电话:
+86 (0512) 65829739
传真:
+86 (010) 6788 5057
电子邮件:
orders@antibodies-online.cn

KIAA1324-Like 抗体 (N-Term)

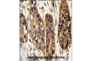
The 兔 多克隆 anti-KIAA1324-Like antibody (Clone RB23967) (ABIN654924) specifically detects KIAA1324-Like in WB, FACS 和 IHC (p). The antibody is reactive with 人 和 小鼠 samples.
产品编号 ABIN654924
发货至: 中国
Contact our Customer Service for availability and price in your country. Contact Info

Our Local Distributor

中国
北京 101111
No. 88 KeChuang 6th Street
Beijing Economic Technological Development Area
Room 801-803
4A Biotech Co.,Ltd.
Tel +86 (0512) 65829739 传真 +86 (010) 6788 5057

Quick Overview for KIAA1324-Like 抗体 (N-Term) (ABIN654924)

抗原

KIAA1324-Like (KIAA1324L)

适用

  • 17
  • 10
  • 1
  • 1
  • 1
  • 1
  • 1
  • 1
  • 1
人, 小鼠

宿主

  • 17

克隆类型

  • 17
多克隆

标记

  • 8
  • 3
  • 2
  • 2
  • 1
  • 1
This KIAA1324-Like antibody is un-conjugated

应用范围

  • 12
  • 11
  • 10
  • 10
  • 2
  • 1
Western Blotting (WB), Flow Cytometry (FACS), Immunohistochemistry (Paraffin-embedded Sections) (IHC (p))

克隆位点

RB23967
  • 抗原表位

    • 9
    • 5
    • 4
    • 1
    AA 109-138, N-Term

    预测反应

    B

    纯化方法

    This antibody is purified through a protein A column, followed by peptide affinity purification.

    免疫原

    This KIAA1324L antibody is generated from rabbits immunized with a KLH conjugated synthetic peptide between 109-138 amino acids from the N-terminal region of human KIAA1324L.

    亚型

    Ig Fraction
  • 应用备注

    WB: 1:1000. WB: 1:1000. IHC-P: 1:50~100. FC: 1:10~50

    限制

    仅限研究用
  • 状态

    Liquid

    缓冲液

    Purified polyclonal antibody supplied in PBS with 0.09 % (W/V) sodium azide.

    储存液

    Sodium azide

    注意事项

    This product contains Sodium azide: a POISONOUS AND HAZARDOUS SUBSTANCE which should be handled by trained staff only.

    储存条件

    4 °C,-20 °C

    储存方法

    Maintain refrigerated at 2-8 °C for up to 6 months. For long term storage store at -20 °C in small aliquots to prevent freeze-thaw cycles.

    有效期

    6 months
  • 抗原

    KIAA1324-Like (KIAA1324L)

    别名

    KIAA1324L

    分子量

    113842

    基因ID

    222223

    NCBI登录号

    NP_001136221, NP_689961

    UniProt

    A8MWY0
You are here: