电话:
+86 (0512) 65829739
传真:
+86 (010) 6788 5057
电子邮件:
orders@antibodies-online.cn

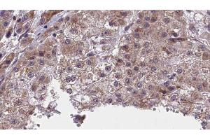
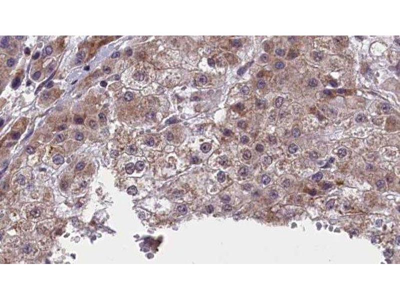
NFASC 抗体 (C-Term)

The 兔 多克隆 anti-NFASC antibody (ABIN6266254) specifically detects NFASC in WB, IHC 和 ELISA. The antibody is reactive with 人, 大鼠 和 小鼠 samples.
产品编号 ABIN6266254
发货至: 中国
Contact our Customer Service for availability and price in your country. Contact Info

Our Local Distributor

中国
北京 101111
No. 88 KeChuang 6th Street
Beijing Economic Technological Development Area
Room 801-803
4A Biotech Co.,Ltd.
Tel +86 (0512) 65829739 传真 +86 (010) 6788 5057

Quick Overview for NFASC 抗体 (C-Term) (ABIN6266254)

抗原

See all NFASC 抗体
NFASC (Neurofascin (NFASC))

适用

人, 大鼠, 小鼠

宿主

  • 24
  • 8
  • 1
  • 1

克隆类型

  • 27
  • 7
多克隆

标记

  • 10
  • 1
  • 1
  • 1
  • 1
  • 1
  • 1
  • 1
  • 1
  • 1
  • 1
  • 1
  • 1
  • 1
  • 1
  • 1
  • 1
  • 1
  • 1
  • 1
  • 1
  • 1
  • 1
  • 1
  • 1
This NFASC antibody is un-conjugated

应用范围

  • 24
  • 13
  • 13
  • 10
  • 8
  • 7
  • 3
  • 3
  • 2
  • 1
Western Blotting (WB), Immunohistochemistry (IHC), ELISA
  • 抗原表位

    • 15
    • 7
    • 6
    • 1
    • 1
    • 1
    • 1
    • 1
    • 1
    C-Term

    特异性

    NFASC Antibody detects endogenous levels of total NFASC.

    预测反应

    Pig,Bovine,Horse,Sheep,Rabbit,Dog,Chicken

    纯化方法

    The antiserum was purified by peptide affinity chromatography using SulfoLinkTM Coupling Resin (Thermo Fisher Scientific).

    免疫原

    A synthesized peptide derived from human NFASC, corresponding to a region within C-terminal amino acids.

    亚型

    IgG
  • 应用备注

    WB 1:500-1:2000, IHC 1:50-1:100, ELISA(peptide) 1:20000-1:40000

    限制

    仅限研究用
  • 状态

    Liquid

    浓度

    1 mg/mL

    缓冲液

    Rabbit IgG in phosphate buffered saline , pH 7.4, 150 mM NaCl, 0.02 % sodium azide and 50 % glycerol.

    储存液

    Sodium azide

    注意事项

    This product contains Sodium azide: a POISONOUS AND HAZARDOUS SUBSTANCE which should be handled by trained staff only.

    储存条件

    -20 °C

    储存方法

    Store at -20 °C. Stable for 12 months from date of receipt.

    有效期

    12 months
  • 抗原

    NFASC (Neurofascin (NFASC))

    别名

    NFASC

    背景

    Description: Cell adhesion, ankyrin-binding protein which may be involved in neurite extension, axonal guidance, synaptogenesis, myelination and neuron-glial cell interactions.

    Gene: NFASC

    分子量

    150kDa

    基因ID

    23114

    UniProt

    O94856

    途径

    Cell-Cell Junction Organization
You are here: