电话:
+86 (0512) 65829739
传真:
+86 (010) 6788 5057
电子邮件:
orders@antibodies-online.cn

GNAS 抗体 (N-Term)

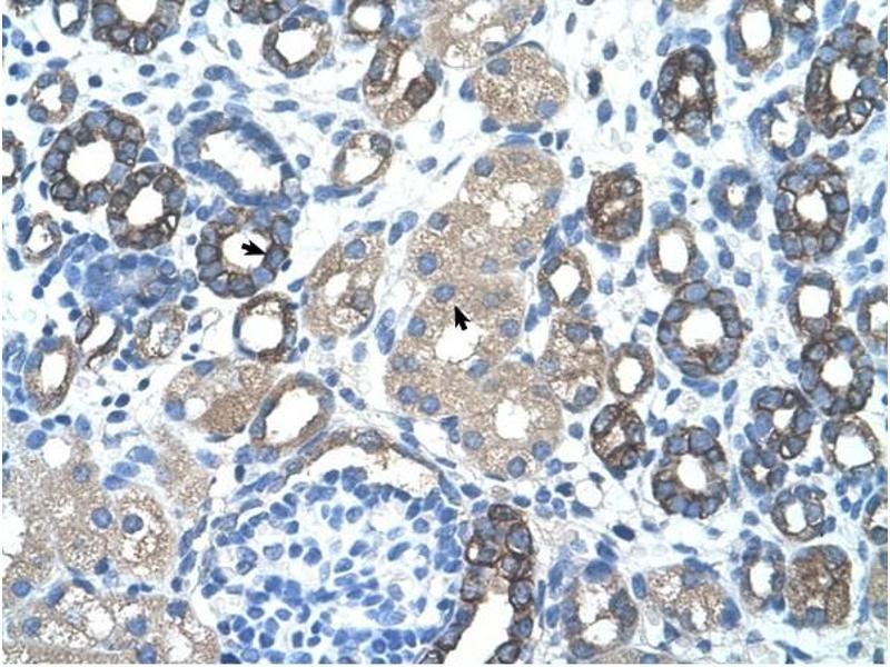
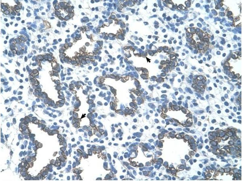
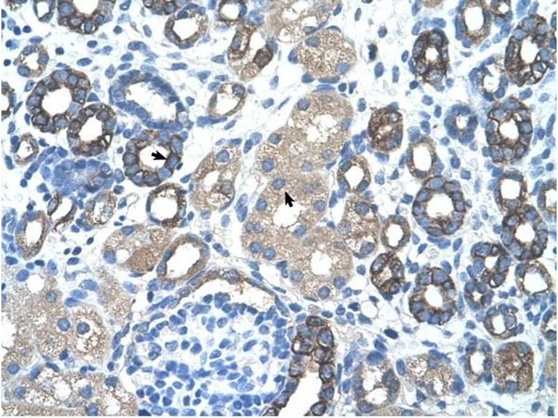
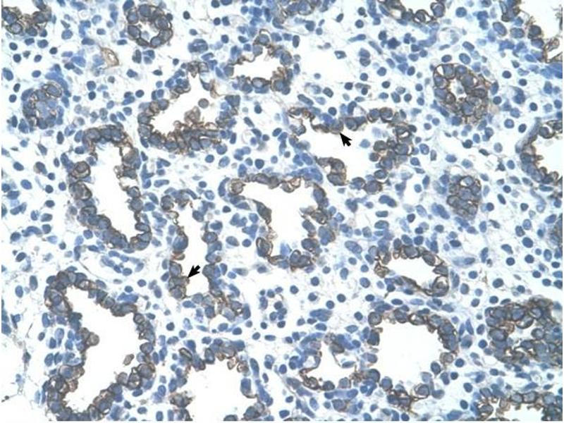
The 兔 多克隆 anti-GNAS antibody (ABIN630225) specifically detects GNAS in WB 和 IHC. The antibody is reactive with 人 samples.
产品编号 ABIN630225
发货至: 中国
Contact our Customer Service for availability and price in your country. Contact Info

Our Local Distributor

中国
北京 101111
No. 88 KeChuang 6th Street
Beijing Economic Technological Development Area
Room 801-803
4A Biotech Co.,Ltd.
Tel +86 (0512) 65829739 传真 +86 (010) 6788 5057

Quick Overview for GNAS 抗体 (N-Term) (ABIN630225)

抗原

See all GNAS 抗体
GNAS (GNAS Complex Locus (GNAS))

适用

  • 80
  • 32
  • 27
  • 10
  • 8
  • 7
  • 6
  • 5
  • 5
  • 5
  • 4
  • 3
  • 3
  • 1
  • 1
  • 1
  • 1
  • 1
  • 1

宿主

  • 74
  • 10
  • 1

克隆类型

  • 76
  • 9
多克隆

标记

  • 55
  • 7
  • 6
  • 5
  • 3
  • 3
  • 1
  • 1
  • 1
  • 1
  • 1
  • 1
This GNAS antibody is un-conjugated

应用范围

  • 66
  • 37
  • 25
  • 14
  • 13
  • 8
  • 8
  • 3
  • 3
  • 2
  • 1
Western Blotting (WB), Immunohistochemistry (IHC)
  • 抗原表位

    • 10
    • 8
    • 8
    • 8
    • 7
    • 5
    • 5
    • 3
    • 2
    • 1
    • 1
    • 1
    • 1
    • 1
    • 1
    • 1
    • 1
    • 1
    • 1
    • 1
    • 1
    • 1
    • 1
    • 1
    N-Term

    特异性

    GNAS antibody was raised against the N terminal of GNAS

    纯化方法

    Purified

    免疫原

    GNAS antibody was raised using the N terminal of GNAS corresponding to a region with amino acids SGKSTIVKQMRILHVNGFNGDSEKATKVQDIKNNLKEAIETIVAAMSNLV
  • 应用备注

    WB: 2.5 µg/mL, IHC: 4-8 µg/mL
    Optimal conditions should be determined by the investigator.

    说明

    GNAS Blocking Peptide, (ABIN5613808), is also available for use as a blocking control in assays to test for specificity of this GNAS antibody

    限制

    仅限研究用
  • 状态

    Lyophilized

    溶解方式

    Lyophilized powder. Add distilled water for a 1 mg/mL concentration of GNAS antibody in PBS

    浓度

    Lot specific

    缓冲液

    PBS

    注意事项

    Avoid repeated freeze/thaw cycles.
    Dilute only prior to immediate use.

    储存条件

    4 °C/-20 °C

    储存方法

    Store at 2-8 °C for short periods. For longer periods of storage, store at -20 °C.
  • 抗原

    GNAS (GNAS Complex Locus (GNAS))

    别名

    GNAS

    背景

    Mutations in GNAS gene result in pseudohypoparathyroidism type 1a, pseudohypoparathyroidism type 1b, Albright hereditary osteodystrophy, pseudopseudohypoparathyroidism, McCune-Albright syndrome, progressive osseus heteroplasia, polyostotic fibrous dysplasia of bone, and some pituitary tumors.

    分子量

    42 kDa (MW of target protein)

    途径

    Thyroid Hormone Synthesis, cAMP Metabolic Process, Myometrial Relaxation and Contraction, Embryonic Body Morphogenesis
You are here: