TMPRSS11D 抗体 (N-Term)
Our Local Distributor
北京 101111
Quick Overview for TMPRSS11D 抗体 (N-Term) (ABIN630466)
抗原
See all TMPRSS11D 抗体适用
宿主
克隆类型
标记
应用范围
-
-
抗原表位
- N-Term
-
特异性
- TMPRSS11 D antibody was raised against the N terminal of TMPRSS11
-
纯化方法
- Purified
-
免疫原
- TMPRSS11 D antibody was raised using the N terminal of TMPRSS11 corresponding to a region with amino acids RSSFQLLNVEYNSQLNSPATQEYRTLSGRIESLITKTFKESNLRNQFIRA
-
-
-
-
应用备注
-
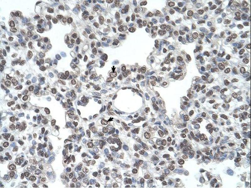
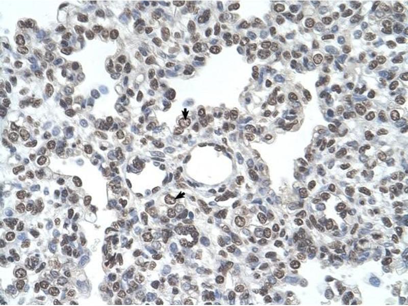
WB: 2.5 µg/mL, IHC: 4-8 µg/mL
Optimal conditions should be determined by the investigator. -
说明
-
TMPRSS11D Blocking Peptide, (ABIN5616694), is also available for use as a blocking control in assays to test for specificity of this TMPRSS11D antibody
-
限制
- 仅限研究用
-
-
-
状态
- Lyophilized
-
溶解方式
- Lyophilized powder. Add distilled water for a 1 mg/mL concentration of TMPRSS10 antibody in PBS
-
浓度
- Lot specific
-
缓冲液
- PBS
-
注意事项
-
Avoid repeated freeze/thaw cycles.
Dilute only prior to immediate use. -
储存条件
- 4 °C/-20 °C
-
储存方法
- Store at 2-8 °C for short periods. For longer periods of storage, store at -20 °C.
-
-
- TMPRSS11D (Transmembrane Protease, serine 11D (TMPRSS11D))
-
别名
- TMPRSS11D
-
背景
- TMPRSS11D is a trypsin-like serine protease released from the submucosal serous glands onto mucous membrane. It is a type II integral membrane protein and has 29-38% identity in the sequence of the catalytic region with human hepsin, enteropeptidase, acrosin, and mast cell tryptase. The noncatalytic region has little similarity to other known proteins. This protein may play some biological role in the host defense system on the mucous membrane independently of or in cooperation with other substances in airway mucous or bronchial secretions.
-
分子量
- 46 kDa (MW of target protein)
-
途径
- Positive Regulation of Peptide Hormone Secretion, Regulation of Carbohydrate Metabolic Process
抗原
-