PARP3 抗体
Our Local Distributor
北京 101111
Quick Overview for PARP3 抗体 (ABIN630693)
抗原
See all PARP3 抗体适用
宿主
克隆类型
标记
应用范围
-
-
纯化方法
- Affinity purified
-
免疫原
- PARP3 antibody was raised using a synthetic peptide corresponding to a region with amino acids LGREHHINTDNPSLKSPPPGFDSVIARGHTEPDPTQDTELELDGQQVVVP
-
-
-
-
应用备注
-
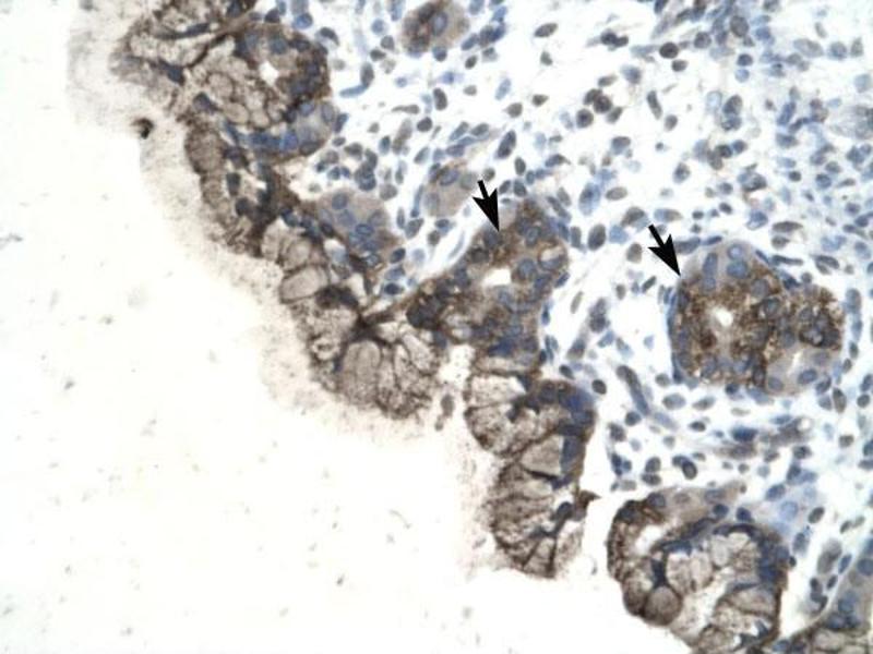
WB: 1-2 µg/mL, IHC: 4-8 µg/mL
Optimal conditions should be determined by the investigator. -
说明
-
PARP3 Blocking Peptide, (ABIN940380), is also available for use as a blocking control in assays to test for specificity of this PARP3 antibody
-
限制
- 仅限研究用
-
-
-
状态
- Lyophilized
-
溶解方式
- Lyophilized powder. Add distilled water for a 1 mg/mL concentration of PARP3 antibody in PBS
-
浓度
- Lot specific
-
缓冲液
- PBS
-
注意事项
- Avoid repeated freeze/thaw cycles.
-
储存条件
- 4 °C/-20 °C
-
储存方法
- Store at 2-8 °C for short periods. For longer periods of storage, store at -20 °C.
-
-
- PARP3 (Poly (ADP-Ribose) Polymerase Family, Member 3 (PARP3))
-
别名
- PARP3
-
背景
- PARP3 belongs to the PARP family. These enzymes modify nuclear proteins by poly-ADP-ribosylation, which is required for DNA repair, regulation of apoptosis, and maintenance of genomic stability. PARP3 is preferentially localized to the daughter centriole throughout the cell cycle. Alternatively spliced transcript variants encoding different isoforms have been identified.
-
分子量
- 59 kDa (MW of target protein)
抗原
-