电话:
+86 (0512) 65829739
传真:
+86 (010) 6788 5057
电子邮件:
orders@antibodies-online.cn

TP53I11 抗体 (N-Term)

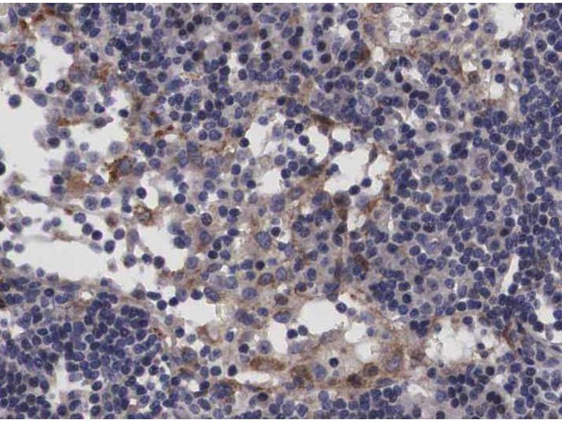
The 兔 多克隆 anti-TP53I11 antibody (ABIN6265678) specifically detects TP53I11 in WB, ELISA, IHC, IF 和 ICC. The antibody is reactive with 人 和 大鼠 samples.
产品编号 ABIN6265678
发货至: 中国
Contact our Customer Service for availability and price in your country. Contact Info

Our Local Distributor

中国
北京 101111
No. 88 KeChuang 6th Street
Beijing Economic Technological Development Area
Room 801-803
4A Biotech Co.,Ltd.
Tel +86 (0512) 65829739 传真 +86 (010) 6788 5057

Quick Overview for TP53I11 抗体 (N-Term) (ABIN6265678)

抗原

TP53I11 (Tumor Protein P53 Inducible Protein 11 (TP53I11))

适用

  • 36
  • 13
  • 13
  • 4
  • 4
  • 4
人, 大鼠

宿主

  • 36

克隆类型

  • 36
多克隆

标记

  • 7
  • 3
  • 3
  • 2
  • 1
  • 1
  • 1
  • 1
  • 1
  • 1
  • 1
  • 1
  • 1
  • 1
  • 1
  • 1
  • 1
  • 1
  • 1
  • 1
  • 1
  • 1
  • 1
  • 1
  • 1
This TP53I11 antibody is un-conjugated

应用范围

  • 24
  • 13
  • 13
  • 9
  • 4
  • 3
  • 3
  • 3
  • 1
Western Blotting (WB), ELISA, Immunohistochemistry (IHC), Immunofluorescence (IF), Immunocytochemistry (ICC)
You are here: