电话:
+86 (0512) 65829739
传真:
+86 (010) 6788 5057
电子邮件:
orders@antibodies-online.cn

SBDS 抗体 (C-Term)

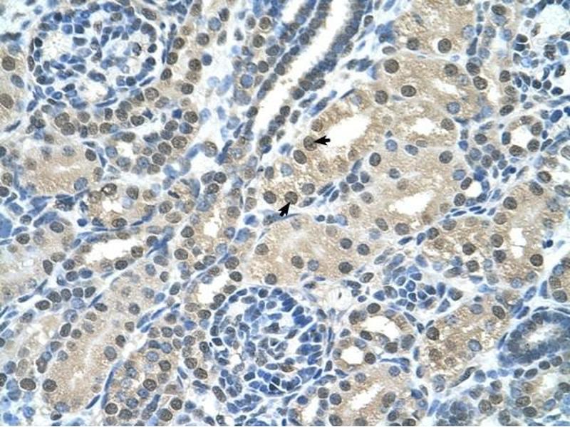
The 兔 多克隆 anti-SBDS antibody (ABIN629754) specifically detects SBDS in WB 和 IHC. The antibody is reactive with 人 和 犬 samples.
产品编号 ABIN629754
发货至: 中国
Contact our Customer Service for availability and price in your country. Contact Info

Our Local Distributor

中国
北京 101111
No. 88 KeChuang 6th Street
Beijing Economic Technological Development Area
Room 801-803
4A Biotech Co.,Ltd.
Tel +86 (0512) 65829739 传真 +86 (010) 6788 5057

Quick Overview for SBDS 抗体 (C-Term) (ABIN629754)

抗原

See all SBDS 抗体
SBDS (Shwachman-Bodian-Diamond Syndrome (SBDS))

适用

  • 38
  • 17
  • 17
  • 6
  • 4
  • 4
  • 3
  • 3
  • 3
  • 2
  • 2
人, 犬

宿主

  • 35
  • 3

克隆类型

  • 30
  • 8
多克隆

标记

  • 21
  • 2
  • 2
  • 2
  • 2
  • 2
  • 2
  • 2
  • 2
  • 1
This SBDS antibody is un-conjugated

应用范围

  • 20
  • 9
  • 9
  • 7
  • 4
  • 3
  • 2
  • 2
  • 1
  • 1
Western Blotting (WB), Immunohistochemistry (IHC)
  • 抗原表位

    • 5
    • 4
    • 3
    • 2
    • 1
    • 1
    • 1
    C-Term

    特异性

    SBDS antibody was raised against the C terminal of SBDS

    纯化方法

    Purified

    免疫原

    SBDS antibody was raised using the C terminal of SBDS corresponding to a region with amino acids DYGQQLEIVCLIDPGCFREIDELIKKETKGKGSLEVLNLKDVEEGDEKFE
  • 应用备注

    WB: 1.25 µg/mL, IHC: 4-8 µg/mL
    Optimal conditions should be determined by the investigator.

    说明

    SBDS Blocking Peptide, (ABIN937623), is also available for use as a blocking control in assays to test for specificity of this SBDS antibody

    限制

    仅限研究用
  • 状态

    Lyophilized

    溶解方式

    Lyophilized powder. Add distilled water for a 1 mg/mL concentration of SBDS antibody in PBS

    浓度

    Lot specific

    缓冲液

    PBS

    注意事项

    Avoid repeated freeze/thaw cycles.
    Dilute only prior to immediate use.

    储存条件

    4 °C/-20 °C

    储存方法

    Store at 2-8 °C for short periods. For longer periods of storage, store at -20 °C.
  • 抗原

    SBDS (Shwachman-Bodian-Diamond Syndrome (SBDS))

    别名

    SBDS

    背景

    SBDS is a member of a highly conserved protein family that exists from archaea to vertebrates and plants. The protein may function in RNA metabolism. Mutations within its gene are associated with Shwachman-Bodian-Diamond syndrome.

    分子量

    28 kDa (MW of target protein)

    途径

    Ribonucleoprotein Complex Subunit Organization, Ribosome Assembly
You are here: