RCN2 抗体 (C-Term)
Our Local Distributor
北京 101111
Quick Overview for RCN2 抗体 (C-Term) (ABIN6264681)
抗原
See all RCN2 抗体适用
宿主
克隆类型
标记
应用范围
-
-
抗原表位
- C-Term
-
特异性
- RCN2 Antibody detects endogenous levels of total RCN2.
-
预测反应
- Pig,Zebrafish,Bovine,Horse,Sheep,Rabbit,Dog,Chicken,Xenopus
-
纯化方法
- The antiserum was purified by peptide affinity chromatography using SulfoLinkTM Coupling Resin (Thermo Fisher Scientific).
-
免疫原
- A synthesized peptide derived from human RCN2, corresponding to a region within C-terminal amino acids.
-
亚型
- IgG
-
-
-
-
应用备注
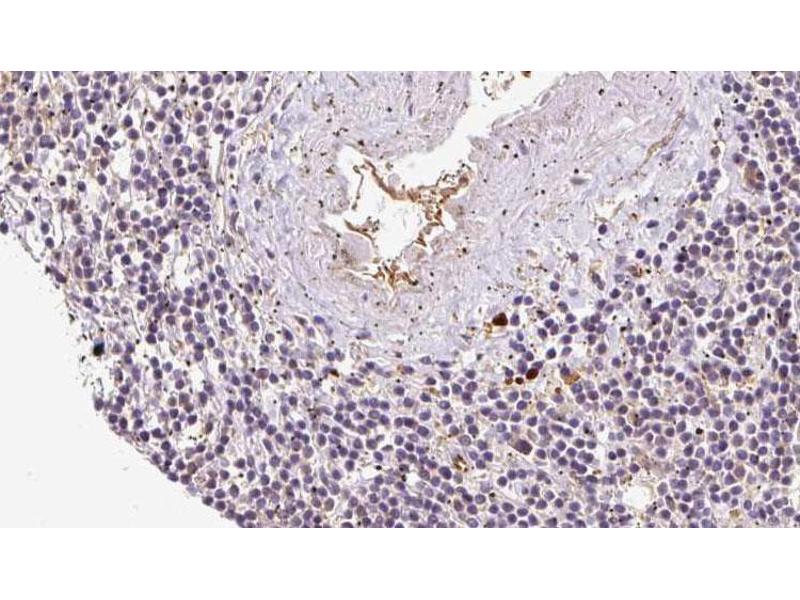
- WB 1:500-1:2000, IHC 1:50-1:200, IF/ICC 1:100-1:500
-
限制
- 仅限研究用
-
-
-
状态
- Liquid
-
浓度
- 1 mg/mL
-
缓冲液
- Rabbit IgG in phosphate buffered saline , pH 7.4, 150 mM NaCl, 0.02 % sodium azide and 50 % glycerol.
-
储存液
- Sodium azide
-
注意事项
- This product contains Sodium azide: a POISONOUS AND HAZARDOUS SUBSTANCE which should be handled by trained staff only.
-
储存条件
- -20 °C
-
储存方法
- Store at -20 °C. Stable for 12 months from date of receipt.
-
有效期
- 12 months
-
-
- RCN2 (Reticulocalbin 2, EF-Hand Calcium Binding Domain (RCN2))
-
别名
- RCN2
-
背景
-
Description: Not known. Binds calcium.
Gene: RCN2
-
分子量
- 55 kDa
-
基因ID
- 5955
-
UniProt
- Q14257
抗原
-