电话:
+86 (0512) 65829739
传真:
+86 (010) 6788 5057
电子邮件:
orders@antibodies-online.cn

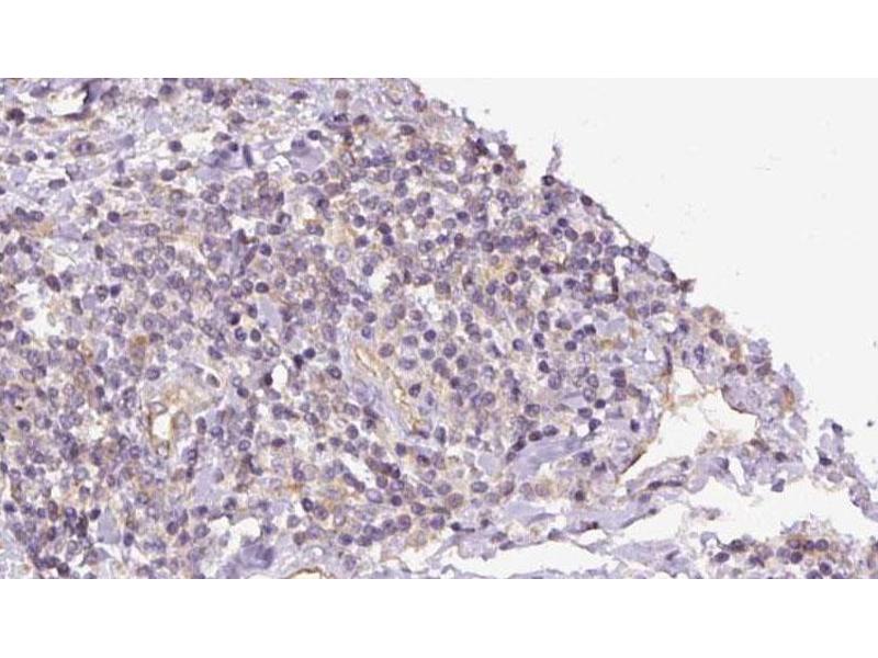
PYGB 抗体 (C-Term)

The 兔 多克隆 anti-PYGB antibody (ABIN6264535) specifically detects PYGB in WB 和 IHC. The antibody is reactive with 人, 小鼠 和 大鼠 samples.
产品编号 ABIN6264535
发货至: 中国
Contact our Customer Service for availability and price in your country. Contact Info

Our Local Distributor

中国
北京 101111
No. 88 KeChuang 6th Street
Beijing Economic Technological Development Area
Room 801-803
4A Biotech Co.,Ltd.
Tel +86 (0512) 65829739 传真 +86 (010) 6788 5057

Quick Overview for PYGB 抗体 (C-Term) (ABIN6264535)

抗原

See all PYGB (GPBB) 抗体
PYGB (GPBB) (phosphorylase, Glycogen, Brain (GPBB))

适用

  • 57
  • 37
  • 23
  • 4
  • 3
  • 3
  • 3
  • 2
  • 1
  • 1
  • 1
  • 1
  • 1
  • 1
  • 1
  • 1
  • 1
  • 1
  • 1
  • 1
人, 小鼠, 大鼠

宿主

  • 63
  • 4

克隆类型

  • 63
  • 4
多克隆

标记

  • 30
  • 6
  • 6
  • 5
  • 2
  • 1
  • 1
  • 1
  • 1
  • 1
  • 1
  • 1
  • 1
  • 1
  • 1
  • 1
  • 1
  • 1
  • 1
  • 1
  • 1
  • 1
  • 1
This PYGB antibody is un-conjugated

应用范围

  • 40
  • 28
  • 14
  • 13
  • 5
  • 4
  • 2
  • 2
  • 1
  • 1
  • 1
  • 1
  • 1
Western Blotting (WB), Immunohistochemistry (IHC)
  • 抗原表位

    • 9
    • 6
    • 5
    • 2
    • 2
    • 2
    • 1
    • 1
    • 1
    C-Term

    特异性

    PYGB Antibody detects endogenous levels of total PYGB.

    预测反应

    Zebrafish,Bovine,Horse,Sheep,Rabbit,Dog,Chicken,Xenopus

    纯化方法

    The antiserum was purified by peptide affinity chromatography using SulfoLinkTM Coupling Resin (Thermo Fisher Scientific).

    免疫原

    A synthesized peptide derived from human PYGB, corresponding to a region within C-terminal amino acids.

    亚型

    IgG
  • 应用备注

    WB 1:500-1:2000, IHC 1:50-1:200

    限制

    仅限研究用
  • 状态

    Liquid

    浓度

    1 mg/mL

    缓冲液

    Rabbit IgG in phosphate buffered saline , pH 7.4, 150 mM NaCl, 0.02 % sodium azide and 50 % glycerol.

    储存液

    Sodium azide

    注意事项

    This product contains Sodium azide: a POISONOUS AND HAZARDOUS SUBSTANCE which should be handled by trained staff only.

    储存条件

    -20 °C

    储存方法

    Store at -20 °C. Stable for 12 months from date of receipt.

    有效期

    12 months
  • 抗原

    PYGB (GPBB) (phosphorylase, Glycogen, Brain (GPBB))

    别名

    PYGB

    背景

    Description: Glycogen phosphorylase that regulates glycogen mobilization (PubMed:27402852). Phosphorylase is an important allosteric enzyme in carbohydrate metabolism (PubMed:3346228). Enzymes from different sources differ in their regulatory mechanisms and in their natural substrates (PubMed:3346228). However, all known phosphorylases share catalytic and structural properties (PubMed:3346228).

    Gene: PYGB

    分子量

    97 kDa

    基因ID

    5834

    UniProt

    P11216

    途径

    Cellular Glucan Metabolic Process
You are here: