电话:
+86 (0512) 65829739
传真:
+86 (010) 6788 5057
电子邮件:
orders@antibodies-online.cn

PAPD4 抗体 (N-Term)

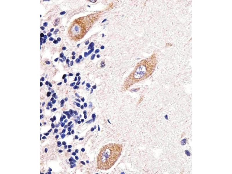
There is 1 publication for this product available. The 兔 多克隆 anti-PAPD4 antibody is suitable to detect PAPD4 in samples from 人 和 小鼠. It has been validated for WB, IF 和 IHC (p).
产品编号 ABIN651284
发货至: 中国
Contact our Customer Service for availability and price in your country. Contact Info

Our Local Distributor

中国
北京 101111
No. 88 KeChuang 6th Street
Beijing Economic Technological Development Area
Room 801-803
4A Biotech Co.,Ltd.
Tel +86 (0512) 65829739 传真 +86 (010) 6788 5057

Quick Overview for PAPD4 抗体 (N-Term) (ABIN651284)

抗原

See all PAPD4 抗体
PAPD4 (PAP Associated Domain Containing 4 (PAPD4))

适用

  • 18
  • 16
  • 8
  • 7
  • 4
  • 4
  • 4
  • 4
  • 4
  • 2
  • 2
  • 2
  • 1
  • 1
人, 小鼠

宿主

  • 18

克隆类型

  • 18
多克隆

标记

  • 13
  • 1
  • 1
  • 1
  • 1
  • 1
This PAPD4 antibody is un-conjugated

应用范围

  • 16
  • 9
  • 9
  • 1
  • 1
  • 1
Western Blotting (WB), Immunofluorescence (IF), Immunohistochemistry (Paraffin-embedded Sections) (IHC (p))

克隆位点

RB26128
  • 抗原表位

    • 8
    • 3
    • 2
    • 1
    • 1
    • 1
    AA 58-87, N-Term

    预测反应

    B

    纯化方法

    This antibody is purified through a protein A column, followed by peptide affinity purification.

    免疫原

    This GLD2 antibody is generated from rabbits immunized with a KLH conjugated synthetic peptide between 58-87 amino acids from the N-terminal region of human GLD2.

    亚型

    Ig Fraction
  • 应用备注

    IF: 1:25. WB: 1:1000. WB: 1:1000. IHC-P: 1:50~100. IHC-P: 1:25

    限制

    仅限研究用
  • 状态

    Liquid

    缓冲液

    Purified polyclonal antibody supplied in PBS with 0.09 % (W/V) sodium azide.

    储存液

    Sodium azide

    注意事项

    This product contains Sodium azide: a POISONOUS AND HAZARDOUS SUBSTANCE which should be handled by trained staff only.

    储存条件

    4 °C,-20 °C

    储存方法

    Maintain refrigerated at 2-8 °C for up to 6 months. For long term storage store at -20 °C in small aliquots to prevent freeze-thaw cycles.

    有效期

    6 months
  • Guillén-Boixet, Buzon, Salvatella, Méndez: "CPEB4 is regulated during cell cycle by ERK2/Cdk1-mediated phosphorylation and its assembly into liquid-like droplets." in: eLife, Vol. 5, (2017) (PubMed).

  • 抗原

    PAPD4 (PAP Associated Domain Containing 4 (PAPD4))

    别名

    GLD2

    背景

    GLD2 is cytoplasmic poly(A) RNA polymerase that adds successive AMP monomers to the 3'-end of specific RNAs, forming a poly(A) tail. In contrast to the canonical nuclear poly(A) RNA polymerase, it only adds poly(A) to selected cytoplasmic mRNAs. GLD2 does not play a role in replication-dependent histone mRNA degradation.

    分子量

    56028

    基因ID

    167153

    NCBI登录号

    NP_001107865, NP_001107866, NP_776158

    UniProt

    Q6PIY7
You are here: