电话:
+86 (0512) 65829739
传真:
+86 (010) 6788 5057
电子邮件:
orders@antibodies-online.cn

IDO2 抗体 (C-Term)

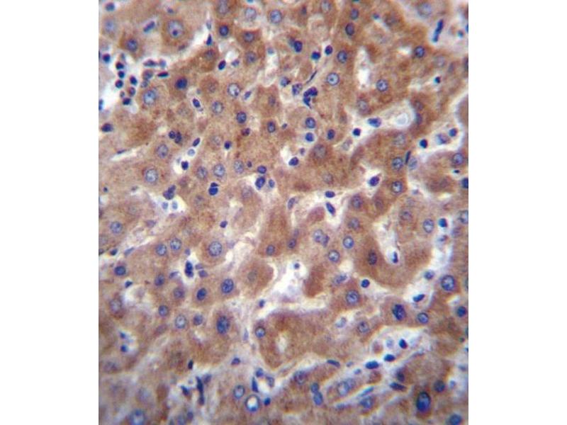
The 兔 多克隆 anti-IDO2 antibody (Clone RB31430) (ABIN656340) specifically detects IDO2 in WB 和 IHC (p). The antibody is reactive with 人 samples.
产品编号 ABIN656340
发货至: 中国
Contact our Customer Service for availability and price in your country. Contact Info

Our Local Distributor

中国
北京 101111
No. 88 KeChuang 6th Street
Beijing Economic Technological Development Area
Room 801-803
4A Biotech Co.,Ltd.
Tel +86 (0512) 65829739 传真 +86 (010) 6788 5057

Quick Overview for IDO2 抗体 (C-Term) (ABIN656340)

抗原

See all IDO2 抗体
IDO2 (Indoleamine 2,3-Dioxygenase 2 (IDO2))

适用

  • 55
  • 10
  • 8
  • 2
  • 2
  • 2
  • 2
  • 1
  • 1

宿主

  • 58
  • 8
  • 1

克隆类型

  • 59
  • 8
多克隆

标记

  • 32
  • 8
  • 5
  • 3
  • 1
  • 1
  • 1
  • 1
  • 1
  • 1
  • 1
  • 1
  • 1
  • 1
  • 1
  • 1
  • 1
  • 1
  • 1
  • 1
  • 1
  • 1
  • 1
This IDO2 antibody is un-conjugated

应用范围

  • 54
  • 22
  • 21
  • 13
  • 13
  • 7
  • 7
  • 5
  • 3
  • 2
  • 2
  • 2
  • 1
  • 1
  • 1
  • 1
Western Blotting (WB), Immunohistochemistry (Paraffin-embedded Sections) (IHC (p))

克隆位点

RB31430
  • 抗原表位

    • 15
    • 7
    • 5
    • 4
    • 3
    • 3
    • 3
    • 2
    • 2
    • 1
    • 1
    • 1
    • 1
    • 1
    • 1
    • 1
    AA 267-295, C-Term

    纯化方法

    This antibody is purified through a protein A column, followed by peptide affinity purification.

    免疫原

    This I23O2 antibody is generated from rabbits immunized with a KLH conjugated synthetic peptide between 267-295 amino acids from the C-terminal region of human I23O2.

    亚型

    Ig Fraction
  • 应用备注

    WB: 1:4000. WB: 1:1000. WB: 1:2000. IHC-P: 1:25. IHC-P: 1:10~50

    限制

    仅限研究用
  • 状态

    Liquid

    缓冲液

    Purified polyclonal antibody supplied in PBS with 0.09 % (W/V) sodium azide.

    储存液

    Sodium azide

    注意事项

    This product contains Sodium azide: a POISONOUS AND HAZARDOUS SUBSTANCE which should be handled by trained staff only.

    储存条件

    4 °C,-20 °C

    储存方法

    I23O2 Antibody (C-term) can be refrigerated at 2-8 °C for up to 6 months. For long term storage, place the at -20 °C.

    有效期

    6 months
  • 抗原

    IDO2 (Indoleamine 2,3-Dioxygenase 2 (IDO2))

    别名

    I23O2

    背景

    Along with the enzymes encoded by the INDO (MIM 147435) and TDO2 (MIM 191070) genes, the enzyme encoded by the INDOL1 gene metabolizes tryptophan in the kynurenine pathway (Ball et al., 2007 [PubMed 17499941]).

    分子量

    47075

    基因ID

    169355

    NCBI登录号

    NP_919270

    UniProt

    Q6ZQW0
You are here: