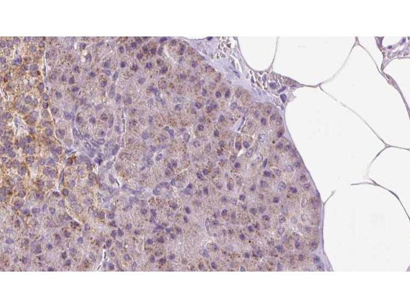
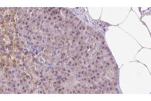
PDIA6 抗体 (C-Term)
Our Local Distributor
北京 101111
Quick Overview for PDIA6 抗体 (C-Term) (ABIN6264114)
抗原
See all PDIA6 抗体适用
宿主
克隆类型
标记
应用范围
-
-
抗原表位
- C-Term
-
特异性
- PDIA6 Antibody detects endogenous levels of total PDIA6.
-
预测反应
- Bovine,Horse,Sheep,Rabbit,Dog,Chicken,Xenopus
-
纯化方法
- The antiserum was purified by peptide affinity chromatography using SulfoLinkTM Coupling Resin (Thermo Fisher Scientific).
-
免疫原
- A synthesized peptide derived from human PDIA6, corresponding to a region within C-terminal amino acids.
-
亚型
- IgG
-
-
-
-
应用备注
- WB 1:500-1:2000, IHC 1:50-1:200, IF/ICC 1:100-1:500
-
限制
- 仅限研究用
-
-
-
状态
- Liquid
-
浓度
- 1 mg/mL
-
缓冲液
- Rabbit IgG in phosphate buffered saline , pH 7.4, 150 mM NaCl, 0.02 % sodium azide and 50 % glycerol.
-
储存液
- Sodium azide
-
注意事项
- This product contains Sodium azide: a POISONOUS AND HAZARDOUS SUBSTANCE which should be handled by trained staff only.
-
储存条件
- -20 °C
-
储存方法
- Store at -20 °C. Stable for 12 months from date of receipt.
-
有效期
- 12 months
-
-
- PDIA6 (Protein Disulfide Isomerase Family A, Member 6 (PDIA6))
-
别名
- PDIA6
-
背景
-
Description: May function as a chaperone that inhibits aggregation of misfolded proteins (PubMed:12204115). Negatively regulates the unfolded protein response (UPR) through binding to UPR sensors such as ERN1, which in turn inactivates ERN1 signaling (PubMed:24508390). May also regulate the UPR via the EIF2AK3 UPR sensor (PubMed:24508390). Plays a role in platelet aggregation and activation by agonists such as convulxin, collagen and thrombin (PubMed:15466936).
Gene: PDIA6
-
分子量
- 54 kDa
-
基因ID
- 10130
-
UniProt
- Q15084
-
途径
- ER-Nucleus Signaling, Cell RedoxHomeostasis
抗原
-