RPGR 抗体 (C-Term)
Our Local Distributor
北京 101111
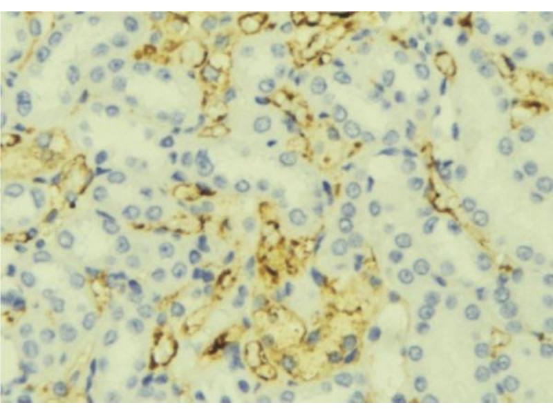
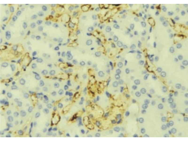
Quick Overview for RPGR 抗体 (C-Term) (ABIN6264824)
抗原
See all RPGR 抗体适用
宿主
克隆类型
标记
应用范围
-
-
抗原表位
- C-Term
-
特异性
- RPGR Antibody detects endogenous levels of total RPGR.
-
预测反应
- Pig,Dog
-
纯化方法
- The antiserum was purified by peptide affinity chromatography using SulfoLinkTM Coupling Resin (Thermo Fisher Scientific).
-
免疫原
- A synthesized peptide derived from human RPGR, corresponding to a region within C-terminal amino acids.
-
亚型
- IgG
-
-
-
-
应用备注
- WB 1:500-1:2000, IHC 1:50-1:200, ELISA(peptide) 1:20000-1:40000
-
限制
- 仅限研究用
-
-
-
状态
- Liquid
-
浓度
- 1 mg/mL
-
缓冲液
- Rabbit IgG in phosphate buffered saline , pH 7.4, 150 mM NaCl, 0.02 % sodium azide and 50 % glycerol.
-
储存液
- Sodium azide
-
注意事项
- This product contains Sodium azide: a POISONOUS AND HAZARDOUS SUBSTANCE which should be handled by trained staff only.
-
储存条件
- -20 °C
-
储存方法
- Store at -20 °C. Stable for 12 months from date of receipt.
-
有效期
- 12 months
-
-
- RPGR (Retinitis Pigmentosa GTPase Regulator (RPGR))
-
别名
- RPGR
-
背景
-
Description: Could be a guanine-nucleotide releasing factor. Plays a role in ciliogenesis. Probably regulates cilia formation by regulating actin stress filaments and cell contractility. Plays an important role in photoreceptor integrity. May play a critical role in spermatogenesis and in intraflagellar transport processes (By similarity). May be involved in microtubule organization and regulation of transport in primary cilia.
Gene: RPGR
-
分子量
- 113kDa
-
基因ID
- 6103
-
UniProt
- Q92834
抗原
-