MATK 抗体
Our Local Distributor
北京 101111
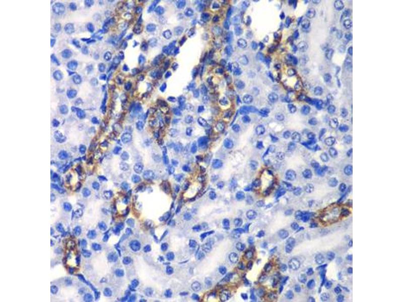
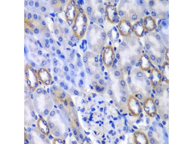
Quick Overview for MATK 抗体 (ABIN5967403)
抗原
See all MATK 抗体适用
宿主
克隆类型
标记
应用范围
-
-
纯化方法
- Affinity purification
-
免疫原
- Recombinant fusion protein of human MATK (NP_647611.1).
-
亚型
- IgG
-
-
-
-
应用备注
- IHC 1:50-1:200
-
限制
- 仅限研究用
-
-
-
状态
- Liquid
-
浓度
- 1 mg/mL
-
缓冲液
- PBS with 0.02 % sodium azide, 50 % glycerol, pH 7.3
-
储存液
- Sodium azide
-
注意事项
- This product contains Sodium azide: a POISONOUS AND HAZARDOUS SUBSTANCE which should be handled by trained staff only.
-
储存条件
- -20 °C
-
储存方法
- Store at -20°C. Avoid freeze / thaw cycles.
-
-
- MATK (Megakaryocyte-Associated tyrosine Kinase (MATK))
-
别名
- MATK
-
背景
- The protein encoded by this gene has amino acid sequence similarity to Csk tyrosine kinase and has the structural features of the CSK subfamily: SRC homology SH2 and SH3 domains, a catalytic domain, a unique N terminus, lack of myristylation signals, lack of a negative regulatory phosphorylation site, and lack of an autophosphorylation site. This protein is thought to play a significant role in the signal transduction of hematopoietic cells. It is able to phosphorylate and inactivate Src family kinases, and may play an inhibitory role in the control of T-cell proliferation. This protein might be involved in signaling in some cases of breast cancer. Three alternatively spliced transcript variants that encode different isoforms have been described for this gene.
-
分子量
-
Observed_MW: 55kDa
Calculated_MW: 51kDa/56kDa
-
基因ID
- 4145
-
UniProt
- P42679
抗原
-