电话:
+86 (0512) 65829739
传真:
+86 (010) 6788 5057
电子邮件:
orders@antibodies-online.cn

PSAT1 抗体 (N-Term)

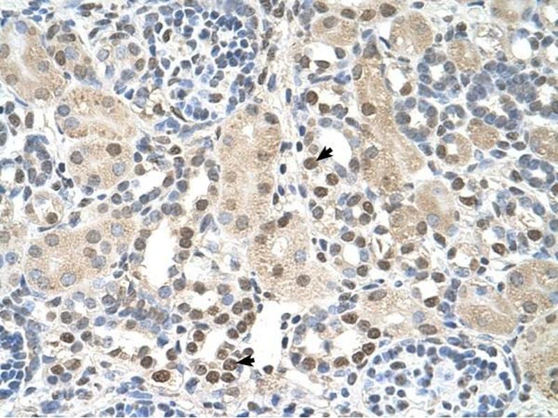
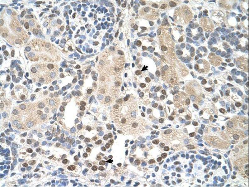
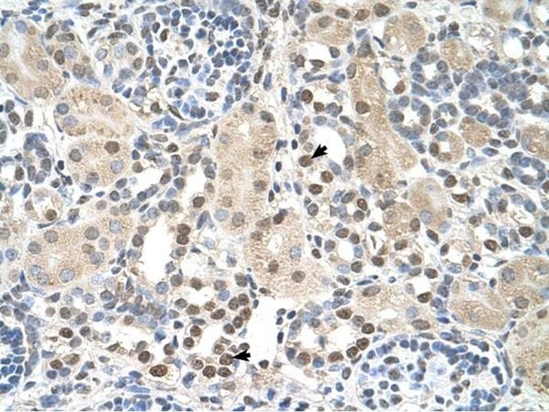
The 兔 多克隆 anti-PSAT1 antibody (ABIN631758) specifically detects PSAT1 in WB 和 IHC. The antibody is reactive with 人, 小鼠, 大鼠 和 犬 samples.
产品编号 ABIN631758
发货至: 中国
Contact our Customer Service for availability and price in your country. Contact Info

Our Local Distributor

中国
北京 101111
No. 88 KeChuang 6th Street
Beijing Economic Technological Development Area
Room 801-803
4A Biotech Co.,Ltd.
Tel +86 (0512) 65829739 传真 +86 (010) 6788 5057

Quick Overview for PSAT1 抗体 (N-Term) (ABIN631758)

抗原

See all PSAT1 抗体
PSAT1 (phosphoserine Aminotransferase 1 (PSAT1))

适用

  • 40
  • 25
  • 19
  • 3
  • 2
  • 2
  • 2
  • 2
  • 1
  • 1
  • 1
人, 小鼠, 大鼠, 犬

宿主

  • 37
  • 8

克隆类型

  • 39
  • 6
多克隆

标记

  • 30
  • 4
  • 3
  • 2
  • 1
  • 1
  • 1
  • 1
  • 1
  • 1
This PSAT1 antibody is un-conjugated

应用范围

  • 24
  • 17
  • 14
  • 11
  • 7
  • 6
  • 2
  • 2
  • 1
  • 1
Western Blotting (WB), Immunohistochemistry (IHC)
  • 抗原表位

    • 7
    • 5
    • 3
    • 2
    • 2
    • 1
    • 1
    • 1
    • 1
    • 1
    • 1
    • 1
    N-Term

    特异性

    PSAT1 antibody was raised against the N terminal of PSAT1

    纯化方法

    Affinity purified

    免疫原

    PSAT1 antibody was raised using the N terminal of PSAT1 corresponding to a region with amino acids ADYVVTGAWSAKAAEEAKKFGTINIVHPKLGSYTKIPDPSTWNLNPDASY
  • 应用备注

    WB: 1 µg/mL, IHC: 4-8 µg/mL
    Optimal conditions should be determined by the investigator.

    说明

    PSAT1 Blocking Peptide, , is also available for use as a blocking control in assays to test for specificity of this PSAT1 antibody

    限制

    仅限研究用
  • 状态

    Lyophilized

    溶解方式

    Lyophilized powder. Add distilled water for a 1 mg/mL concentration of PSAT1 antibody in PBS

    浓度

    Lot specific

    缓冲液

    PBS

    注意事项

    Avoid repeated freeze/thaw cycles.
    Dilute only prior to immediate use.

    储存条件

    4 °C/-20 °C

    储存方法

    Store at 2-8 °C for short periods. For longer periods of storage, store at -20 °C.
  • 抗原

    PSAT1 (phosphoserine Aminotransferase 1 (PSAT1))

    别名

    PSAT1

    背景

    PSAT1 is likely a phosphoserine aminotransferase, based on similarity to proteins in mouse, rabbit, and Drosophila.

    分子量

    40 kDa (MW of target protein)

    途径

    Warburg Effect
You are here: