HNRNPA3 抗体 (N-Term)
Our Local Distributor
北京 101111
Quick Overview for HNRNPA3 抗体 (N-Term) (ABIN630036)
抗原
See all HNRNPA3 抗体适用
宿主
克隆类型
标记
应用范围
-
-
抗原表位
- N-Term
-
特异性
- HNRPA3 antibody was raised against the N terminal of HNRPA3
-
纯化方法
- Purified
-
免疫原
- HNRPA3 antibody was raised using the N terminal of HNRPA3 corresponding to a region with amino acids MEVKPPPGRPQPDSGRRRRRRGEEGHDPKEPEQLRKLFIGGLSFETTDDS
-
-
-
-
应用备注
-
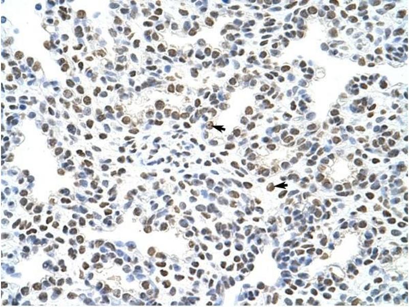
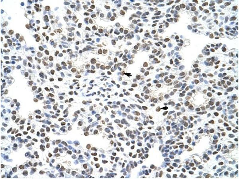
WB: 1.25 µg/mL, IHC: 4-8 µg/mL
Optimal conditions should be determined by the investigator. -
说明
-
HNRPA3 Blocking Peptide, (ABIN5614043), is also available for use as a blocking control in assays to test for specificity of this HNRPA3 antibody
-
限制
- 仅限研究用
-
-
-
状态
- Lyophilized
-
溶解方式
- Lyophilized powder. Add distilled water for a 1 mg/mL concentration of HNRPA3 antibody in PBS
-
浓度
- Lot specific
-
缓冲液
- PBS
-
注意事项
-
Avoid repeated freeze/thaw cycles.
Dilute only prior to immediate use. -
储存条件
- 4 °C/-20 °C
-
储存方法
- Store at 2-8 °C for short periods. For longer periods of storage, store at -20 °C.
-
-
- HNRNPA3 (Heterogeneous Nuclear Ribonucleoprotein A3 (HNRNPA3))
-
别名
- HNRPA3
-
背景
- HNRPA3 plays a role in cytoplasmic trafficking of RNA. It binds to the cis-acting response element(A2RE) and may be involved in pre-mRNA splicing
-
分子量
- 42 kDa (MW of target protein)
抗原
-