ADH1B 抗体
Our Local Distributor
北京 101111
Quick Overview for ADH1B 抗体 (ABIN629844)
抗原
See all ADH1B 抗体适用
宿主
克隆类型
标记
应用范围
-
-
纯化方法
- Purified
-
免疫原
- ADH1 B antibody was raised using a synthetic peptide corresponding to a region with amino acids NLSINPMLLLTGRTWKGAVYGGFKSKEGIPKLVADFMAKKFSLDALITHV
-
-
-
-
应用备注
-
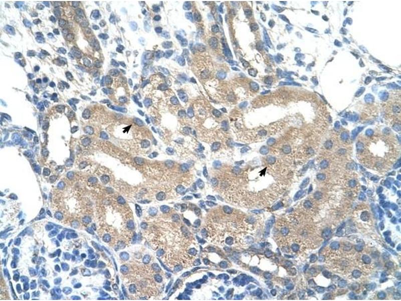
WB: 1.25 µg/mL, IHC: 4-8 µg/mL
Optimal conditions should be determined by the investigator. -
说明
-
ADH1B Blocking Peptide, (ABIN5611948), is also available for use as a blocking control in assays to test for specificity of this ADH1B antibody
-
限制
- 仅限研究用
-
-
-
状态
- Lyophilized
-
溶解方式
- Lyophilized powder. Add distilled water for a 1 mg/mL concentration of ADH0 antibody in PBS
-
浓度
- Lot specific
-
缓冲液
- PBS
-
注意事项
- Avoid repeated freeze/thaw cycles.
-
储存条件
- 4 °C/-20 °C
-
储存方法
- Store at 2-8 °C for short periods. For longer periods of storage, store at -20 °C.
-
-
- ADH1B (Alcohol Dehydrogenase 1B (Class I), beta Polypeptide (ADH1B))
-
别名
- ADH1B
-
背景
- ADH1B is a member of the alcohol dehydrogenase family. Members of this enzyme family metabolize a wide variety of substrates, including ethanol, retinol, other aliphatic alcohols, hydroxysteroids, and lipid peroxidation products. This protein, consisting of several homo- and heterodimers of alpha, beta, and gamma subunits, exhibits high activity for ethanol oxidation and plays a major role in ethanol catabolism.
-
分子量
- 41 kDa (MW of target protein)
抗原
-