电话:
+86 (0512) 65829739
传真:
+86 (010) 6788 5057
电子邮件:
orders@antibodies-online.cn

RSU1 抗体 (C-Term)

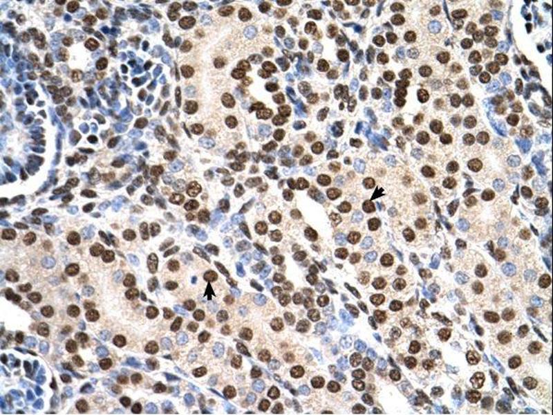
The 兔 多克隆 anti-RSU1 antibody (ABIN629715) specifically detects RSU1 in WB 和 IHC. The antibody is reactive with 人, 小鼠 和 大鼠 samples.
产品编号 ABIN629715
发货至: 中国
Contact our Customer Service for availability and price in your country. Contact Info

Our Local Distributor

中国
北京 101111
No. 88 KeChuang 6th Street
Beijing Economic Technological Development Area
Room 801-803
4A Biotech Co.,Ltd.
Tel +86 (0512) 65829739 传真 +86 (010) 6788 5057

Quick Overview for RSU1 抗体 (C-Term) (ABIN629715)

抗原

See all RSU1 抗体
RSU1 (Ras Suppressor Protein 1 (RSU1))

适用

  • 36
  • 10
  • 4
  • 2
  • 2
  • 2
  • 2
  • 1
  • 1
  • 1
  • 1
  • 1
  • 1
  • 1
人, 小鼠, 大鼠

宿主

  • 32
  • 4

克隆类型

  • 33
  • 3
多克隆

标记

  • 21
  • 3
  • 2
  • 1
  • 1
  • 1
  • 1
  • 1
  • 1
  • 1
  • 1
  • 1
  • 1
This RSU1 antibody is un-conjugated

应用范围

  • 18
  • 15
  • 8
  • 5
  • 4
  • 4
  • 4
  • 2
  • 2
  • 1
Western Blotting (WB), Immunohistochemistry (IHC)
  • 抗原表位

    • 9
    • 6
    • 3
    • 1
    • 1
    • 1
    • 1
    • 1
    • 1
    • 1
    • 1
    C-Term

    特异性

    RSU1 antibody was raised against the C terminal of RSU1

    纯化方法

    Purified

    免疫原

    RSU1 antibody was raised using the C terminal of RSU1 corresponding to a region with amino acids PIADQFQLGVSHVFEYIRSETYKYLYGRHMQANPEPPKKNNDKSKKISRK
  • 应用备注

    WB: 1.25 µg/mL, IHC: 4-8 µg/mL
    Optimal conditions should be determined by the investigator.

    说明

    RSU1 Blocking Peptide, (ABIN5615969), is also available for use as a blocking control in assays to test for specificity of this RSU1 antibody

    限制

    仅限研究用
  • 状态

    Lyophilized

    溶解方式

    Lyophilized powder. Add distilled water for a 1 mg/mL concentration of RSU1 antibody in PBS

    浓度

    Lot specific

    缓冲液

    PBS

    注意事项

    Avoid repeated freeze/thaw cycles.
    Dilute only prior to immediate use.

    储存条件

    4 °C/-20 °C

    储存方法

    Store at 2-8 °C for short periods. For longer periods of storage, store at -20 °C.
  • 抗原

    RSU1 (Ras Suppressor Protein 1 (RSU1))

    别名

    RSU1

    背景

    RSU1 is a protein that is involved in the Ras signal transduction pathway, growth inhibition, and nerve-growth factor induced differentiation processes, as determined in mouse and human cell line studies. In mouse, the protein was initially isolated based on its ability to inhibit v-Ras transformation.

    分子量

    31 kDa (MW of target protein)
You are here: