电话:
+86 (0512) 65829739
传真:
+86 (010) 6788 5057
电子邮件:
orders@antibodies-online.cn

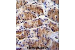
POLR3GL 抗体 (AA 65-93)

The 兔 多克隆 anti-POLR3GL antibody (Clone RB29095) (ABIN655314) specifically detects POLR3GL in WB 和 IHC (p). The antibody is reactive with 小鼠 samples.
产品编号 ABIN655314
发货至: 中国
Contact our Customer Service for availability and price in your country. Contact Info

Our Local Distributor

中国
北京 101111
No. 88 KeChuang 6th Street
Beijing Economic Technological Development Area
Room 801-803
4A Biotech Co.,Ltd.
Tel +86 (0512) 65829739 传真 +86 (010) 6788 5057

Quick Overview for POLR3GL 抗体 (AA 65-93) (ABIN655314)

抗原

POLR3GL (Polymerase (RNA) III (DNA Directed) Polypeptide G (32kD)-Like (POLR3GL))

适用

  • 11
  • 9
  • 2
  • 2
  • 2
  • 2
  • 2
  • 2
  • 1
  • 1
  • 1
  • 1
小鼠

宿主

  • 13
  • 2

克隆类型

  • 13
  • 2
多克隆

标记

  • 10
  • 1
  • 1
  • 1
  • 1
  • 1
This POLR3GL antibody is un-conjugated

应用范围

  • 15
  • 9
  • 8
  • 3
  • 2
  • 1
  • 1
Western Blotting (WB), Immunohistochemistry (Paraffin-embedded Sections) (IHC (p))

克隆位点

RB29095
You are here: