电话:
+86 (0512) 65829739
传真:
+86 (010) 6788 5057
电子邮件:
orders@antibodies-online.cn

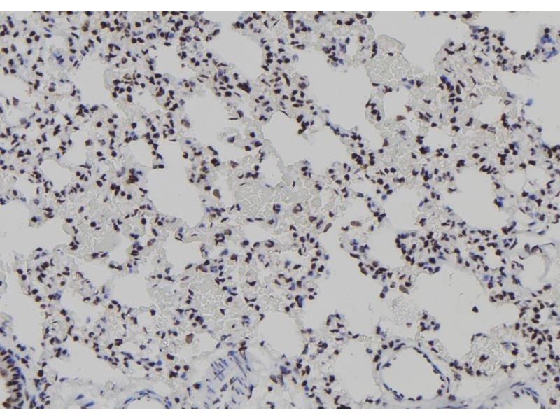
T-Bet 抗体 (Internal Region)

The 兔 多克隆 anti-T-Bet antibody (ABIN6265489) specifically detects T-Bet in WB, IHC, ELISA, ICC 和 IF. The antibody is reactive with 人, 小鼠 和 大鼠 samples.
产品编号 ABIN6265489
发货至: 中国
Contact our Customer Service for availability and price in your country. Contact Info

Our Local Distributor

中国
北京 101111
No. 88 KeChuang 6th Street
Beijing Economic Technological Development Area
Room 801-803
4A Biotech Co.,Ltd.
Tel +86 (0512) 65829739 传真 +86 (010) 6788 5057

Quick Overview for T-Bet 抗体 (Internal Region) (ABIN6265489)

抗原

See all T-Bet 抗体
T-Bet

适用

  • 72
  • 27
  • 21
  • 7
  • 7
  • 6
  • 5
  • 2
  • 2
  • 1
  • 1
人, 小鼠, 大鼠

宿主

  • 69
  • 6

克隆类型

  • 49
  • 26
多克隆

标记

  • 34
  • 5
  • 4
  • 3
  • 2
  • 2
  • 2
  • 2
  • 2
  • 2
  • 2
  • 2
  • 2
  • 1
  • 1
  • 1
  • 1
  • 1
  • 1
  • 1
  • 1
  • 1
  • 1
  • 1
This T-Bet antibody is un-conjugated

应用范围

  • 51
  • 28
  • 18
  • 13
  • 11
  • 6
  • 5
  • 5
  • 4
  • 1
Western Blotting (WB), Immunohistochemistry (IHC), ELISA, Immunocytochemistry (ICC), Immunofluorescence (IF)
  • 抗原表位

    • 8
    • 6
    • 4
    • 4
    • 2
    • 2
    • 2
    • 1
    • 1
    • 1
    • 1
    • 1
    • 1
    • 1
    • 1
    • 1
    • 1
    Internal Region

    特异性

    Tbx21 Antibody detects endogenous levels of total tbx21.

    预测反应

    Pig,Bovine,Sheep,Rabbit,Dog

    纯化方法

    The antiserum was purified by peptide affinity chromatography using SulfoLinkTM Coupling Resin (Thermo Fisher Scientific).

    免疫原

    A synthesized peptide derived from human tbx21, corresponding to a region within the internal amino acids.

    亚型

    IgG
  • 应用备注

    WB 1:1000-3000, IHC 1:200, IF1:200, IF/ICC 1:100-1:500, ELISA(peptide) 1:20000-1:40000

    限制

    仅限研究用
  • 状态

    Liquid

    浓度

    1 mg/mL

    缓冲液

    Rabbit IgG in phosphate buffered saline , pH 7.4, 150 mM NaCl, 0.02 % sodium azide and 50 % glycerol.

    储存液

    Sodium azide

    注意事项

    This product contains Sodium azide: a POISONOUS AND HAZARDOUS SUBSTANCE which should be handled by trained staff only.

    储存条件

    -20 °C

    储存方法

    Store at -20 °C. Stable for 12 months from date of receipt.

    有效期

    12 months
  • 抗原

    T-Bet

    别名

    TBX21

    背景

    Description: Lineage-defining transcription factor which initiates Th1 lineage development from naive Th precursor cells both by activating Th1 genetic programs and by repressing the opposing Th2 and Th17 genetic programs (PubMed:10761931). Activates transcription of a set of genes important for Th1 cell function, including those encoding IFN-gamma and the chemokine receptor CXCR3. Activates IFNG and CXCR3 genes in part by recruiting chromatin remodeling complexes including KDM6B, a SMARCA4-containing SWI/SNF-complex, and an H3K4me2-methyltransferase complex to their promoters and all of these complexes serve to establish a more permissive chromatin state conducive with transcriptional activation (By similarity). Can activate Th1 genes also via recruitment of Mediator complex and P-TEFb (composed of CDK9 and CCNT1/cyclin-T1) in the form of the super elongation complex (SEC) to super-enhancers and associated genes in activated Th1 cells (PubMed:27292648). Inhibits the Th17 cell lineage commitment by blocking RUNX1-mediated transactivation of Th17 cell-specific transcriptinal regulator RORC. Inhibits the Th2 cell lineage commitment by suppressing the production of Th2 cytokines, such as IL-4, IL-5, and IL- 13, via repression of transcriptional regulators GATA3 and NFATC2. Protects Th1 cells from amplifying aberrant type-I IFN response in an IFN-gamma abundant microenvironment by acting as a repressor of type-I IFN transcription factors and type-I IFN-stimulated genes. Acts as a regulator of antiviral B-cell responses, controls chronic viral infection by promoting the antiviral antibody IgG2a isotype switching and via regulation of a broad antiviral gene expression program (By similarity).

    Gene: TBX21

    分子量

    58 kDa

    基因ID

    30009

    UniProt

    Q9UL17
You are here: