CNGB3 抗体 (AA 175-186)
Our Local Distributor
北京 101111
Quick Overview for CNGB3 抗体 (AA 175-186) (ABIN6391408)
抗原
See all CNGB3 抗体适用
宿主
克隆类型
标记
应用范围
质量等级
-
-
抗原表位
- AA 175-186
-
原理
- CNGB3 (aa175-186)
-
序列
- ESDDKPTEHY YR
-
交叉反应
- 人
-
纯化方法
- Purified from goat serum by ammonium sulphate precipitation followed by antigen affinity chromatography using the immunizing peptide.
-
亚型
- IgG
-
-
-
-
应用备注
-
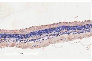
Immunohistochemistry: In paraffin embedded Human Retina shows primarily staining of the pigmented epithelial cells. Recommended concentration: 2-4 μg/mL.
Peptide ELISA: antibody detection limit dilution 1:8000.
-
限制
- 仅限研究用
-
-
-
状态
- Liquid
-
浓度
- 0.5 mg/mL
-
缓冲液
- Supplied at 0.5 mg/mL in Tris saline, 0.02 % sodium azide, pH 7.3 with 0.5 % bovine serum albumin.
-
储存液
- Sodium azide
-
注意事项
- This product contains Sodium azide: a POISONOUS AND HAZARDOUS SUBSTANCE which should be handled by trained staff only.
-
注意事项
- Minimize freezing and thawing.
-
储存条件
- -20 °C
-
储存方法
- Aliquot and store at -20°C, with minimal freeze/thawing. A working aliquot may be refrigerated at 4°C for a few weeks and still remain viable.
-
-
- CNGB3 (Cyclic Nucleotide Gated Channel beta 3 (CNGB3))
-
别名
- CNGB3
-
背景
- CNGB3, cyclic nucleotide gated channel beta 3, ACHM1, CNG channel beta-3, cone photoreceptor cGMP-gated cation channel beta-subunit, cyclic nucleotide-gated cation channel beta-3, cyclic nucleotide-gated cation channel modulatory subunit
-
基因ID
- 54714
-
NCBI登录号
- NP_061971
抗原
-