电话:
+86 (0512) 65829739
传真:
+86 (010) 6788 5057
电子邮件:
orders@antibodies-online.cn

FBXO25 抗体 (C-Term)

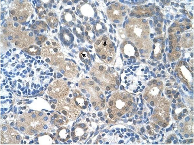
The 兔 多克隆 anti-FBXO25 antibody (ABIN629736) specifically detects FBXO25 in WB 和 IHC. The antibody is reactive with 人, 犬 和 斑马鱼 samples.
产品编号 ABIN629736
发货至: 中国
Contact our Customer Service for availability and price in your country. Contact Info

Our Local Distributor

中国
北京 101111
No. 88 KeChuang 6th Street
Beijing Economic Technological Development Area
Room 801-803
4A Biotech Co.,Ltd.
Tel +86 (0512) 65829739 传真 +86 (010) 6788 5057

Quick Overview for FBXO25 抗体 (C-Term) (ABIN629736)

抗原

See all FBXO25 抗体
FBXO25 (F-Box Protein 25 (FBXO25))

适用

  • 27
  • 19
  • 17
  • 4
  • 4
  • 4
  • 3
  • 3
  • 2
  • 2
  • 2
  • 1
  • 1
人, 犬, 斑马鱼

宿主

  • 28
  • 2

克隆类型

  • 28
  • 2
多克隆

标记

  • 12
  • 3
  • 2
  • 2
  • 1
  • 1
  • 1
  • 1
  • 1
  • 1
  • 1
  • 1
  • 1
  • 1
  • 1
This FBXO25 antibody is un-conjugated

应用范围

  • 25
  • 11
  • 5
  • 1
  • 1
  • 1
Western Blotting (WB), Immunohistochemistry (IHC)
  • 抗原表位

    • 6
    • 3
    • 2
    • 2
    • 1
    • 1
    • 1
    C-Term

    特异性

    FBXO25 antibody was raised against the C terminal of FBXO25

    纯化方法

    Purified

    免疫原

    FBXO25 antibody was raised using the C terminal of FBXO25 corresponding to a region with amino acids AKEQYGDTLHFCRHCSILFWKDSGHPCTAADPDSCFTPVSPQHFIDLFKF
  • 应用备注

    WB: 1.25 µg/mL, IHC: 4-8 µg/mL
    Optimal conditions should be determined by the investigator.

    说明

    FBXO25 Blocking Peptide, , is also available for use as a blocking control in assays to test for specificity of this FBXO25 antibody

    限制

    仅限研究用
  • 状态

    Lyophilized

    溶解方式

    Lyophilized powder. Add distilled water for a 1 mg/mL concentration of FBXO25 antibody in PBS

    浓度

    Lot specific

    缓冲液

    PBS

    注意事项

    Avoid repeated freeze/thaw cycles.
    Dilute only prior to immediate use.

    储存条件

    4 °C/-20 °C

    储存方法

    Store at 2-8 °C for short periods. For longer periods of storage, store at -20 °C.
  • 抗原

    FBXO25 (F-Box Protein 25 (FBXO25))

    别名

    FBXO25

    背景

    FBXO25 is a member of the F-box protein family which is characterized by an approximately 40 amino acid motif, the F-box. The F-box proteins constitute one of the four subunits of ubiquitin protein ligase complex called SCFs (SKP1-cullin-F-box), which function in phosphorylation-dependent ubiquitination. The F-box proteins are divided into 3 classes: Fbws containing WD-40 domains, Fbls containing leucine-rich repeats, and Fbxs containing either different protein-protein interaction modules or no recognizable motifs. FBXO25 belongs to the Fbxs class.

    分子量

    16 kDa (MW of target protein)
You are here: