GIP 抗体
Our Local Distributor
北京 101111
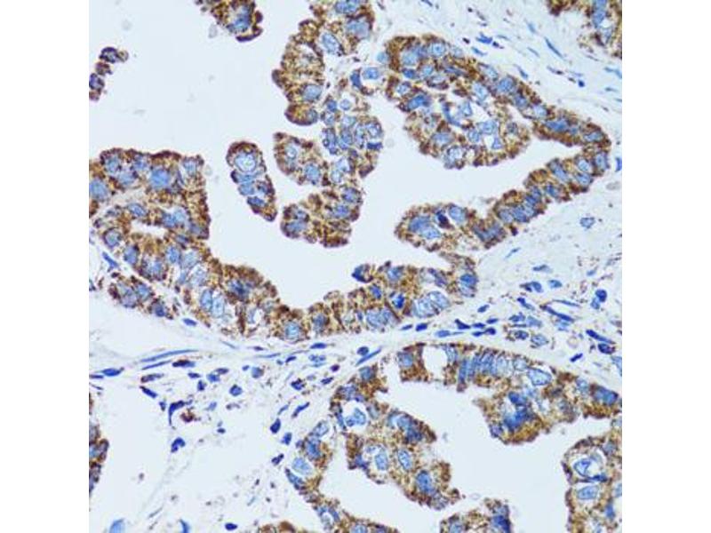
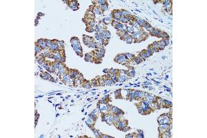
Quick Overview for GIP 抗体 (ABIN6570298)
抗原
See all GIP 抗体适用
宿主
克隆类型
标记
应用范围
-
-
纯化方法
- Affinity purification
-
免疫原
- Recombinant fusion protein of human GIP (NP_004114.1).
-
亚型
- IgG
-
-
-
-
应用备注
- IHC 1:50-1:200 IF 1:50-1:200
-
限制
- 仅限研究用
-
-
-
状态
- Liquid
-
浓度
- 1 mg/mL
-
缓冲液
- PBS with 0.02 % sodium azide, 50 % glycerol, pH 7.3
-
储存液
- Sodium azide
-
注意事项
- This product contains Sodium azide: a POISONOUS AND HAZARDOUS SUBSTANCE which should be handled by trained staff only.
-
储存条件
- -20 °C
-
储存方法
- Store at -20°C. Avoid freeze / thaw cycles.
-
-
- GIP (Gastric Inhibitory Polypeptide (GIP))
-
别名
- GIP
-
背景
- This gene encodes an incretin hormone and belongs to the glucagon superfamily. The encoded protein is important in maintaining glucose homeostasis as it is a potent stimulator of insulin secretion from pancreatic beta-cells following food ingestion and nutrient absorption. This gene stimulates insulin secretion via its G protein-coupled receptor activation of adenylyl cyclase and other signal transduction pathways. It is a relatively poor inhibitor of gastric acid secretion.
-
分子量
-
Observed_MW: 17kDa
Calculated_MW: 17kDa
-
基因ID
- 2695
-
UniProt
- P09681
-
途径
- Positive Regulation of Peptide Hormone Secretion, Peptide Hormone Metabolism, Hormone Activity, Regulation of Lipid Metabolism by PPARalpha, Lipid Metabolism
抗原
-