电话:
+86 (0512) 65829739
传真:
+86 (010) 6788 5057
电子邮件:
orders@antibodies-online.cn

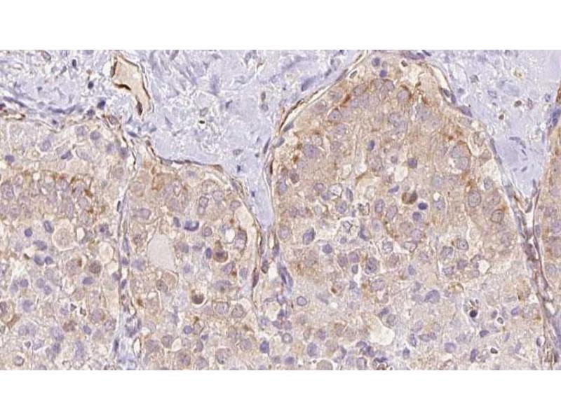
TBC1D23 抗体 (Internal Region)

The 兔 多克隆 anti-TBC1D23 antibody is suitable to detect TBC1D23 in samples from 人, 小鼠 和 大鼠. It has been validated for WB, IHC, ICC 和 IF.
产品编号 ABIN6265479
发货至: 中国
Contact our Customer Service for availability and price in your country. Contact Info

Our Local Distributor

中国
北京 101111
No. 88 KeChuang 6th Street
Beijing Economic Technological Development Area
Room 801-803
4A Biotech Co.,Ltd.
Tel +86 (0512) 65829739 传真 +86 (010) 6788 5057

Quick Overview for TBC1D23 抗体 (Internal Region) (ABIN6265479)

抗原

TBC1D23 (TBC1 Domain Family, Member 23 (TBC1D23))

适用

  • 12
  • 3
  • 2
  • 1
  • 1
  • 1
  • 1
  • 1
  • 1
人, 小鼠, 大鼠

宿主

  • 11
  • 1

克隆类型

  • 11
  • 1
多克隆

标记

  • 9
  • 1
  • 1
  • 1
This TBC1D23 antibody is un-conjugated

应用范围

  • 7
  • 6
  • 4
  • 2
  • 1
Western Blotting (WB), Immunohistochemistry (IHC), Immunocytochemistry (ICC), Immunofluorescence (IF)
  • 抗原表位

    • 4
    • 1
    • 1
    • 1
    Internal Region

    特异性

    TBC1D23 Antibody detects endogenous levels of total TBC1D23.

    预测反应

    Pig,Bovine,Horse,Sheep,Rabbit,Dog

    纯化方法

    The antiserum was purified by peptide affinity chromatography using SulfoLinkTM Coupling Resin (Thermo Fisher Scientific).

    免疫原

    A synthesized peptide derived from human TBC1D23, corresponding to a region within the internal amino acids.

    亚型

    IgG
  • 应用备注

    WB 1:500-1:2000, IHC 1:50-1:200, IF/ICC 1:100-1:500

    限制

    仅限研究用
  • 状态

    Liquid

    浓度

    1 mg/mL

    缓冲液

    Rabbit IgG in phosphate buffered saline , pH 7.4, 150 mM NaCl, 0.02 % sodium azide and 50 % glycerol.

    储存液

    Sodium azide

    注意事项

    This product contains Sodium azide: a POISONOUS AND HAZARDOUS SUBSTANCE which should be handled by trained staff only.

    储存条件

    -20 °C

    储存方法

    Store at -20 °C. Stable for 12 months from date of receipt.

    有效期

    12 months
  • 抗原

    TBC1D23 (TBC1 Domain Family, Member 23 (TBC1D23))

    别名

    TBC1D23

    背景

    Description: Putative Rab GTPase-activating protein which plays a role in vesicular trafficking (PubMed:28823707). Involved in endosome-to-Golgi trafficking. Acts as a bridging protein by binding simultaneously to golgins, including GOLGA1 and GOLGA4, located at the trans-Golgi, and to the WASH complex, located on endosome-derived vesicles (PubMed:29084197). Plays a role in brain development, including in cortical neuron positioning (By similarity). May also be important for neurite outgrowth, possibly through its involvement in membrane trafficking and cargo delivery, 2 processes that are essential for axonal and dendritic growth (By similarity). May act as a general inhibitor of innate immunity signaling, strongly inhibiting multiple TLR and dectin/CLEC7A-signaling pathways. Does not alter initial activation events, but instead affects maintenance of inflammatory gene expression several hours after bacterial lipopolysaccharide (LPS) challenge (By similarity).

    Gene: TBC1D23

    分子量

    78 kDa

    基因ID

    55773

    UniProt

    Q9NUY8
You are here: