-Aldrich) and cOmplete™ protease inhibitor cocktail (Sigma-Aldrich)) for 40 min at 4°C.
    • Clear lysates by centrifugation at 20,000 rpm for 20 min at 4°C.
    • Denature samples with reducing Lämmli buffer (3% (w/v) SDS, 16% glycerol, 8% 2-mercaptoethanol, 0.01% (w/v) bromophenol blue, and 0.1 M Tris-HCl at pH 6.8) for 20 min at 60°C.
    • Separate protein samples on a denaturing 12% SDS-PAGE gel alongside a PageRuler™ Plus Prestained Protein Ladder (Thermo Fisher, 26619).
    • Wet the Immobilon®-FL PVDF membrane (0.45 µm pore size) (Millipore, IPFL00010) in methanol for 30 sec.
    • Wash membrane once with Milli-Q® water for 1 min.
    • Electro-transfer proteins onto Immobilon®-FL PVDF membrane (0.45 µm pore size) (Millipore, IPFL00010) at 100 V for 2 h, cooled on ice.
    • Air dry the blot.
    • Wet the Immobilon®-FL PVDF membrane again in methanol for 30 sec.
    • Wash membrane once with Milli-Q® water for 1 min.
    • Block membrane with TBST (TBS + 0.1% Tween-20; TBS = 50 mM Tris, 150 mM NaCl, pH 7.4) containing 5% non-fat dry milk for 20 min at room temperature.
    • Wash membrane 3× for 10 min with TBST.
    • Incubate membrane with primary rabbit anti-iRhom2 antibody (antibodies-online, ABIN2846535, lot SA180724YE) diluted 1:1,000 in TBST containing 1% BSA overnight at 4°C.
    • Wash membrane 3× for 10 min with TBST.
    • Incubate membrane with secondary donkey anti-rabbit IgG (H+L), highly cross-adsorbed, Alexa Fluor™ Plus 800 (Thermo Fisher, A32808) diluted 1:100,000 in TBST containing 1% BSA for 1 h at room temperature.
    • Wash membrane 1× for 10 min with TBST and 2× for 10 min with TBS.
    • Detect stained proteins via fluorescence using the Odyssey 9120 imager system (LI-COR).
    Experimental Notes
    • Human or murine iRhom2 (lanes 3 and 4) were overexpressed using the pMOWS vector via stable transduction with retroviruses produced by Phoenix Ampho cells, as described in Düsterhöft et al. 2021.
    • iRhom1/iRhom2 double-knockout HEK293 cells were generated using the CRISPR-Cas9 system.
    • No endogenous human iRhom2 was detected in the lysate of HEK293 cells (lane 1).
    • Human iRhom2 was successfully detected in iRhom1/iRhom2 double-knockout HEK293 cells overexpressing human iRhom2 (lane 3).
    • Overexpressed murine iRhom2 in iRhom1/iRhom2 double-knockout HEK293 cells was detected at substantially lower levels than overexpressed human iRhom2 (lane 4).
    • Non-specific bands were also detected.
  • 状态

    Liquid

    缓冲液

    Purified polyclonal antibody supplied in PBS with 0.09 % (W/V) sodium azide.

    储存液

    Sodium azide

    注意事项

    This product contains Sodium azide: a POISONOUS AND HAZARDOUS SUBSTANCE which should be handled by trained staff only.

    储存条件

    4 °C,-20 °C

    储存方法

    RHBDF2 Antibody (N-term) can be refrigerated at 2-8 °C for up to 6 months. For long term storage, place the at -20 °C.

    有效期

    6 months
  • 抗原

    RHBDF2 (Rhomboid 5 Homolog 2 (RHBDF2))

    别名

    RHBDF2

    背景

    Not expected to have protease activity (By similarity).

    分子量

    96686

    基因ID

    79651

    NCBI登录号

    NP_001005498, NP_078875

    UniProt

    Q6PJF5

    途径

    Growth Factor Binding
You are here: